
Kartik Jhaveri
@KartikJhaveri1
Followers
157
Following
231
Media
23
Statuses
191
Professor @UofT | CME Director @UofTMedIm | Clinician-Scientist @UHN|Director,Abdominal MRI @JDMI | Right Arm Pace Bowler(Retired)
Toronto, Ontario
Joined March 2020
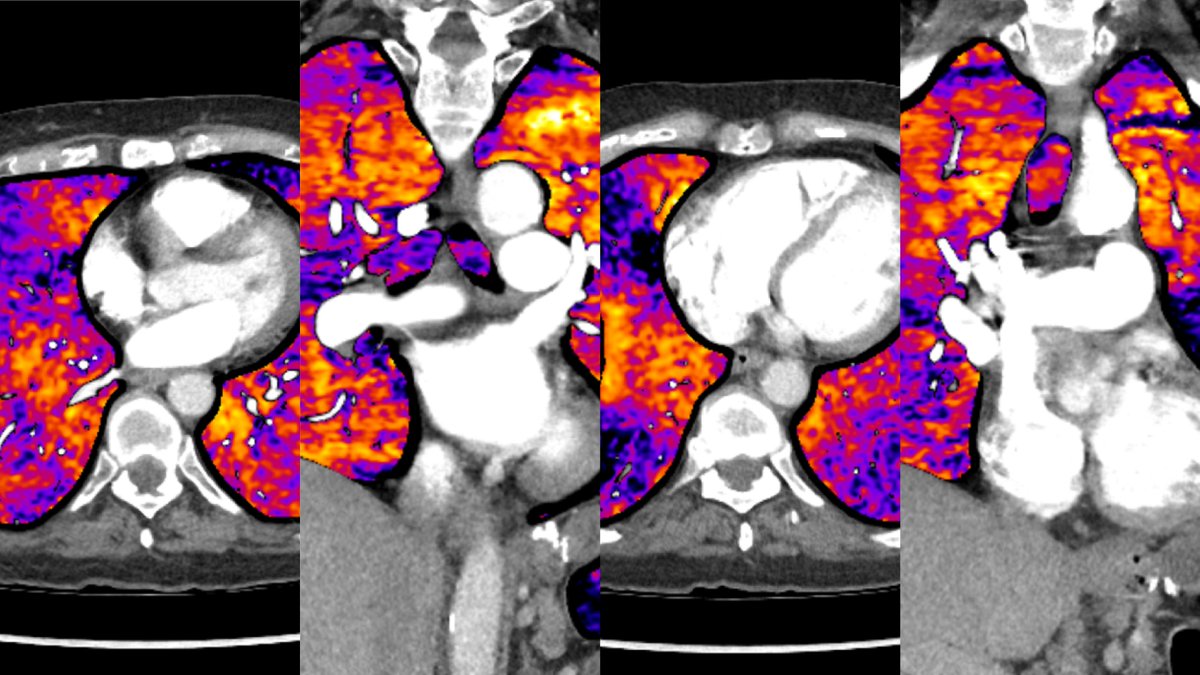
β³ Early bird pricing for the NEW Toronto Dual Energy CT Conference ends February 3. Join us and learn about the imaging possibilities dual energy CT can offer. π
February 25 π Digital Conference π https://t.co/0m5BrRhvqq
0
5
5
π Whole-body dual energy CT: hype, hope, or reality? Explore the agenda for the NEW Toronto Dual Energy CT Conference, and join us next month to find out! β³ Early bird pricing ends February 3. π
February 25 π Digital Conference π https://t.co/0m5BrRgXAS
0
1
2
π£ Registration is now open for the NEW Toronto Dual Energy CT Conference. Explore applications of this powerful scanning technique. π
February 25 π Digital Conference π https://t.co/0m5BrRgXAS
0
4
5
Just a quick reminder that you can win a Nobel with an h-index = 29 (according to the usually inflated google scholar). Quantitative measures of scientific output are not the way to go to a bright future for humanity.
