HsiaoMDPhD Profile Banner
Albert Hsiao θ•­, MD, PhD, FNASCI, FSCMR, FAHA 🐳 Profile
Albert Hsiao θ•­, MD, PhD, FNASCI, FSCMR, FAHA 🐳

@HsiaoMDPhD

Followers
2K
Following
3K
Media
315
Statuses
2K

Physician-scientist-engineer. #Caltech #radiology #ai #achd #cardiaccta #whycmr #4dflow #AiDALab #radres

San Diego, CA
Joined November 2017
Don't wanna be here? Send us removal request.
@HsiaoMDPhD
Albert Hsiao θ•­, MD, PhD, FNASCI, FSCMR, FAHA 🐳
6 years
5
8
113
@HsiaoMDPhD
Albert Hsiao θ•­, MD, PhD, FNASCI, FSCMR, FAHA 🐳
7 days
Congrats Amin Mahmoodi, @MelinaHosseiny and the #AiDALab team on publishing our paper https://t.co/GgDoflhKJh on #deeplearning ECG gating for cardiac MRI! πŸŽ‰πŸ«€ @radiology_rsna @UCSDHealth @UCSDCardFellows @ucsd_mstp @HDSIUCSD @NASCISociety @SCMRorg
0
1
10
@MelinaHosseiny
Melina Hosseiny, MD
1 month
βœ…Extremely honored to receive the Resoundant Award tonight at #SABI2025! So grateful to our amazing team, my friend Samira Masoudi, and our mentor @HsiaoMDPhD who’ve guided me every step of the way, it wouldn’t have been possible without you! Thank you @SABImaging for the
30
6
246
@UCSDCancer
UC San Diego Health Moores Cancer Center
7 months
Leading up to the 2025 @AACR Annual Meeting, @HsiaoMDPhD shared how collaboration fueled his lab's research into lung cancer 🫁 πŸŽ₯ Watch the latest episode of #ScienceinSession with Dr. Hsiao to learn more: https://t.co/jxbIWJhnqn
0
2
9
@jonherochung
Jonathan Chung, MD
1 year
Come join our #cardiothoracicimaging fellowship at #UCSD! Dive deep into #CTEPH, advanced cardiac imaging, 4D flow, and ILD with our world-class experts. Embrace the future with our cutting-edge #AI. All while enjoying the paradise that is San Diego.
2
3
19
@dkthekkoott
Deepak Thekkoott #am-writing MD
1 year
My 29 yr old nurse had this. I couldn't figure this out with 2D echo/TEE and Cath, except I knew she had an atrial-level shunt. MRI revealed an SV defect with PAPV drainage. She needed open surgery. It was all a surprise from a curbside consult! Awesome images!!! #MedTwitter
@HsiaoMDPhD
Albert Hsiao θ•­, MD, PhD, FNASCI, FSCMR, FAHA 🐳
2 years
Hey #4dflow #whyCMR aficionados! If you see this abnormality and measure a shunt fraction (Qp/Qs) over 2, what else should you be looking for? @SCMRorg @SMRAngio @NASCISociety @UCSDCardFellows @UCSDRadRes
4
2
16
@MelinaHosseiny
Melina Hosseiny, MD
1 year
βœ… Such an incredible opportunity at #SABI2024 to learn from the leaders paving the way for innovation and #AI! Huge thanks to @SABImaging! @HsiaoMDPhD, @AiAndrewsmith, @woojinrad
2
2
24
@PamTaubMD
Pam R. Taub, MDβ€οΈπŸ’ƒπŸ»
1 year
We are honored to have the legend Dr. Renu Vermani ⁦@UCSDCardiology⁩ for grand rounds. Incredible insights into the pathogenesis of atherosclerosis. ⁦@EricAdler17⁩ ⁦@AlokeFinn⁩ ⁦@HsiaoMDPhD⁩ ⁦@dranulala⁩ ⁦@loridanielsmd⁩ ⁦@JonHsuMD⁩ ⁦
2
3
31
@DrDorathyTamayo
Dr. Dorathy Tamayo-Murillo
1 year
Congrats to the 2024 MSTP SURF cohort!!! Impressive group! Thanks to the mentors, speakers, and supporting departments @UCSDHealthSci @UCSDMedSchool @ucsd_mstp
0
5
10
@HsiaoMDPhD
Albert Hsiao θ•­, MD, PhD, FNASCI, FSCMR, FAHA 🐳
1 year
Over 10 years @UCSDHealth with #4dflow #whyCMR... and still amazes me how powerful this technology has turned out to be for #ACHD. Better lucky than good? #imagingAI #AiDALab @NASCISociety @RSNA @ISMRM @SMRAngio @ACCinTouch @UCSDRadRes @StanfordRadCVI @TempusAI @GEHealthCare
1
19
59
@HsiaoMDPhD
