HCIRad Profile Banner
Houston Combined IR Residency Profile
Houston Combined IR Residency

@HCIRad

Followers
531
Following
736
Media
33
Statuses
136

Integrated #IRad residency program combining training from multiple institutions within the @TXMedCenter

Houston, TX
Joined July 2020
Don't wanna be here? Send us removal request.
@HCIRad
Houston Combined IR Residency
4 years
Thrombecotmy in a patient with massive PE, appropriate corresponding decrease in PA pressure. @SIRspecialists @SIRRFS @InariMedical
1
6
38
@ahmed_kamel_ir
Ahmed Kamel MD, PhD, FSIR
4 years
Great presentation by Dr. Bassuner @UTHouston_IR about #ProstateArteryEmbolization #PAE for the Moroccan IR diploma sponsored by the Moroccan society of IR #SMRI and African society of IR #SAFIRE @UTHradiology @keithppereira @vaheesanIR @uab_ir @ajgunnmd @irdocnigeria @Bama_IR
1
3
28
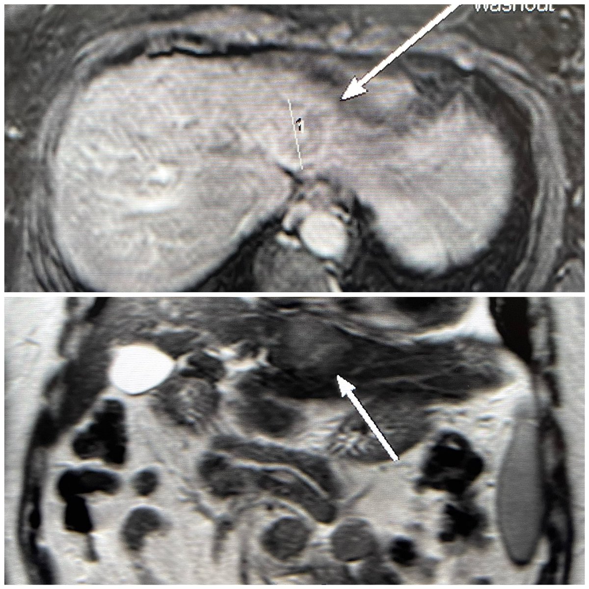
@ahmed_kamel_ir
Ahmed Kamel MD, PhD, FSIR
4 years
Left lateral hepatic lobe HCC supplied by two & three segmental arteries treated with high dose Y90. Fusion images show complete coverage of the tumor & SPECT CT targeted tumor dose #personalized #dosimetry #y90 #radioembolization @UTHouston_IR @UTHradiology @memorialhermann
1
3
25
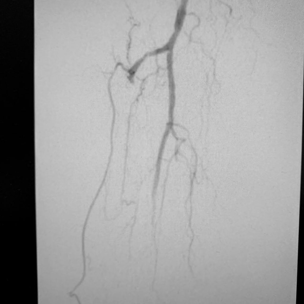
@HCIRad
Houston Combined IR Residency
4 years
Patient with multiple small arterial ulcers involving the toes 1-3 with poor runoffs. Targeted recanalization of the AT with great flow to the wound. This patient will be plugged into our clinic and watched closely to assess healing.
0
0
5
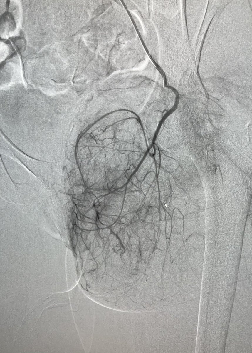
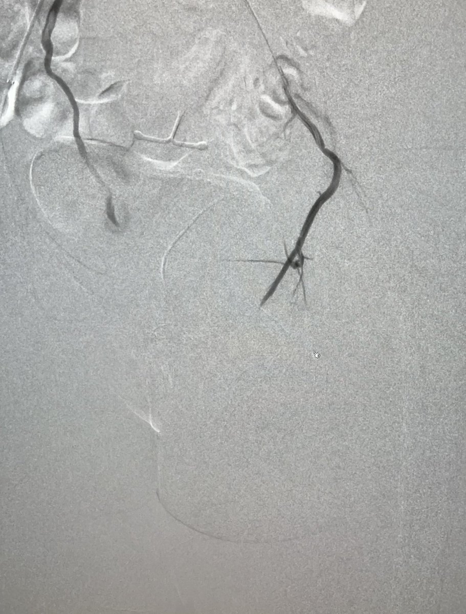
@HCIRad
Houston Combined IR Residency
4 years
About 1/3 of our traumas involve the pelvis, here the left superior gluteal artery is bleeding from multiple branches. After embolization, hg stabilized and vitals improved.
