Frances_Salmon2 Profile Banner
Frances Salmon Profile
Frances Salmon

@Frances_Salmon2

Followers
48
Following
63
Media
0
Statuses
19

Abbott EP | Richmond, VA | GT Alum

Richmond, VA
Joined July 2019
Don't wanna be here? Send us removal request.
@Drdevignair
Dr. Devi G Nair
5 months
First-in-Human cases  with ViewFlex™ SE + EnSite™ X v5 at #ArrhythmiaResearchGroup Group and St. Bernards Healthcare as part of ViewFlex SE Trial. Pushing the boundaries of EP workflows with the first clinical use of the @AbbottCardio ViewFlex™ SE ICE catheter, now
1
25
113
@sachinjv
Sachin Vadodaria
8 months
Prof. @RolandTilz does a live AF case w/ #VoltPFA w/no paralytics & GA, using a single catheter workflow ‘No muscle contraction, no diaphragmatic capture, 2 shots per vein, durable lesions from 6 month data presented at EHRA, efield display on EnSite X’! #AbbottProud #HRS2025
1
14
50
@sachinjv
Sachin Vadodaria
11 months
Great presentation by @Drdevignair (St. Bernards Healthcare, Jonesboro, AR) discussing advancements in ICE using ViewFlex SE for fast anatomical mapping on #EnSiteX Mapping System. #abbottproud #AFSymposium2025
2
10
35
@Drdevignair
Dr. Devi G Nair
1 year
Monday started with First-in-Human Use of “ViewFlex X SE” ICE Catheter with @AbbottCardio I've always loved using the ViewFlex ICE for its exceptional image quality, but now with seamless ICE integration into Ensite X, this is a total game-changer that enhances precision like
2
80
207
@Doc_Hieu
Future
2 years
When I see at short runs of atrial ectopy or frequent PACs, I have come to learn that it’s best to go after them in the moment instead of waiting till end of case. It may not be there post WACA. #epeeps @EPeeps_Bot @Frances_Salmon2 did a fantastic job of locating this!
0
1
1
@Doc_Hieu
Future
4 years
RVOT PVC directly across from the non coronary cusp. @Frances_Salmon2 @RVA_mappers @EPeeps_Bot #epeeps Interesting how the R wave in II, III, AVF are all essentially identical. QS in V1 says RVOT, but the transition in V3 said LVOT. -40ms pre delta. ICE imaging helps monitor
1
4
3
@forkknifecab_EP
Brock Gambill
4 years
An HD Scope scan, revealed a small remnant Chiari. This active parallel imaging on @AbbottEP ViewMate Ultrasound 9.1 @Ashit_EPS @MarissaM_EP @masonmaps
1
25
41
@DaktariJay
DrJ
4 years