81
1K
7K
Registration is now open for the 35th Annual Organ Imaging Review being held this Fall, from September 30 - October 2, 2022. Check out the conference website for more details, including the 3-day agenda and register today to secure your spot: https://t.co/jKkUzd0HV9
0
1
3
Toronto Breast Imaging Conference is next month - April 23. Early bird pricing ends March 25! Our array of renowned guest speakers will review challenging MRI cases: missed cancers on breast MRI, nipple discharge & multimodality assessments. More details: https://t.co/zrYO28aWoa
0
2
3
Registration is open for the Toronto Breast Imaging Conference! Join us for this digital conference on Saturday, April 23, 2022. Look forward to hearing from keynote speaker Dr. Jessica W. T. Leung on Problem Solving MRI & more! Details and registration: https://t.co/zrYO28budI
0
2
2
Iβve participated in only one demonstration before today. The email on Thursday suggesting I hide what I do for my own safety was infuriating. Iβm a proud health care worker and wonβt be intimidated.
6
13
252
#BREAKING The convoy protest has already arrived on the north side of the Ontario Legislature, with a huge gathering of tractors and a few truck cabs already blaring their horns behind a police barricade that includes a bus parked side to side across the road. @CityNewsTO
383
350
887
Save the date : April 23,2022 for @UofT βs virtual Toronto Breast Imaging Conference with keynote speaker Professor Jessica W.T.Leung, MD Anderson and @SupriyaKulk @UofTMedIm @OAR @AuntMinnie @CAR_ResSection @CARadiologists @RadiologyCME @ACRRFS
0
1
2
Save the date : April 23,2022 for @UofT βs virtual Toronto Breast Imaging Conference with keynote speaker Professor Jessica W.T.Leung, MD Anderson and @SupriyaKulk @UofTMedIm @OAR @AuntMinnie @CAR_ResSection @CARadiologists @RadiologyCME @ACRRFS
0
5
11
https://t.co/7tXIvmcFU5 Join us for the virtual 2021 head and neck imaging symposium with keynote speaker Professor Hugh Curtin , Harvard University. April 24,2021 @UofTMedIm @OAR @AuntMinnie @CAR_ResSection @RSNA @ACRRFS @ACR @TheASNR @ASHNRSociety @ESHNRSociety @ESNRad
0
3
3
I m not an epi nor ID expert but wouldnt it make sense to vaccinate the 18-60 yr group who are driving the third variant wave and not just seniors . Really frustrating, as vaccines are flying out even at Costco south of the border and we cant crossπ@CPHO_Canada @BogochIsaac
3
3
26
Just over 5% vaccinated in Canada with only 4% in the last 2 months @2% per month @PublicHealthON @CPHO_Canada @HealthCanada π€― Move it along alreadyπ€―
0
0
1
https://t.co/zSM2b7AExb Join us for the virtual 2021 Toronto Breast imaging conference with keynote speaker Professor Kopans , Harvard University. March 27,2021 @UofTMedIm @OAR @AuntMinnie @CAR_ResSection @RSNA @ACRRFS @ACR @SupriyaKulk @BreastImaging
0
4
6
https://t.co/zSM2b7AExb Join us for the virtual 2021 Toronto Breast imaging conference with keynote speaker Professor Kopans , Harvard University. March 27,2021 @UofTMedIm @OAR @AuntMinnie @CAR_ResSection @RSNA @ACRRFS @ACR @SupriyaKulk @BreastImaging
0
4
6
https://t.co/7tXIvmcFU5 Join us for the virtual 2021 head and neck imaging symposium with keynote speaker Professor Hugh Curtin , Harvard University. April 24,2021 @UofTMedIm @OAR @AuntMinnie @CAR_ResSection @RSNA @ACRRFS @ACR @TheASNR @ASHNRSociety @ESHNRSociety @ESNRad
0
3
3
0.8% have received at least one dose .....still waiting on mine π₯΄
0
0
0