Albert Hsiao θ•­, MD, PhD, FNASCI, FSCMR, FAHA 🐳
1 year
Team #AiDALab #ImagingAI @UCSDHealth @HDSIUCSD @UCSDJacobs and the @NIH @NIBIBgov #T32 radiology research residency. Excited to see what we are able to accomplish this year! ❀️‍πŸ”₯🫁🩸
0
0
18
@HsiaoMDPhD
Albert Hsiao θ•­, MD, PhD, FNASCI, FSCMR, FAHA 🐳
1 year
@UCSDRadRes @NASCISociety @thoracicrad @ARRS_Radiology @RSNA No takers? This is not catheter-associated thrombus, which might be a first guess, but rather fibrin sheath, which forms around chronic central venous catheters. Fibrin sheath may persist long after the catheter has been removed. It can, but does not always, calcify.
0
2
7
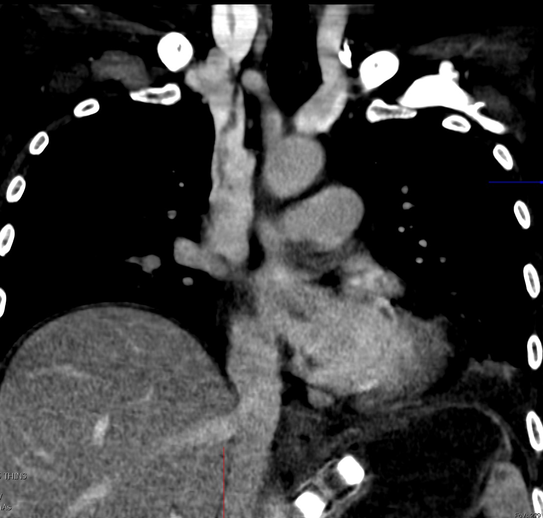
@HsiaoMDPhD
Albert Hsiao θ•­, MD, PhD, FNASCI, FSCMR, FAHA 🐳
1 year
Welcome to July! Time to revisit some classic cardiovascular imaging lessons... what is the key "incidental" finding in this coronal section from a chest CT? #radres @UCSDRadRes @NASCISociety @thoracicrad @ARRS_Radiology @RSNA
3
2
20
@HsiaoMDPhD
Albert Hsiao θ•­, MD, PhD, FNASCI, FSCMR, FAHA 🐳
2 years
Hey #4dflow #whyCMR aficionados! If you see this abnormality and measure a shunt fraction (Qp/Qs) over 2, what else should you be looking for? @SCMRorg @SMRAngio @NASCISociety @UCSDCardFellows @UCSDRadRes
2
25
85
@HsiaoMDPhD
Albert Hsiao θ•­, MD, PhD, FNASCI, FSCMR, FAHA 🐳
2 years
Happy final quarter of the fiscal year, for those who celebrate!πŸŽ‰
1
0
4
@HsiaoMDPhD
Albert Hsiao θ•­, MD, PhD, FNASCI, FSCMR, FAHA 🐳
2 years
Congrats @MelinaHosseiny and all the winners of @ARRS_Radiology awards!! You're joining an amazing cohort of winners, including many prominent academic faculty! @UCSDHealth @UCSDImaging πŸ§¨πŸŽ‡
@ARRS_Radiology
ARRS
2 years
Congratulations to the 4 individuals named as recipients of the Resident/Fellow in Radiology Awards! https://t.co/U8vdM0W2lQ
2
0
35
@ARRS_Radiology
ARRS
2 years
Congratulations to the 4 individuals named as recipients of the Resident/Fellow in Radiology Awards! https://t.co/U8vdM0W2lQ
10
9
89
@HsiaoMDPhD
Albert Hsiao θ•­, MD, PhD, FNASCI, FSCMR, FAHA 🐳
2 years
Looking forward to our #CMR2024 session on #whyCMR strain in Westminster room later today! Excited to see you all soon, and sharing our @UCSDHealth #AiDALab perspective on this field and the emerging role of #AI #deeplearning to directly impact clinical care. ❀️‍πŸ”₯
1
5
30
@HsiaoMDPhD
Albert Hsiao θ•­, MD, PhD, FNASCI, FSCMR, FAHA 🐳
2 years
@NASCISociety @SCMRorg @SMRAngio @ACCinTouch @AHAScience @RSNA @ARRS_Radiology Another view, in case it might help... there's one finding that's super subtle. I might have to give some more clues. πŸ”
2
0
7
@HsiaoMDPhD
Albert Hsiao θ•­, MD, PhD, FNASCI, FSCMR, FAHA 🐳
2 years
Happy (almost) New year! Curious out there... does anyone see what I see on this 4-chamber from #4dflow #whyCMR? Hint: there are multiple concurrent pathologies. @NASCISociety @SCMRorg @SMRAngio @ACCinTouch @AHAScience @RSNA @ARRS_Radiology
8
9
56
@HsiaoMDPhD
Albert Hsiao θ•­, MD, PhD, FNASCI, FSCMR, FAHA 🐳
2 years
So true. It's amazing what can be done with powerful technology in capable hands @UCSDHealth. #YesCCT @UCSDImaging @UCSDCardFellows @UCSDRadRes @NASCISociety @Heart_SCCT
@CardioBusiness
Cardiovascular Business
2 years
Coronary CT angiography has seen rapid adoption the past two years and vendors fed the trend with new product cardiac CT launches at RSNA 2023. #YesCCT #Cardiotwitter #RSNA23 @HsiaoMDPhD @JoaoLCavalcante
1
3
14