Medical Device News Magazine
@MedDeviceNews1
Followers
2K
Following
213
Media
2K
Statuses
7K
The publication provides breaking device and diagnostic news. Learn more. https://t.co/RrSYJN1vbu 561.316.3330 or advmdn@https://t.co/RrSYJN1vbu
Hendersonville, NC
Joined March 2017
Relief Cardiovascular Announces First-in-Human Procedures with World’s First Transcatheter Smart Implant for Treatment of Congestion in Heart Failure- More on this news at
infomeddnews.com
Relief Cardiovascular performs groundbreaking procedures in Georgia, evaluating a smart implant for heart failure congestion treatment.
0
0
0
Bioactive Precontoured Wedges: Redefining Deformity Correction in Foot & Ankle Surgery | Byline by Scott Day, Vice President of Global Marketing & Business Development, #NovaBone - A Catalyst for Change in Osteotomy Care
infomeddnews.com
Read Bioactive Precontoured Wedges enhance osteotomy care in foot & ankle surgery by Scott Day, NovaBone for Medical Device News Magazine
0
0
0
Guidelines and full details #vascularsurgery #vascularfellow #vascularspecialists Click at https://t.co/Itgk0cGlQd
0
0
0
Enhance Your Skills and Knowledge at the 2025 Veithsymposium:
myemail.constantcontact.com
Email from VEITHsymposium Veithsymposium News View as Webpage Please remember to add our email address [email protected] to your safe-sender list so it lands in your inbox and not in your spam
0
0
0
Sensorion Receives Positive Recommendation from Data Monitoring Committee of SENS-501’s Audiogene Phase 1/2 Clinical Trial
infomeddnews.com
The Audiogene trial is designed to evaluate the safety, tolerability and efficacy of intra-cochlear injection of SENS-501 for the treatment of OTOF gene-mediated hearing loss in paediatric patients...
0
0
0
The J. Leonel Villavicencio Latin-American Program at the 2025 VEITHsymposium, is a premier platform for vascular surgeons, interventional radiologists, interventional cardiologists, & vascular medicine specialists for LATAM colleagues. Guidelines at https://t.co/dSvPpYzqAM
0
1
0
The Associate Faculty Program at #VEITHsymposium attracts some of the best vascular surgery and endovascular therapy abstracts across the globe - with well-recognized moderators. Learn how to submit your abstract for consideration by clicking this link
0
2
1
Present your groundbreaking research during the 2025 Associate Faculty Podium Presentations Program at VEITHsymposium. This is a unique opportunity to share your expertise & insights, data, & other important information with vascular thought leaders.
0
2
3
A must read book!
This interview and the informative book authored by the renowned vascular surgeon, Dr. Frank J Veith, are truly remarkable. It’s a must-read book and can be purchased in the YouTube link. #themedicaljungle #vascularsurgery #frankveith
https://t.co/LU9ybxfdl7
0
0
0
Harnessing the Power of the Heart and Mind: Overcoming Atrial Fibrillation and Launching a Business | Article by Jim Kaveney https://t.co/jXYkTYqxjz via @Medical Device News Magazine
0
0
1
Best Vascular CME program internationally! #vascularsurgeons #vascularspecialists #interventionalradiologists #IRAD #vascularfellows #medicalstudents
Dr Frank Veith shares why Vascular Surgeons and Vascular Specialists should attend VEITHsymposium, Nov 19-23, 2024 in New York City. Click the link to read what he has to say:
0
0
0
Synaptogenix Announces $5.0 Million Financing https://t.co/S7aLyK84BG via @Medical Device News Magazine
0
0
0
Getinge Completes the Acquisition of Paragonix Technologies https://t.co/akwOjntAJ0 via @Medical Device News Magazine
infomeddnews.com
Getinge paid approximately USD 253 million in cash upon completion of the acquisition, on a cash and debt free basis. The earn-out payments are expected to be paid between 2024 and 2026 if agreed...
0
0
0
Syantra Secures $4.9 Million in Series A-1 Funding; Adds Dr. Rick Mangat to Board of Directors https://t.co/mzBcZKPizj via @Medical Device News Magazine
0
0
1
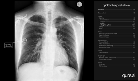
AI Can Detect Lung Nodules that Could Lead to Lung Cancer Nearly 3 Years Before Symptoms & Actual Diagnosis | Study finds https://t.co/uDxfdVZY5U via @Medical Device News Magazine
0
0
0
Luba Greenwood Is Appointed Chair of the Board of Directors of Closed Loop Medicine https://t.co/wXfM6cTWc0 via @Medical Device News Magazine
0
0
0
SKG1108 Receives FDA Orphan Drug Designation for Retinitis Pigmentosa | Reports Skyline Therapeutics https://t.co/Kdsxy9IOj2 via @Medical Device News Magazine
0
0
1
AliveDx Receives IVDR-CE Mark for Multiplexed Assay to Accurately Detect Celiac Disease on the MosaiQ® System https://t.co/FCvBQD2BGg via @Medical Device News Magazine
0
0
0
Iridium Network Becomes 1st Center In the World to Use RayCare and TrueBeam to Treat a Patient https://t.co/YNeLPIW0mo via @Medical Device News Magazine
infomeddnews.com
Dr. Piet Dirix, Radiation Oncologist, Iridium Network, says: “My team and I are extremely happy to have been part of the journey of developing RayCare to what it is today, a next generation oncology...
0
0
0
ProBiotix Health Strengthens Global Presence With DanCare Chinese Distribution Deal https://t.co/kcCyjqUWLE via @Medical Device News Magazine
0
0
0