#EPeeps had a very fine day with #EnSiteX #HDGrid and #OT mapping slow pathway prior to #AVNRT ablation this week. Observed nice slow junctionals with RFA at site of collision. Non-inducible post-ablation. Maps by @MeganMalladiEP Figures by @sota_ep
3
84
174
@rabinkova
Anna
4 years
RIPV leak omnipolar map. Arrows constructed INDEPENDENTLY of reference catheter. Algorithm analyzes bipoles&unipoles from every right triangle of 3 adjacent electrodes on HDGrid giving us instantaneous local indication of wavefront direction. One burn isolation by @AxisDeviation
3
27
126
@StevenC_EP
Steven Coutteau
4 years
Excited to showcase the new power of #EnSiteX! Was able to pinpoint this focal AT in the septal posterior RA to the millimeter using OT. I LOVE the increased specificity due to #TrueEGMs and point resolution - and activation vectors!! @AbbottCardio #HDGrid #OnlyWithOT #EPeeps
6
33
89
@saumilshahmd
Saumil Shah
4 years
Redo Mitral flutter. You can 🔨endocardium, inject ethanol or in our case ablate CS. Glad to have options. @Frances_Salmon2 #nofluoro
2
2
9
@saumilshahmd
Saumil Shah
5 years
#epeeps use of ICE can be very helpful getting the appropriate orientation and contact for RVOT PVCs near pulmonic valve. #viewflex @ZilinskasAshley @MRazminia @gurupmohantymd
0
9
35
@saumilshahmd
Saumil Shah
5 years
Excited to finally get hands on #liveview #hdgrid@HenricoDoctors
1
8
29
@saumilshahmd
Saumil Shah
5 years
Posterior wall flutter with no prior history of AF or AAD. #epeeps where do you ablate? Map by ⁦@Frances_Salmon2#hdgrid
3
8
37
@saumilshahmd
Saumil Shah
5 years
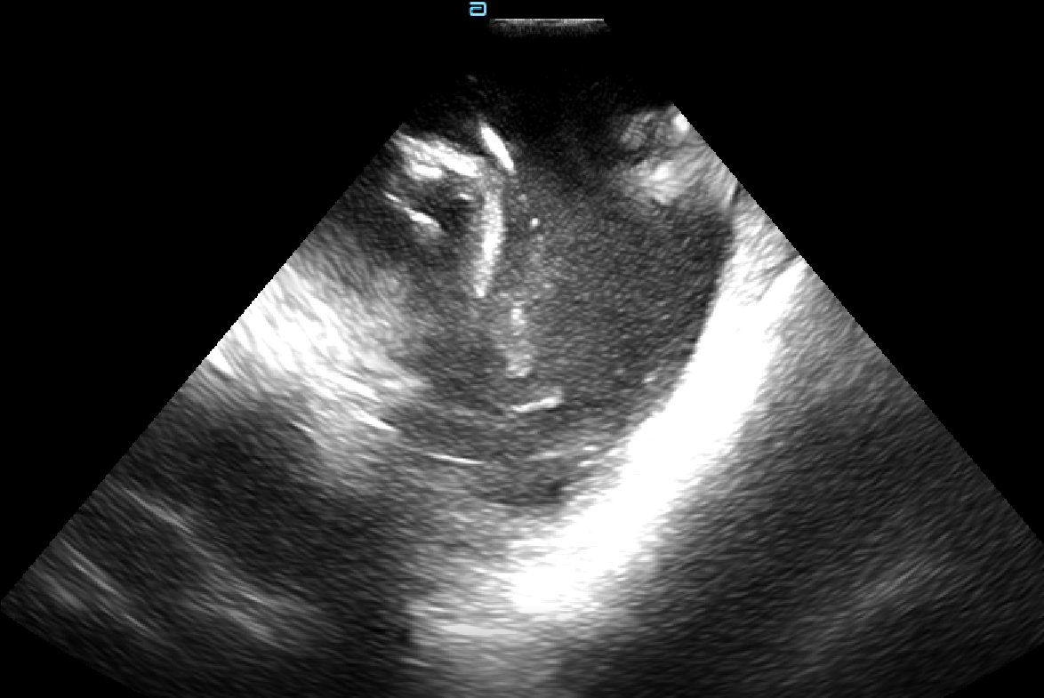
AT ablation from RA/NCC. intracardiac echo is essential #viewflex@Frances_Salmon2
0
6
39
@saumilshahmd
Saumil Shah
6 years
Similar case today. Recurrent PACs from post wall after PVI. Epicardial connection on mid post wall was the successful site. #hdgrid thanks @ZilinskasAshley
@FrischMd
Daniel Frisch, MD
6 years
Despite PVI and cardioversion, this patient continued to have AF. Fortunately, we found a reproducible posterior wall trigger that, once eliminated, maintained sinus. Nice review by @Dr_Santangeli Heart Rhythm 2017;14:1087 (and map @arcampado)
0
3
7
@gurupmohantymd
Guru P. Mohanty
6 years
Merry Christmas!🎄🎁 Celebrating a single burn termination mapped with #HDGrid @VA_Arrhythmia @SaumilShahMD @RVA_mappers @AbbottCardio @ZilinskasAshley
1
4
8