IHSCardiac Profile Banner
Innovation Health Services Profile
Innovation Health Services

@IHSCardiac

Followers
123
Following
280
Media
47
Statuses
110

Cardiac CT and MRI rapid interpretation for acute chest pain and stable outpatient scans. Nationwide network of Level II and III cardiologists and radiologists.

Norfolk, Virginia USA
Joined February 2019
Don't wanna be here? Send us removal request.
@IHSCardiac
Innovation Health Services
1 day
🫀🚨 Unknown cardiac CT case Patient presents with acute mitral valve dysfunction — worsening dyspnea, rising gradients, and a prosthetic valve that suddenly isn’t acting so prosthetic. 😬 👀 What’s the diagnosis? Drop your thoughts 👇 #CardiacImaging #RadTwitter #Cardiology
0
0
4
@IHSCardiac
Innovation Health Services
4 days
💘 Happy Valentine’s Day from IHS — our favorite holiday. Because nothing says “true love” like: 🫀 perfectly timed ECG gating 💐 beta blocker bouquet 📸 pristine coronary images ✨ and a LAD that’s wide open Roses are red, violets are blue… we’ll always choose the heart (and
0
1
4
@IHSCardiac
Innovation Health Services
5 days
🫀✅ Answer: Micra leadless pacemaker⚡️ 📍Typically implanted in the right ventricle (via femoral venous access) 🔑 Imaging clue: small capsule-shaped device overlying the cardiac silhouette with small spider-like "fixation tines" Bonus pearl: if you see it somewhere that’s
1
2
6
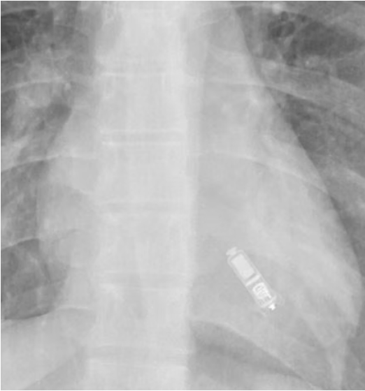
@IHSCardiac
Innovation Health Services
6 days
🫀📷 Unknown device time… Spotted on CXR: a tiny metallic “capsule” overlying the heart 📷 👀What cardiac device is this? Bonus: where is it typically implanted? Drop your guess 👇 #Radiology #Cardiology #CXR #MedTwitter #Radres
0
