MayoProceedings Profile Banner
Mayo Clinic Proceedings Profile
Mayo Clinic Proceedings

@MayoProceedings

Followers
6K
Following
170
Media
11K
Statuses
13K

Mayo Clinic Proceedings is a premier general medicine journal. Submissions welcome from authors worldwide. Tweets are from the Editorial Board, not @MayoClinic.

Rochester, MN
Joined April 2009
Don't wanna be here? Send us removal request.
@MayoProceedings
Mayo Clinic Proceedings
9 hours
Art at Mayo Clinic: "Surrounded by Angels" depicts the Christian symbols of wheat and grapes, a peace dove, an anchor, stone tablets, scepters, a fish, and the sacred heart. https://t.co/6wy6jQeWvN
0
0
0
@MayoProceedings
Mayo Clinic Proceedings
11 hours
Residents' Clinic: The female patient presented with a 10-day history of right upper quadrant abdominal pain that radiated to her back in a band-like fashion and worsened with food. https://t.co/vQX6IOqfi8
0
0
0
@MayoProceedings
Mayo Clinic Proceedings
13 hours
Residents' Clinic: The man had significant pain in his bilateral shoulders and both knee joints, but then it migrated to the rest of his upper extremities, including the hands. https://t.co/SF79RUjmAg
0
0
0
@MayoProceedings
Mayo Clinic Proceedings
15 hours
A minute with Dr Spinner to celebrate the chronicling the milestones of neurosurgery at Mayo Clinic in the pages of Proceedings. https://t.co/9BERBNNifP
0
0
0
@MayoProceedings
Mayo Clinic Proceedings
3 days
Art at Mayo Clinic: Surrounded by Angels depicts the Christian symbols of wheat and grapes, a peace dove, an anchor, stone tablets, scepters, a fish, and the sacred heart. https://t.co/6wy6jQeWvN
0
1
1
@MayoProceedings
Mayo Clinic Proceedings
3 days
Limelight: This month’s editorial encompasses 3 articles in the October issue of Mayo Clinic Proceedings that spotlight aspects of women’s health and hypertension. https://t.co/DNl8xXKI2x
0
0
0
@MayoProceedings
Mayo Clinic Proceedings
3 days
Pulmonary nodules are frequently encountered, yet rates of guideline-concordant evaluation remain low with experts continuing to outperform predictor models. This article provides management for the generalist. https://t.co/oYWV7Ya6qW
0
0
0
@MayoProceedings
Mayo Clinic Proceedings
4 days
Medical image: The patient developed progressive, painful, diffuse, erythematous, dusky patches with skin detachment and positive Nikolsky sign involving the intertriginous areas, buttocks, and peristomal region mimicking toxic epidermal necrolysis. https://t.co/5mJXGncQEQ
0
0
0
@MayoProceedings
Mayo Clinic Proceedings
4 days
By integrating AI-ECG with echocardiographic data, this study adds a nuanced understanding of how mavacamten may achieve durable improvements in cardiac structure and function. https://t.co/KBljHfhUMS
0
0
0
@MayoProceedings
Mayo Clinic Proceedings
4 days
Take 60 seconds to listen to Dr Wei explain that acute kidney injury is experienced by more than half of patients in intensive care units. https://t.co/esoITt3E2k
0
0
0
@MayoProceedings
Mayo Clinic Proceedings
4 days
Residents' Clinic: Five days after starting steroids, the female patient had new, mild substernal chest pain and pressure radiating to the left arm. https://t.co/9FIgMc3JSE
0
0
0
@MayoProceedings
Mayo Clinic Proceedings
5 days
These findings link long-term topical corticosteroid exposure with a dose-response relationship: greater cumulative TCS exposure is correlated with higher upper gastrointestinal complication risk. https://t.co/4RfQsExAaq
0
0
0
@MayoProceedings
Mayo Clinic Proceedings
5 days
A minute with Dr Spinner to celebrate the chronicling the milestones of neurosurgery at Mayo Clinic in the pages of Proceedings. https://t.co/9BERBNNifP
0
0
0
@MayoProceedings
Mayo Clinic Proceedings
5 days
Pulmonary nodules are frequently encountered, yet rates of guideline-concordant evaluation remain low with experts continuing to outperform predictor models. This article provides management for the generalist. https://t.co/aoy6q9e31A
0
0
0
@MayoProceedings
Mayo Clinic Proceedings
5 days
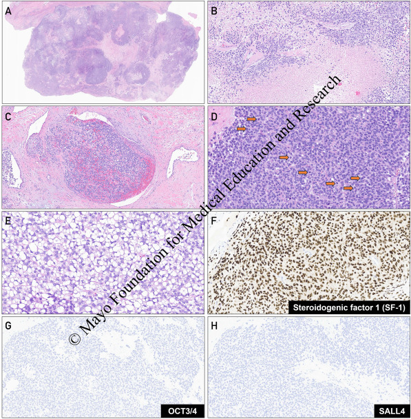
Path to Patient image quiz: Histopathologic examination of the radical orchiectomy specimen demonstrated an infiltrative, multinodular neoplasm associated with tumor necrosis and lymphovascular invasion. https://t.co/RifcriO2zS
0
0
0
@MayoProceedings
Mayo Clinic Proceedings
6 days
This study provides data on the epidemiology of abdominal aortic aneurysms in the United States over the past 4 decades, highlighting important sex-based differences on long-term outcomes. https://t.co/q8MnK8H6MR
0
0
0
@MayoProceedings
Mayo Clinic Proceedings
6 days
Take 60 seconds with Dr Sila as she explains the various factors that lead to overuse of antimicrobials. https://t.co/NG7hNwfeeZ
0
0
0
@MayoProceedings
Mayo Clinic Proceedings
6 days
Residents' Clinic: Five days after starting steroids, the female patient had new, mild substernal chest pain and pressure radiating to the left arm. https://t.co/9FIgMc3JSE
0
0
0
@MayoProceedings
Mayo Clinic Proceedings
6 days
These findings link long-term topical corticosteroid exposure with a dose-response relationship: greater cumulative TCS exposure is correlated with higher upper gastrointestinal complication risk. https://t.co/4RfQsExAaq
0
0
0
@MayoProceedings
Mayo Clinic Proceedings
7 days
A minute with Dr Sen: The rate of abdominal aortic aneurysm rupture is higher in females in comparison to males because their rate of repair is lower. https://t.co/jYCK4KoHcB
0
0
0