
JVS-Cases Innovations and Techniques
@JVascSurgCIT
Followers
3K
Following
2K
Media
304
Statuses
2K
The Journal of Vascular Surgery - Cases, Innovations and Techniques publishes peer-reviewed cases reports, images, and videos related to vascular surgery.
Joined April 2022
Dr Trisha Roy discussing how valuable good cross sectional imaging is in aortic work and should be used more for PAD as well at #KITES2025 #CLIfighters #PADawareness
@trisharoymd @UMMC @MarylandVasc @MarylandSurg
0
4
15
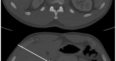
πΌπ« A ruptured aortic aneurysmβin a 2-month-old. Congenital AAA (cAAA) is exceedingly rare and often fatal, yet this infant survived surgical repair. A remarkable case showing that even the tiniest patients can survive with decisive vascular intervention. π
2
13
52
π₯π« Aortic trauma with a twist. Traumatic infrarenal aortic dissection + SMA occlusion caused mesenteric ischemia managed with open aortic replacement & iliomesenteric bypass. Classic vascular craftsmanship still saves lives in complex trauma. π https://t.co/EUw4CVdjyn
#AortaEd
jvscit.org
Traumatic abdominal aortic injury with visceral arterial involvement is rare and associated with high mortality, even with prompt intervention. We present a case of mesenteric ischemia caused by...
0
4
24
π©Έπ§ Cracking chronic venous occlusions sharply. Using the TipsStar Steerable Cannula, 5 patients with total venous occlusions were successfully recanalized. Precision steering = safer, faster, sharper access. π https://t.co/6iSRRujBXo
#ESRD
jvscit.org
Chronic total venous occlusions are challenging to recanalize due to anatomic complexity and limited directional control. This report describes the use of the TipsStar Steerable Cannula (BD; Franklin...
0
3
11
β οΈπ§« When infection turns catastrophic. A 15-year-old with leukemia developed disseminated fungal aortitis leading to total aortic occlusion, a rapidly fatal complication highlighting the lethal intersection of sepsis and vascular compromise. π https://t.co/C17oZwyQOW
#AortaEd
jvscit.org
Disseminated fungal infection resulting in aortic occlusion is a rare and highly morbid clinical phenomenon. This article reports the aortic occlusion of a 15-year-old male who had undergone recent...
0
2
5
π§΅π©Έ Mega-Cava? No problem. In patients with mega cava IVC filters are off-limits, but this report shows successful use of bilateral iliac vein filters for PE prevention in two high-risk cases. Safe placement, smooth retrieval, no VTE recurrence. π https://t.co/gCmRdkPP8N
#VTE
jvscit.org
Temporary interruption of the inferior vena cava is the recommended treatment to prevent pulmonary embolism in patients with venous thromboembolism (VTE) and active contraindications for therapeutic...
0
1
5
π«π¦ COVID-19 meets vascular pathology. A young man developed dysphagia from an innominate artery aneurysm during acute infection, treated successfully with endovascular stenting, preserving limb perfusion despite subclavian coverage. π https://t.co/yG71HYEbkM
#AortaEd
jvscit.org
Innominate artery aneurysms are dangerous pathologies given their potential for rupture and thrombosis and their ability to compress adjacent structures. Management options include endovascular...
0
1
5
π₯π Think thrombinβs just for femoral pseudoaneurysms? Think again. This 86-year-old on dialysis had a painful AVF pseudoaneurysm cured in minutes with ultrasound-guided thrombin injection. Off-label? Yes. Effective? Absolutely. π https://t.co/MPs0ewtyB3
#Pseudoaneurysm
jvscit.org
An 86-year-old woman with end-stage renal disease was being dialyzed via a left brachiocephalic arteriovenous fistula. She developed a pseudoaneurysm at one of the angioaccess sites which did not...
0
1
6
πΆοΈπ©» Virtual reality in the OR? This pilot study shows 3D VR reconstructions improved surgeon understanding of visceral artery aneurysms, enhancing anatomy assessment, planning & even changing procedure choice in 15% of cases. https://t.co/I8CgFaaoDy
#VR #SurgicalPlanning
jvscit.org
To assess the influence of 3D virtual reality (VR) analysis on surgical decision-making in visceral artery aneurysms (VAAs) surgery, aiming to optimize treatment selection and surgical planning.
0
1
3
π©Έπ Legacy device, modern fix. A 74-year-old man developed venous hypertension & non-healing ulcer 50 years after IVC clip placement. Managed with balloon angioplasty (no reconstruction!) restoring outflow & healing wounds. π https://t.co/ogBPlvXGxN
#IVC
jvscit.org
Inferior vena cava (IVC) clips, historically used for pulmonary embolism prevention, can cause long-term complications, including chronic venous hypertension and nonhealing wounds. We present the...
