
Hristo Kirov
@HrisKirov
Followers
2K
Following
4K
Media
75
Statuses
729
Cardiac & thoracic surgeon | Scientist | Author of “What’s new in cardiothoracic surgery” podcast
Jena, Deutschland
Joined January 2022
"The better the surgeon, the better the outcomes." We will once again discuss with @ToDoenst the newest and most relevant publications in the field of coronary surgery in the last 12 months. Now on every podcast platform: https://t.co/tGyaEozbEN
https://t.co/CMQ5BKnrtE
5
24
73
🚨 Simultaneous publication: EACTS + JAMA! CABG-AF Trial (by German Hearts): Among 198 CABG pts with monitors, 48% developed POAF within 1 year. 👉 Median AF burden was minimal despite high incidence. It challenges current anticoagulation guidelines. 📖 https://t.co/GCKBhqDAzq
0
7
16
Please join me this Saturday at 8 AM EDT Time for another @ISCAScoronary Morning Talk about #OffPump #CABG How to learn it. Togehter with collegues and friends we will discuss how to become proficient in Off Pump. Event supported by @Medtronic
https://t.co/NXjFVENOo7
4
6
33
@drjohnm @HrisKirov @divaka_perera If we keep calling PCI and CABG revascularization, we will keep blurring our perception of outcomes, because we do not understand the underlying treatment mechanisms ( https://t.co/gM9qSccvnc).
2
2
9
Objective and scientific. That is why we need more of @VictorDayan1 on guidelines
🚨2025 @EACTS and @ESC_Journals guidelines have been released. Great job by those involved. As all non evidences based recommendations, most are subject to different perspectives. The authors of current guidelines have jeopardized the future of pts who need a second procedure…
1
11
53
Performing CABG in severe LV EF is challenging! Did you know… 👉Beating-heart CABG with microaxial pump support (MPCAB) had 0% vs. 33% mortality compared to CPB-CABG in EF ~27%, (Assmann et al. 2025). 👉 Want to know more? Join us at #ICC2025 NYC
0
5
25
🫀 Tricuspid Valve Infective Endocarditis: Repair or Replacement? Excited to share our newly published systematic review and meta-analysis at @IJC_Heart_Vasc, addressing this critical surgical question. 📊 Across 19 retrospective cohorts and 9,734 patients, we compared
0
4
11
No trial better explains the importance of evidence than REVIVED BCIS. It boggles my mind that it was negative @divaka_perera is correct, but try telling 99% of American cardiologists We still cath new LV dys pts TO FIND LESIONS TO REVASC despite negative trials #ESC2025
@divaka_perera makes a strong case: routine #PCI should not be performed in asymptomatic pts with LV dysfunction (even with viability). It does NOT improve prognosis ‼️ Evidence should guide practice: The earth is not flat 🌎 #ESCCongress @escardio @drjohnm
29
55
254
