Sehreen Mumtaz MD
@MumtazSehreen
Followers
12
Following
23
Media
2
Statuses
10
Founder Remission Rheumatology Views are my own
Jacksonville, USA
Joined October 2022
Changes on Nailfold Video Capillaroscopy Associate With High-Resolution Esophageal Manometry Findings in Patients With Scleroderma - Gastro Hep Advances
ghadvances.org
Systemic sclerosis (SSc) is a complex rheumatologic autoimmune disease that affects multiple organ systems.1 Esophageal involvement occurs in approximately 50%–90% of patients, related to fibrosis...
0
0
1
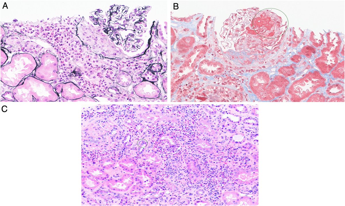
Peripheral Neuropathy Presenting With Hypereosinophilia: A Quiz What is the differential diagnosis of hypereosinophilia in the setting of acute kidney injury? https://t.co/DuxGHerinL (FREE) @IndujaNimma @MumtazSehreen @sam_albadri @DrLyleBaker
0
14
45
EOSINOPHILIC GRANULOMATOSIS WITH POLYANGIITIS PRESENTING AS ISOLATED CORONARY VASCULITIS | JACC
jacc.org
0
0
0
Novel Photon-Counting Computed Tomography for the Evaluation of Large-Vessel Giant Cell Arteritis https://t.co/JS1enQ0fb5
@MdWarrington
jrheum.org
Although conventional computed tomography (CT) angiograms and magnetic resonance angiograms visualize stenotic and aneurysmal lesions of the medium vessels, the assessment of distal arterial tree and...
0
1
5
Using Natural Language Processing and Social Media Data to Understand the Lived Experience of People with Fibromyalgia https://t.co/b691hErxC7
#mdpihealthcare via @HealthcareMDPI_ @MDPIOpenAccess @diagnostic_mdpi
mdpi.com
Background and Objectives: Fibromyalgia has many unmet needs relating to treatment, and the delivery of effective and evidence-based healthcare is lacking. We analyzed social media conversations to...
0
1
4
Longitudinal Study of Patients with Connective Tissue Disease–Interstitial Lung Disease and Response to Mycophenolate Mofetil and Rituximab https://t.co/cN3r7xt1Ud
#mdpidiagnostics via @diagnostic_mdpi @MDPIOpenAccess @VikasMajithia @andyabrilMD
mdpi.com
Background/Objective: To investigate the effect of mycophenolate mofetil (MMF) and rituximab (RTX) on pulmonary function test (PFT) results in a mixed cohort of patients with connective tissue...
0
0
1
Honored to receive this recognition from @MayoClinic Hench Society #mayoclinicrheumatology Grateful to my most wonderful mentors @MdWarrington @andyabrilMD
0
0
7
🎉 Excited to share our poster presentation on "Cardiac Sarcoidosis Is Associated with High Mortality: A Retrospective Analysis of a Cohort at Mayo Clinic Florida" at American College of Rheumatology Convergence 2024 in Washington, D.C.!
1
1
3