Mohamed Cherif Ijgua
@M_Ijgua
Followers
34
Following
65
Media
6
Statuses
28
Mohamed Ijgua MD. Department of Cardiology. Friedrich-Alexander-Universität Erlangen-Nürnberg (FAU Erlangen-Nürnberg).
Deutschland
Joined July 2019
Privileged to present my research on the 18th Annual Scientific Meeting of the Society of Cardiovascular Computed Tomography (#SCCT2023) in Boston - USA 🇺🇸 Thank you to my mentors Prof. Marwan @M_Marwan_ and Prof. Achenbach @Steph_Achenbach
0
1
4
Der Präsident der @escardio von 2020 - 2022, @Steph_Achenbach, spricht im Interview bei der #DGKJahrestagung über seine Erfahrungen bei der ESC, die Take-Aways der ESC-Leitlinien-Sitzung und Neues aus der #Bildgebung
https://t.co/ckgPLpvIu7
0
1
9
Paciente de sexo femenino. Antecedentes de FA permanente e IT torrencial.
14
33
138
CT in a patient with pericardial effusion #cardiotwitter @escardio @M_Marwan_ @M_Ijgua @CardiacCTGuy @PaulFerstl @mirvatalasnag #radiology @Heart_SCCT
9
50
164
Cardiac CT: Thrombus in a very angulated/flexed left atrial appendage #Cardiotwitter @escardio @Drroxmehran @DrRumberger @mirvatalasnag @M_Ijgua @M_Marwan_ @CardiacCTGuy @SuhnyAbbara @cury_ricardo @RonBlankstein @ToddVillinesMD @Heart_SCCT @RadiologyCTI #radiology
6
22
123
Contrast enhanced cardiac CT: Pseudoaneruysm following surgical mitral valve replacement, a known but infrequent complication. #cardiotwitter @escardio @jescaned @SuhnyAbbara @Drroxmehran @charles_driving @M_Marwan_ @M_Ijgua @mirvatalasnag @Heart_SCCT @EACVIPresident
4
108
360
Quite the left atrial appendage @escardio #Cardiotwitter
@Heart_SCCT @FiRSTSCCT @YoungDgk @Drroxmehran @mirvatalasnag @M_Ijgua @M_Marwan_ @doc_cardio @HolgerNef @JEscaned #Radiology @SuhnyAbbara @cury_ricardo @JonathonLeipsic
9
20
113
Hypertrophic cardiomyopathy (HOCM) on cardiac CT #cardiotwitter @escardio @M_Ijgua @M_Marwan_ @CardiacCTGuy @Heart_SCCT @FiRSTSCCT @Drroxmehran @mirvatalasnag @HolgerNef @BudoffMd @mgwfriedrich @BayerMatthias @JEscaned @thiele_holger @YoungDgk
2
12
56
It was a great honor to be part this year on the #ESCCongress in Barcelona with @Susi_Jungse @jmaltstidl @SmolkaSilvia @monique_trobs @M_Marwan_ @Steph_Achenbach
0
1
8
Correction: it is Wednesday 31st of August! Time the same 7-9 pm and live on YouTube! https://t.co/aW5JZWrA5R And in German 😉 @Steph_Achenbach @GerdHindricks @dscharpfMD @echo_stepbystep @sulimov_dmitry @PhilippLurz @YoungDgk @DGK_org
After #ESCCongress summary of all congress highlights #Leipzig heart center Wednesday 01st of September 7 pm - 9 pm. Watch also on YouTube directly afterwards https://t.co/aW5JZWrA5R
@AG40_DGK @AGIKinterv @AGEP_DGK @DGK_AG3 @feistritzerH_J @YoungDgk @AnneFreund3
0
5
14
Glad to be at #ESCCongress in #Barcelona again with @jmaltstidl, @M_Ijgua, @M_Marwan_, @monique_trobs, @Steph_Achenbach 🇪🇸☀️
0
1
4
Constrictive pericarditis with pericardial calcification in CT, pressure tracing with sqrt sign and diastolic equalization of LV & RV pressure #cardiotwitter @escardio @M_Ijgua @M_Marwan_ @Heart_SCCT @HolgerNef @Drroxmehran @mirvatalasnag @monique_trobs @RonBlankstein
5
66
252
Constrictive pericarditis with pericardial calcification in CT #cardiotwitter @escardio @M_Ijgua @M_Marwan_ @Heart_SCCT @HolgerNef @thiele_holger @Drroxmehran @mirvatalasnag @monique_trobs @SuhnyAbbara @RonBlankstein @JonathonLeipsic @cury_ricardo @CardiacCTGuy
18
236
924
Rupture of papillary muscle after STEMI of inferior wall #cardiotwitter @escardio @FAU_Germany @fjpinto1960 @Drroxmehran @mirvatalasnag @drcrb @monique_trobs @M_Ijgua @M_Marwan_ @OAB1967 #echofirst @JEscaned @Cosyns
3
40
161
CTA and invasive angio: open IMA graft to LAD and vein graft to RCA, in-stent occlusion of vein graft to ramus intermedius. CT done in preparation for CTO recanalization of ramus. #cardiotwitter @escardio @mirvatalasnag @Drroxmehran @M_Marwan_ @M_Ijgua @HolgerNef @UniFAU
3
28
96
Morgen beginnt der #ACC22 einige Studienergebnisse sind vorab schon bekannt gegeben worden, schaut mal ins Dossier und bleibt auf dem Laufenden
0
2
1
Intra-atrial course of the right coronary artery by dual-source CT. Must be careful during interventional procedures or bypass surgery. @Steph_Achenbach @M_Marwan_ @monique_trobs
1
11
37
This cardiac thrombus jumping around would be cute if it wasn’t ABSOLUTELY TERRIFYING Via @theEMfellow
#MedTwitter
https://t.co/Ppw1AkHyEd
2
21
104
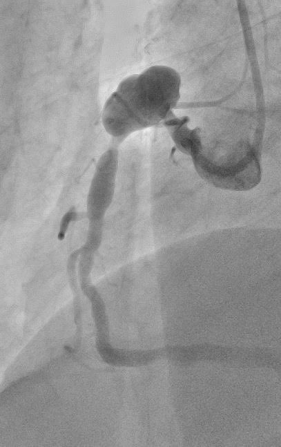
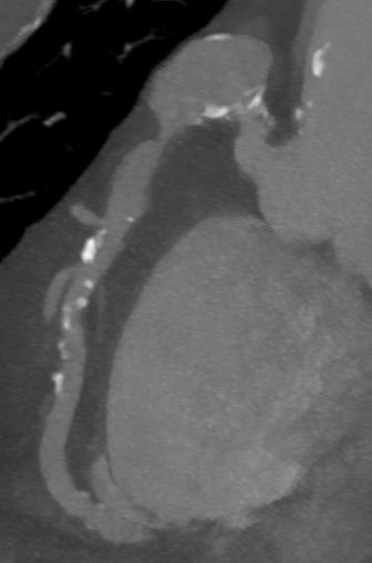
Postaneurysmal high-grade stenosis of the right coronary artery in the cardiac CT with the corresponding findings of the coronary angiography before and after stenting. What a beautiful case! @Steph_Achenbach @M_Marwan_ @monique_trobs @escardio @Heart_SCCT
0
2
5
That moment you hit 'submit' and send your research to #ESCCongress in Barcelona 🤗 It can still be you! You've got one extra day👍 Extended deadline for #ESCAbstract submission is 21 March, 12:00 CET https://t.co/80UlON0qIL
#cardiotwitter #heartteam #medtwitter #cardiology
2
12
39