1
7
@IHSCardiac
Innovation Health Services
7 days
🫀💥 Answer: LAD occlusion Classic anterior wall / anteroseptal infarct pattern = LAD territory 🚨 Bonus points: proximal LAD if you’re seeing a big anterior + septal involvement. #RadTwitter #Cardiology #Radiology #MedTwitter #Radres
0
1
6
@IHSCardiac
Innovation Health Services
8 days
🫀⚡️ Unknown MI case Which coronary artery took this patient down? 👀 💥 Classic infarct pattern on imaging. 🎯 Name the culprit vessel! 👇 Drop your answer #RadTwitter #Cardiology #Radiology #MedTwitter #CCTA #Radres
0
1
6
@IHSCardiac
Innovation Health Services
13 days
🚨 Answer revealed 🚨 This sagittal CTA shows a Type B aortic dissection 🩸 Intimal flap distal to the left subclavian artery → classic setup. 🧠 Why it matters: • Medical management first (BP & HR control) • Endovascular intervention if complications arise #RadTwitter
0
1
5
@IHSCardiac
Innovation Health Services
13 days
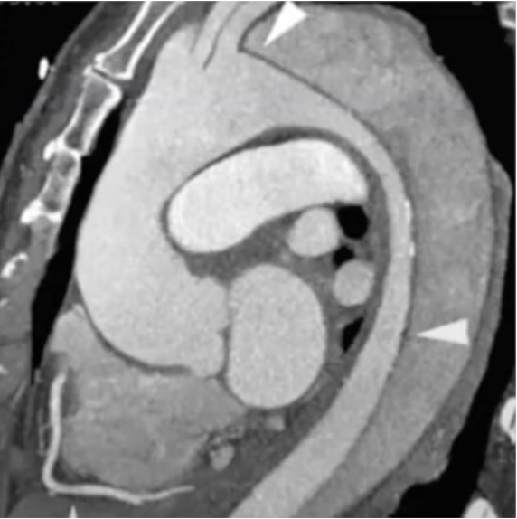
🫀Cardiac imagers save lives. 🧠 High-stakes anatomy and management hinges on exactly what this represents. What’s the diagnosis—and what’s your next move? 👇 Drop your call below #RadTwitter #Radiology #Radres #Cardiology #ImagingPearls
0
1
7
@IHSCardiac
Innovation Health Services
14 days
🫀✨ Cover-worthy cardiology ✨🫀 🍬This wasn’t just eye candy—it was last year’s journal cover. A stunning fusion of anatomy, pathology, and advanced cardiac imaging, submitted by one of our own cardiologists, Alex Rodriguez MD FACC! When clinical insight meets next-level
0
1
6
@IHSCardiac
Innovation Health Services
14 days
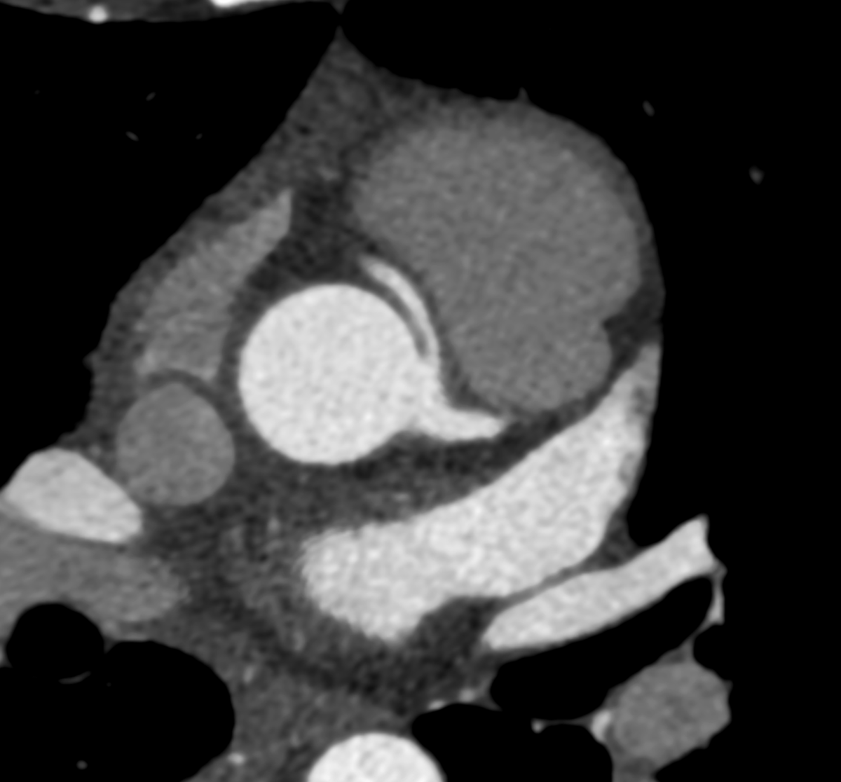