0
2
20
@HCIRad
Houston Combined IR Residency
4 years
At our other institution, we have had our fair share of trauma, tips, prostate and uterine artery embolizations, y-90, and ~10 CLI cases.
0
0
4
@HCIRad
Houston Combined IR Residency
4 years
Busy couple of weeks at our program, as it should be. We rotate through two main hospitals. At @MDAndersonNews we have performed > 6 PE and DVT thrombectomies in addition to the Y-90, thermal ablation, and other cases that we perform to treat our patients.
0
0
7
@PhillyAngio
PAIRS
4 years
Happy '21 Season! PAIRS has returned with a schedule of amazing speakers. First: with so many services to provide, how do we establish direct access to the patients we care for? We are excited to welcome Isabel Newton, MD, PhD of UCSD IR to guide us through bridging this gap.
2
8
33
@_backtable
BackTable Vascular and Interventional
4 years
This week on The Podcast: In Part 1 Dr. Fred Lee of @UWiscRadiology discusses Lung Biopsy Technique! Stay Tuned for Part 2 on Blood Patching! #medEd @UWiscRadEd @AmandaSmolockMD @JVIRmedia @DanSzeMDPhD @SIRRFS @SIR_ECS @UWHealth @ACRYPS @Radiopaedia
1
8
22
@_backtable
BackTable Vascular and Interventional
4 years
Today on The Podcast: In Part 2 Dr. Fred Lee tells us about his Blood Patching Technique for Lung Bx! See @JVIRmedia article below 👇 @UWiscRadiology @UWRadRes @ACRYPS @DrFLoya @md_rogue @IR_Ethics @SIR_ECS @JacobFlemingMD @Daryl_Goldman @MaryamBoumezrag
1
6
18
@TxRadSociety
Texas Radiological Society
4 years
Medical Students, SAVE THE DATE - Saturday, February 26th, 2022! Registration details to follow. Join us! #trs2022
0
5
14
@HCIRad
Houston Combined IR Residency
4 years
Before and after SFA atherectomy and angioplasty for CLI. #stopthechop @SIRspecialists @SIRRFS @MDAndersonNews @Interventional2
3
5
23
@rahulshethmd
Rahul Sheth
4 years
