
Jordi Llorens UB
@JordiLlorensUB
Followers
144
Following
310
Media
39
Statuses
505
Catedràtic de Fisiologia, @UniBarcelona, @UBneuroscience, @idibell_cat, recerca sistema vestibular.
Campus Bellvitge,@UniBarcelona
Joined November 2020
I'm a very proud mother today! Congrats 🎓@palmirallorens! Enhorabona Palmira! 😘 @IBUB_UB @GeneticsUB
8
9
118
(14/14) #vestibular #research at Departament de Ciències Fisiològiques, Universitat de Barcelona, @CampusBellvitge , @UBneuroscience , @idibell_cat , with @cnag_eu . Funding by @AgEInves , @CienciaGob , @la_marato , @provide_dn , @HorizonEU
0
0
1
(13/14) We propose that #vestibular #haircells under stress quickly respond to it by downregulating the expression of the molecular machinery that makes them sensory transducers. This is a reversible response that associates with reversible loss of #vestibular function.
1
0
3
(12/14) Other responses were identified but appeared later or were found in only some of the models. We hypothesize that the early and common changes in expression are the ones that identify the fundamental response of #haircells to chronic ototoxic stress.
1
0
0
(11/14) Among these genes, a very robust response was found for a recently discovered gene specifically expressed in type I #haircells , Vsig10l2. This seems a good candidate as biomarker of #haircells stress.
1
0
0
(10/14) For several genes, we have been able to prove the reduced expression of the corresponding proteins
1
0
0
(9/14) The main result is the identification of 34 genes downregulated in all experimental conditions. Most (29) of these have been previously identified as specifically expressed in #haircells
1
0
0
(8/14) In the article now published, we used RNAseq to identify gene expression changes occurring during these early steps in chronic #haircells ototoxicity. We crossed results from 5 different control vs. experimental comparisons.
1
0
0
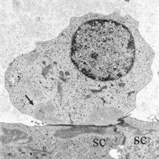
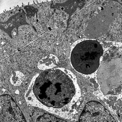
(7/14) Over the last decade, we have published evidence that this detachment of #haircells may occur in rodents and humans, after different ototoxic compounds and after other types of stress (neighbouring #vestibular schwannoma)
1
0
0
(6/14) We first discovered that the earliest steps in chronic damage are characterized by detachment of the #haircells from their afferent contacts in association with early loss of #vestibular function. And that both the histological and functional effects may be reversible.
1
0
0
(5/14) Before final extrusion, #vestibular #haircells must follow a complete program of morphological alteration. So we aimed at understanding the process.
1
0
0
(4/14) Previous #research in our laboratory established that extrusion of #haircells associates with slowly progressing damage as in chronic ototoxicity. In some models, extrusion is by far the main response to chronic ototoxicity
1
0
0
(3/14) Standard experimental approaches had established that #haircells may degenerate by apoptosis. However, loss of #haircells may also proceed through a process of extrusion, in which the cell is ejected from the sensory epithelium
1
0
0
(2/14) Many stress conditions, including exposure to specific toxic agents (ototoxicity), cause degeneration of the #vestibular sensory #haircells. This causes permanent loss of #vestibular function, because the #haircells are unable to regenerate and reestablish proper function
1
0
0
Our latest #vestibular #research is published in the Journal of Biomedical Science! Read it here👉 https://t.co/oOfpeLLb4h This has taken a long time to complete and we are very very very happy to see it out. What's the history? 👇 (1/14)
1
3
10
🏆 @rmassonix ha guanyat el #PremiSCB2025 al #JoveInvestigador/a per la tesi doctoral “Charting the heterogeneity of healthy and malignant immune cells, one cell at a time” #NitBio2025 #PremisSCB2025
1
1
2
@rmassonix @irinasalier @idibgi 🏆El #PremiSCB2025 a l’#StartUp s’ha atorgat a KOA BIOTECH pel treball “Diagnòstic intel·ligent i precoç per a una aqüicultura més segura i sostenible” . #NitBio2025 #PremisSCB2025
1
1
3
Els que sou al claustre ja heu pogut gaudir de l'actuació musical de Trencadís Trio, que ens acompanyaran en diferents moments durant la #NitBio2025
1
1
2
🥇Dr. Francisco Juan Martínez Mojica, guardonat amb el Premi SCB 2025 a la Trajectòria Professional Leandre Cervera. Enhorabona pel més que merescut reconeixement! 👏👏 #PremisSCB2025 #TrajectòriaProfessional #NitBio2025
1
3
8