🫀 Answer: left atrial appendage thrombus 🩸 🗝️Key clues on cardiac CTA: • Persistent filling defect on delayed imaging • Sharp margins (not wispy stasis) • High-risk setup in atrial fibrillation 🚨 Not just a cool image—this finding changes management now. Anticoagulate
0
3
12
@IHSCardiac
Innovation Health Services
15 days
🫀 Heart CTA case 🫀 🧑‍🦱Patient with atrial fibrillation undergoing workup for Watchman placement—take a close look at the left atrial appendage 👀 💊What finding requires immediate management? Drop your answer below ⬇️ #RadTwitter #CardiacImaging #Radiology #Cardiology
0
1
6
@IHSCardiac
Innovation Health Services
19 days
🫀 Anomalous origin of the RCA from the left coronary sinus 📍 Not all coronary anomalies are "malignant"—but all deserve careful evaluation. 💡 Pearl: If you can’t find the RCA where it “should” be, expand the search! #Cardiology #Radiology #Radres #Medtwitter
0
1
6
@IHSCardiac
Innovation Health Services
20 days
👀Coronary artery anomalies! One image. Everybody knows the rules. Which one is shown here? 🫀👇 #Radiology #Cardiology #Medtwitter #Radres
0
1
6
@IHSCardiac
Innovation Health Services
21 days
Just a reminder that cardiac imaging can be both 🧠 clinically brilliant 🎨 visually unreal This image was one of the @journalCCT covers last year—submitted by one of our cardiologists, Alex Rodriguez MD FACC🫀📸 #Radtwitter #Cardiology #Radiology #Radres
0
2
8
@IHSCardiac
Innovation Health Services
22 days
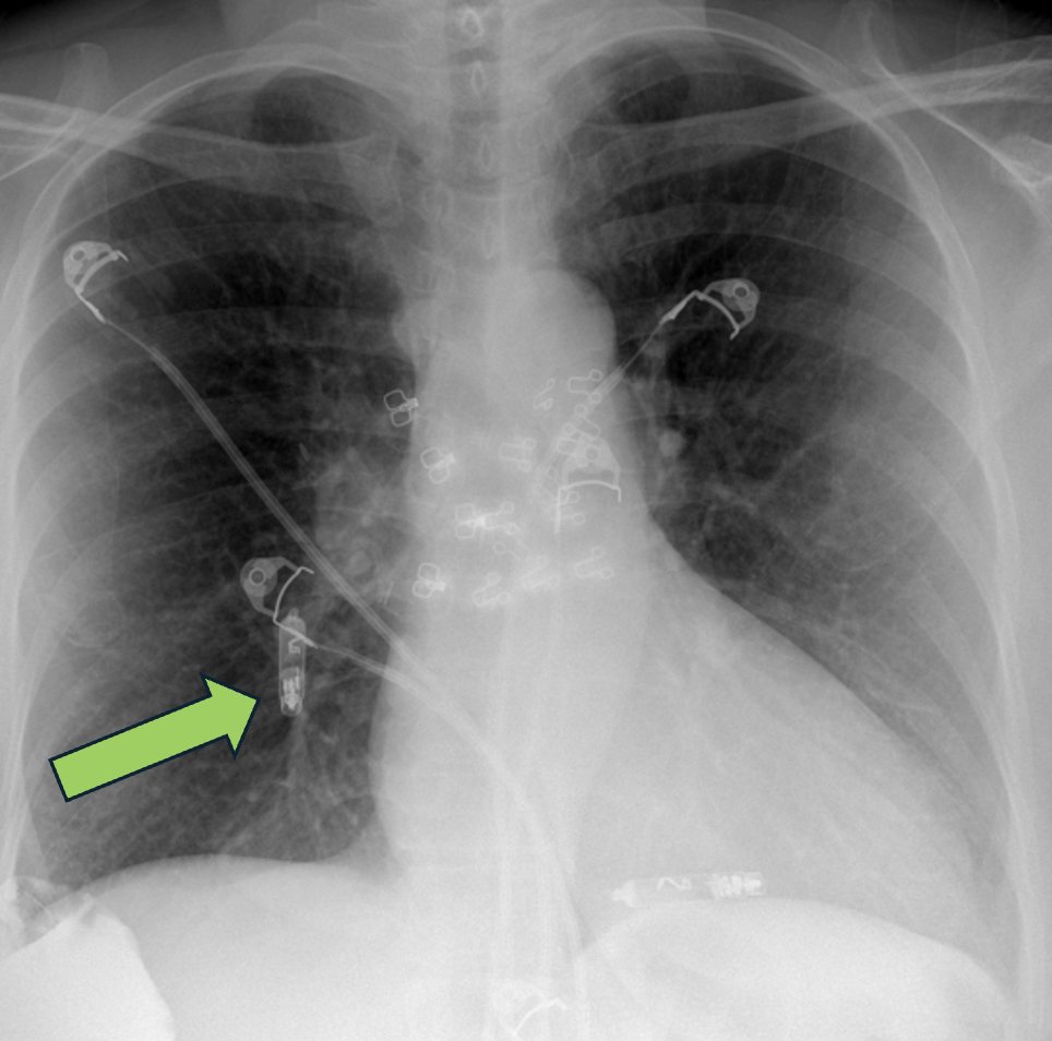
🫀Answer: Embolized right atrial leadless pacemaker! 🦓Uncommon complication, usually peri-procedural 🚧More common in patients with high BMI, tricuspid regurgitation, and atrial dilation 🥅Next step is retrieval of device with snare ❓Would you have caught this on first pass?