0
2
12
π©»β‘ Simple, smart, effective. The siderail technique streamlines contralateral gate cannulation in complex EVAR cases, saving time & reducing radiation. Now routine practice at Helsinki since 2016. Includes video demo! π https://t.co/Mx42qEaojV
#AortaEd
jvscit.org
In challenging anatomy and large aneurysms, cannulation of the contralateral gate may be time-consuming and sometimes requires crossover approach with a snare. At Helsinki University Hospital, we...
0
3
6
π‘π Rethinking dialysis access. The SHIVAT arteriovenous port offers a needle-free system as an alternative to AVFs showing safety & feasibility in preclinical testing. Potential to reduce pain, simplify care & lower infection risk. π https://t.co/0EmY5k5ikJ
#VascularAccess
jvscit.org
Vascular access remains a critical challenge in kidney replacement therapy. Although arteriovenous fistulas are the reference standard, they are often compromised by maturation failure, complicatio...
0
6
15
π©»β οΈ Rare trauma complication. This case highlights endovascular repair of a hepatic artery pseudoaneurysm with celiac dissection & intramural hematoma after blunt abdominal trauma, showing the power of minimally invasive management. π https://t.co/F9sOXcp1OU
#VascularTrauma
jvscit.org
Hepatic artery pseudoaneurysm is a concerning yet rare complication of blunt abdominal trauma, with treatment recommended upon diagnosis.1 Endovascular repair of hepatic artery aneurysms has gained...
0
2
7
π§π©» Salvaging EVAR failure. Type Ia endoleak after EVAR is tough near renal arteries. This case shows success with F/B-EVAR using an integrated bifurcate graft, overcoming limitations of other designs while preserving seal & durability. π https://t.co/Ms4lBRGmyO
#AortaEd
jvscit.org
Type Ia endoleak after endovascular aortic repair (EVAR) can be challenging to manage percutaneously because of short distances between the lowest renal artery and the bifurcate flow divider....
0
3
8
π©»β‘ When stents fail silently. This case reports a superficial femoral artery pseudoaneurysm from stent fracture noninfectious & atraumatic managed successfully with endovascular repair. π https://t.co/HCj8VrYqDC
#StentFracture #PAD
jvscit.org
Stent fractures of the peripheral arterial system are a documented phenomenon with the most common location being areas of high mobility such as behind the knee or groin. Concurrently, pseudoaneurysm...
0
4
14
π¦ π©» Rare but deadly. A 57-year-old with Protein C deficiency developed a renal artery stent infection (S. lugdunensis) leading to a pararenal aortic pseudoaneurysm. Managed with open repair, nephrectomy, rifampin patch & antibiotics. π https://t.co/6qKeEFlzJD
#StentInfection
jvscit.org
This report presents a case of a 57-year-old woman with protein C deficiency who developed a renal artery covered stent infection owing to Staphylococcus lugdunensis infection, resulting in a...
0
3
6
ππ©» When Type II endoleak gets complex. This case describes successful coil + Onyx embolization via a transcaval approach for a Type II endoleak with aortocaval fistula after EVAR using balloon occlusion & co-axial microcatheter. π https://t.co/xKAqTlVst0
#EVAR #Endoleak
jvscit.org
Endovascular aortic repair is an accepted treatment option for patients with infrarenal aortic aneurysm. Type II endoleak associated with persistent aneurysmal sac growth is considered an adverse...
0
1
4
π₯π« Combat blast aortic injury. A 19-year-old soldier sustained BTAI with LSA dissection after an RPG explosion. Emergent TEVAR + LSA stenting & thrombectomy achieved success. A case of isolated BTAI from combat blast. π https://t.co/rXIpyAwRty
#BTAI #TEVAR
jvscit.org
Blunt traumatic aortic injury (BTAI) is a rare and often fatal. We present the case of a 19-year-old male soldier with BTAI and left subclavian artery (LSA) dissection after a blast injury from a...
0
4
16
π©»β οΈ Rare vascular culprit. A middle-aged man with calf claudication was found to have a thrombosed true external iliac artery aneurysm from cystic media necrosis. Open repair achieved excellent results. π https://t.co/9GBuhyEArX
#CysticMediaNecrosis
jvscit.org
Aneurysms of the external iliac artery are extremely rare. We present a case of a middle-aged male patient with calf claudication owing to peripheral arterial embolism on the basis of a thrombosed...
0
3
9
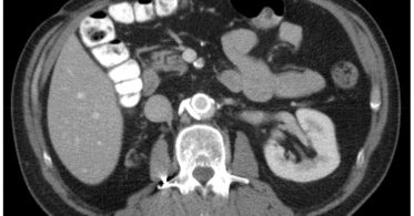
π©»π§¬ Rare hepatic aneurysm unmasked. A giant proper hepatic artery aneurysm mimicking Mirizzi syndrome, was successfully treated with open reconstruction, leading to full recovery. A reminder that not all hepatic lesions are pseudoaneurysms. π https://t.co/Mr5gsPfiP1
#Mirizzi
jvscit.org
Giant true aneurysms of the hepatic arteries are rare. Pseudoaneurysms of the hepatic arteries are more common and are mostly caused by intra-abdominal infection, iatrogenic injury, or trauma....
0
1
5