Highly relevant study for those of us interested in using #irad therapies to improve immunotherapy efficacy. Even if a local therapy successfully “releases” neoantigens from the target lesion, that antigen is unlikely to be globally expressed at other disease sites!
@jitcancer
Journal for ImmunoTherapy of Cancer
4 years
New #JITC article: Indication-specific tumor evolution and its impact on neoantigen targeting and biomarkers for individualized cancer immunotherapies https://t.co/IYgiLGzK2w @XimoPechuan
0
1
8
@JBuckleyMD
Jennifer R Buckley, MD MBA
4 years
Happy #RADTOBERFEST! Still not sure what @RADPAC does for you?? Check out my video below👇. Excited to be on the winning side of #RADTOBERFEST this year as a newly minted member of the @ACRYPS. Good luck @ACRRFS, you will need it. #RADVOCACY #RADPAC4LYFE
3
7
19
@HCIRad
Houston Combined IR Residency
4 years
We have the option to rotate through an outpatient vascular center during our elective weeks. This is where we can learn the outpatient vascular and interventional radiology care. Dialysis management, peripheral vascular, men and women’s health etc. @SIRRFS @SIRspecialists
0
2
15
@SIRspecialists
Society of Interventional Radiology
4 years
#RadRes, you only have 2 weeks to submit your presentation for LEARN 2021! If you are interested in presenting a case about lower extremity arterial disease and treatment live in October, fill out this application by Sunday, Oct. 10. https://t.co/vyWbu1TRsO
0
1
4
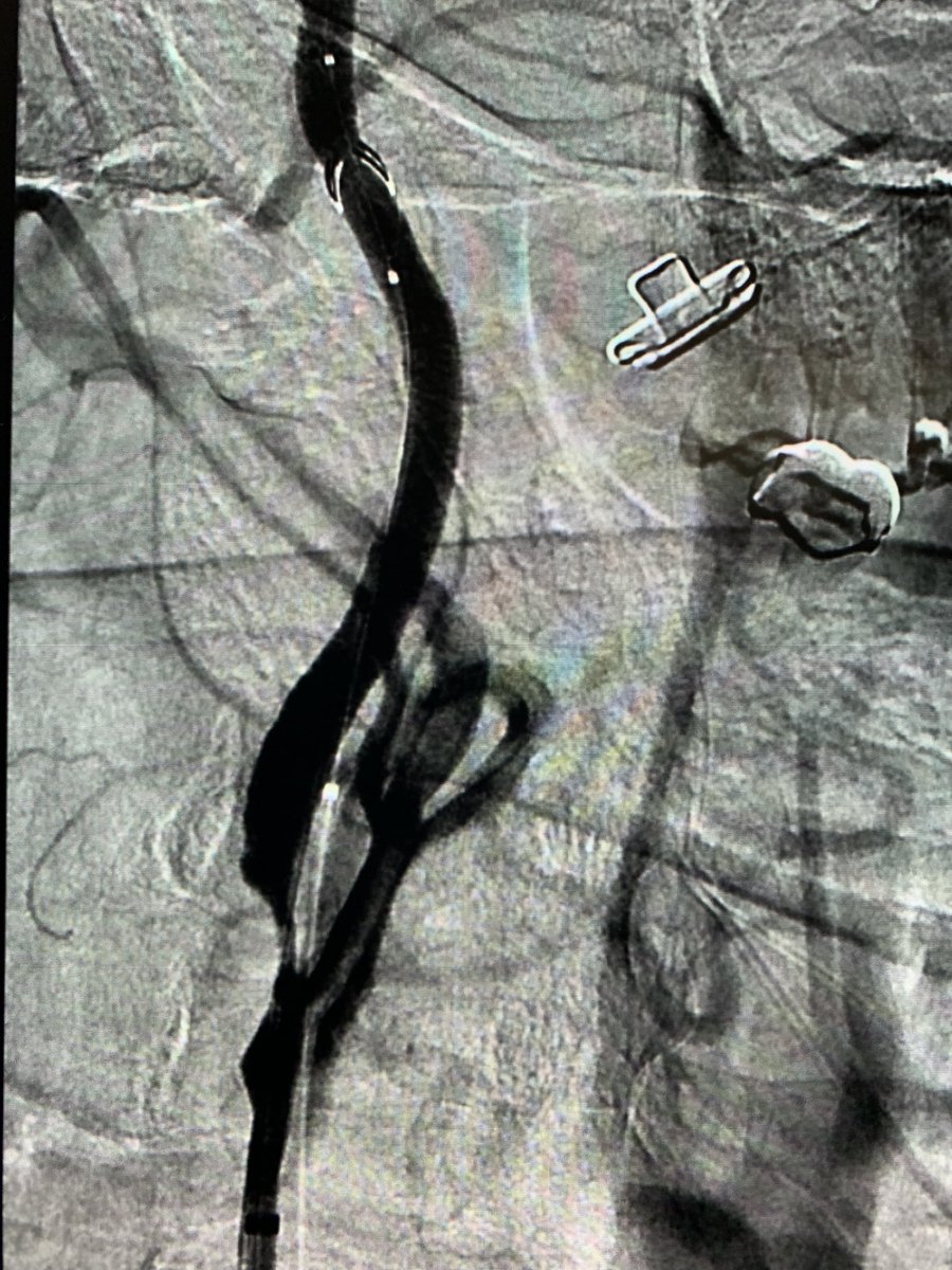
@HCIRad
Houston Combined IR Residency
4 years
Severe stenosis of the proximal cervical segment of the internal carotid artery corrected with a self expanding stent. @Interventional2 @SIRRFS @SIRspecialists
2
2
18
@ahmed_kamel_ir
Ahmed Kamel MD, PhD, FSIR
4 years
Pelvic floor leiomyosarcoma, treated @UTHouston_IR by bland #embolization prior to #excision to minimize intra and postoperative blood loss. Very selective embolization of the tumor while maintaining perfusion to the remaining pelvic organs and structures.
0
12
45