0
1
6
@IHSCardiac
Innovation Health Services
23 days
🚨Challenging case alert! 👩‍🦳72yo woman presents with acute dyspnea following dual-chamber leadless pacemaker placement. ➡️What is the device shown and is it in the correct location? #Radiology #Cardiology #Medtwitter #Radres
0
1
7
@IHSCardiac
Innovation Health Services
29 days
A 29-year-old woman with a history of exertional dyspnea undergoes a cardiac CT for evaluation of suspected congenital heart disease. What is the underlying congenital anomaly demonstrated? #Cardiology #Radiology #MedEd #MedTwitter
1
1
7
@IHSCardiac
Innovation Health Services
1 month
52-year-old male with severe aortic stenosis presents for preoperative assessment prior to transcatheter aortic valve replacement. Which side is preferable for access? #medstudent #cardiologist #heart #medical #medicine
0
1
7
@IHSCardiac
Innovation Health Services
2 months
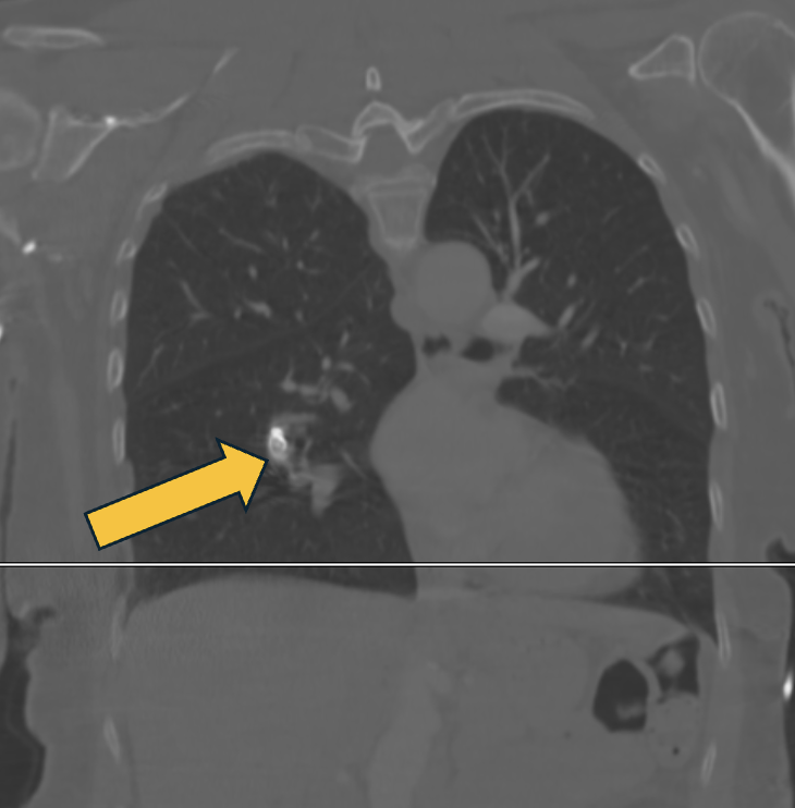
When the incidental finding is actually the life-threatening one...what is the finding?? 🫁⚠️ #medstudent #cardiologist #heart #medical #medicine
1
1
6
@IHSCardiac
Innovation Health Services
2 months
What is the most appropriate CAD-RADS designation for the lesion in the RCA? A.CAD-RADS 1 B.CAD-RADS 2 C.CAD-RADS 3 D.CAD-RADS 4A #medstudent #cardiologist #medical #medicine
1
1
6