
JACEP Open
@JACEPOpen
Followers
810
Following
581
Media
836
Statuses
1K
The Journal of the American College of Emergency Physicians Open is the official, open-access journal of the American College of Emergency Physicians (ACEP).
Dallas, TX
Joined July 2019
🚨Exciting news!🚨 JACEP Open is proud to announce Dr. Marianne Gausche-Hill as our new Editor-in-Chief! A trailblazer in EM, EMS, and pediatrics, she’s ready to lead the journal into its next chapter. Join us in celebrating this exciting milestone! 🎉 @mgauschehill @ACEPNation
0
1
3
New in JACEP Open from @Yale_EM: Emergency Department Implementation of a Multimodal Electronic Health Record–Integrated Clinical Intervention for High-Sensitivity Troponin Testing Increases Diagnostic Efficiency This pre-post observational study across nine EDs assessed the
1
0
0
New in JACEP Open: The Importance of Normocapnia in Patients With Severe Traumatic Brain Injury in Prehospital Emergency Medicine This retrospective analysis of 866 patients with severe traumatic brain injury (TBI) found that elevated PaCOâ‚‚ levels on hospital admission were
1
0
0
New Image on JACEP Open: Clinical Images in Emergency Medicine: Man With Foot Pain and Indifference An 83-year-old man presented with indurated necrosis and hemorrhagic bullae on his foot, showing little concern despite the severe appearance. Imaging revealed soft tissue gas
1
0
0
New Image on JACEP Open: A Closed Posterior Ankle Dislocation Without Overt Associated Fracture as a Result of a Trampoline Park Injury A 21-year-old sustained a posterior ankle dislocation without fracture after an injury at a trampoline park, confirmed by radiographs and
1
0
0
New Image on JACEP Open: Patients Evaluated and Discharged From the Waiting Room Do Not Have a Higher Rate of 72-Hour Returns – A Retrospective Observational Study This single-center retrospective study assessed 72-hour return rates among ED patients discharged after
1
0
0
New Image on JACEP Open: Low-Energy Mechanism Causing an Unusual Presentation of a Femur Fracture A 99-year-old woman under hospice care presented after a ground-level fall with a comminuted, laterally displaced femoral shaft fracture despite intact skin and neurovascular
1
0
0
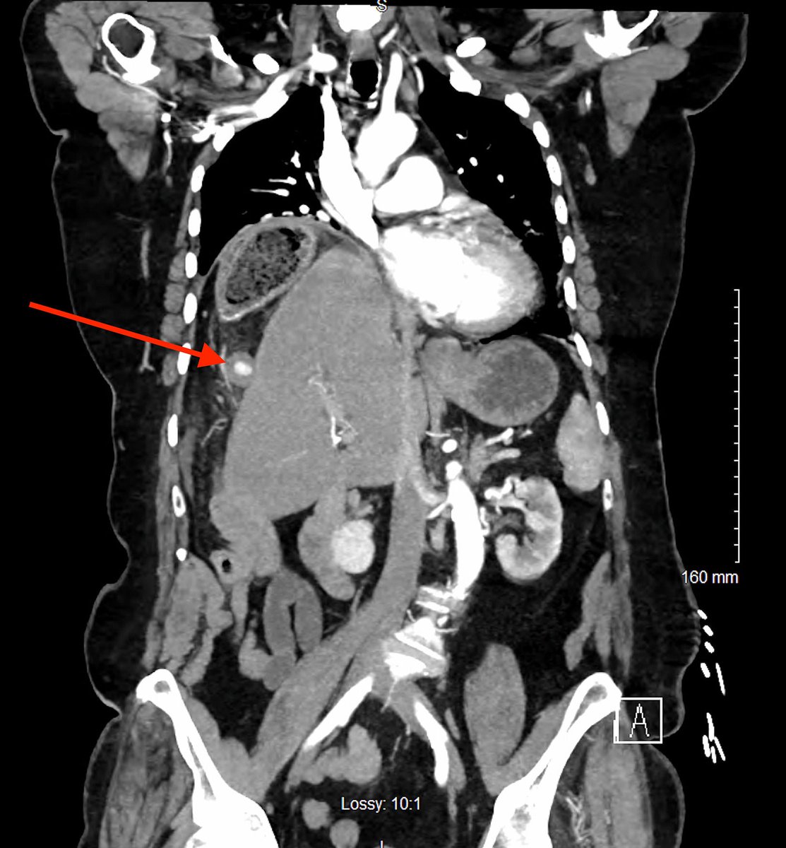
Popular on JACEP Open: An Elderly Woman With Acute Upper Back and Abdominal Pain A 74-year-old woman presented with acute upper and lower back pain, chest discomfort, and right upper quadrant tenderness, initially raising concern for aortic dissection. Imaging instead revealed
1
0
0
Popular on JACEP Open: New in JACEP Open: The association of the emergency department work environment on patient care and nurse job outcomes In this cross-sectional study of 221 hospitals, emergency nurses working in better-rated environments were significantly less likely to
1
0
0
New in JACEP Open: National Cost Savings From Use of Artificial Intelligence Guided Echocardiography in the Assessment of Intermediate-Risk Patients With Syncope in the Emergency Department This modeling study estimated that implementing an AI-based trans-thoracic
1
0
0
New in JACEP Open: The Impact of an Educational Intervention to Improve Emergency Medicine Resident Treatment of Individuals With Opioid Use Disorder This retrospective study evaluated an educational initiative aimed at increasing emergency medicine residents’ use of
1
0
0