🔥Hot off the press in @JCVAonline🔥 #TAVR vs #SAVR in pts with EF<50% 205 #PSM pairs No difference in 30d☠️, stroke and reinterventions PVL and MG⬆️with TAVI TAVR with ⬆️ ☠️ in 6y follow-up @IbrahimSultanMD @DSGMD @UPMC_CTSurgery @HviUpmc
https://t.co/aOy76jL5wH
1
16
47
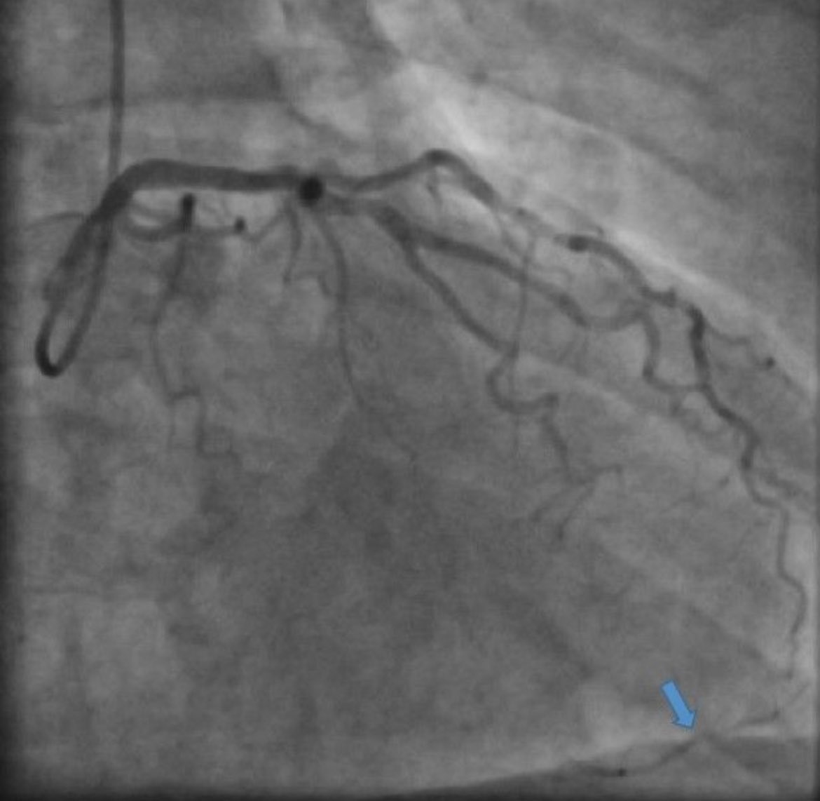
🚀 All-arterial, off-pump, no-touch aorta CABG 👨⚕️ 51y obese pt, RCA CTO, 3 failed CTO-PCI, CCS III angina, wanted durable solution w/o sternotomy. ✅ Approach: • LIMA+RIMA (I composite graft)→ PDA • MICS access ✨ Results: • Uneventful course • Home on POD 4
3
6
41
At @mainlinehealth our team has been advancing the practice of #RoboticCABG and #TECAB with two surgeons controlling three instruments during the anastomosis. This is possible thanks to an independent @Medtronic stabilizer. So much innovation still needed by the pathway is clear
4
8
65
🚑BREAKING NEWS. This is massive. 10 year PARTNER 2 data has been released by the company. No statistical analyses were performed. But I performed them and these is what happened at 10 years. @pomyers @rafasadaba @STS_CTsurgery @EACTS
8
72
198
From reconstructed KM curves, life tables + Parmar method, TAVR was associated with worse survival at 10 years. This is vital status sweep, so this is real. @drjohnm #cardiotweeter #TAVR #SAVR
3
11
37
15 surgeons. 5 countries. 1 mission: advancing minimally invasive cardiac surgery. A week of live cases, wetlabs & lectures at the Jena MICS Bootcamp = new skills, knowledge & network The winners? Our patients. Like 2x full-arterial, off-pump, no-touch-aorta MICS-CABG 🫀
3
11
61
What if the best vaccine against heart attacks… is surgery? 🫀 CABG cuts MI risk by 51% — on par with approved vaccines. It doesn’t just treat — it prevents. A collateral prevention system for the heart. 🧠💉 Read more: https://t.co/7taDzAbcCx
4
17
49
🧵 Cross-overs in RCTs: The Hidden Bias Game and the scam of the century (EARLY TAVR) 1/ Cross-overs—patients switching from assigned treatment to the other arm—can undermine trial integrity. But did you know they can help or hurt depending on trial design? Let’s break it down.
8
41
180
Rocking my new surgical cap a gift from Germany @TulioCaldonazo as we keep moving forward with our mini-thoracotomy AVR program @CardiocirugiaHH
1
2
12
Hey @AudiOfficial, how about sending this legend from Kharkiv a new Audi as a thank you for the great advertising. You could even offer him a trade so you can learn from the car damage / show it off for the world to see russian agression 🙏
280
2K
14K
Lifetime management of heart valve disease—treat it early and treat it right, first time - The Lancet
0
5
16
Our podcast journey begins. In the first episode of the Jena Club of Cardiac Surgery Enthusiasts Podcast, we speak with Prof. Torsten Doenst — surgeon, scientist, and the first Heisenberg Professor for Cardiac Surgery. @ToDoenst
#science #surgery
https://t.co/NPfzLXil60
0
3
6