EditorNeuro Profile Banner
Editor - Neuro-Oncology Advances Profile
Editor - Neuro-Oncology Advances

@EditorNeuro

Followers
2K
Following
3K
Media
498
Statuses
795

Dr. Gelareh Zadeh - Editor-in-Chief of the Neuro-Oncology Advances Journal https://t.co/DIZeqLXgdx @gelarehzadeh

Joined February 2022
Don't wanna be here? Send us removal request.
@EditorNeuro
Editor - Neuro-Oncology Advances
16 hours
Our new issue, Abstracts to the 43rd Annual Meeting of the #Japan Society for #NeuroOncology, is now available! https://t.co/XWq6il8xqi #JSNO
0
0
0
@EditorNeuro
Editor - Neuro-Oncology Advances
4 days
Wishing you all a very happy, healthy, and enjoyable holiday season!
0
0
4
@ICOMeningioma
International Consortium on Meningiomas (ICOM)
6 days
Did you get a chance to read the Q4 edition of the #ICOM #newsletter, featuring #meningioma research, events, and ICOM members? https://t.co/kTUvlMFAtI
0
3
4
@EditorNeuro
Editor - Neuro-Oncology Advances
6 days
Postoperative #pediatric #CerebellarMutismSyndrome poses serious morbidity after posterior fossa tumor surgery. This systematic review evaluates current literature for differences in #neuroimaging features between children with and without ppCMS. https://t.co/btPC6DCYYU
0
0
8
@EditorNeuro
Editor - Neuro-Oncology Advances
8 days
The availability and quality of public datasets for #glioma #MRI are not well known. For this review, authors searched for public datasets of glioma MRI using Google Dataset Search, The Cancer Imaging Archive, and Synapse. Read full article here: https://t.co/18fmue43cr
0
0
4
@EditorNeuro
Editor - Neuro-Oncology Advances
11 days
This new #ClinicalInvestigation found that #Telehealth-delivered LaTCH-BRAINS improved subjective memory-related outcomes for people with #PBT, demonstrating promise as a cognitive rehabilitation approach for people with PBT reporting memory decline. https://t.co/rB2uZfoDBN
0
0
3
@EditorNeuro
Editor - Neuro-Oncology Advances
13 days
Publish your research with #NeuroOncology Advances! We are an #OpenAccess inter-disciplinary journal covering basic, applied, and clinical investigations in all research areas relating to #cancers of the central nervous system. Find out more: https://t.co/Z9HE3ilV5e
0
0
2
@EditorNeuro
Editor - Neuro-Oncology Advances
15 days
#CerebrospinalFluid cell-free DNA as a #LiquidBiopsy tool for detecting and monitoring genomic alterations in thalamic #ColorectalCancer metastases ‘ is now available in our current issue. Access here: https://t.co/MFKUS96U5a
0
0
6
@EditorNeuro
Editor - Neuro-Oncology Advances
18 days
How did the #COVID-19 pandemic affected the care of people with #BrainTumors? Read the #LaySummary or more about the full investigation here: https://t.co/ceWqq3xgBt
0
0
2
@EditorNeuro
Editor - Neuro-Oncology Advances
20 days
This new article found that BT-targeted NGS facilitates the reclassification of #pHGGs, revealing associations with CPS. Routine germline sequencing is warranted and accurate molecular diagnosis enables a shift in tailored treatment strategies. Read more: https://t.co/fS3Dq5PHPZ
0
0
4
@EditorNeuro
Editor - Neuro-Oncology Advances
22 days
Don’t miss our latest #articles - here are just a few that were published last month! https://t.co/9BPNiJHlVY
0
0
4
@EditorNeuro
Editor - Neuro-Oncology Advances
25 days
Can the scoring systems used to measure treatment benefits in other cancers could be used for patients with #BrainTumors? Read the #LaySummary or full article here: https://t.co/BRsiUcGd7Q
0
0
5
@EditorNeuro
Editor - Neuro-Oncology Advances
27 days
Is tumor shape associated with molecular diagnosis, extent of resection, or postoperative focal deficits in diffuse #LowGradeGliomas? Read about the findings of the clinical investigation here: https://t.co/sHYtoRbizF
0
1
6
@EditorNeuro
Editor - Neuro-Oncology Advances
29 days
This new study supports the hypothesis that a significant imbalance between excitatory and inhibitory #neurotransmitters (ie, elevated Glx/GABA ratios) in the peritumoral tissue of patients with #IDHMutant #glioma is associated with seizure activity. https://t.co/tDMQux53GI
0
2
7
@EditorNeuro
Editor - Neuro-Oncology Advances
1 month
In case you missed it, our new supplement ‘Abstracts from @SNOSSA1 2025: Innovation in #NeuroOncology Care in Sub-Saharan Africa’ is now available! https://t.co/j2ClCns1ZK
0
2
5
@EditorNeuro
Editor - Neuro-Oncology Advances
1 month
Emerging evidence suggests that #cognitive dysfunction may result from damage to the brain’s functional network. This study explores the dose-dependent susceptibility of functional hubs to #radiotherapy and associations with cognitive outcomes. https://t.co/no7SzO7jfm
0
0
3
@EditorNeuro
Editor - Neuro-Oncology Advances
1 month
Our new supplement, Abstracts from #SNOSSA 2025: #Innovation in #NeuroOncology Care in #SubSaharanAfrica, is now available! https://t.co/j2ClCns1ZK
0
0
3
@EditorNeuro
Editor - Neuro-Oncology Advances
1 month
Read more about this first-in-human study evaluated EGFRvIII × CD3 TCB, a novel T cell bispecific antibody, in patients with newly diagnosed EGFRvIII-positive glioblastoma: https://t.co/NjJz39QrQU
0
0
3
@EditorNeuro
Editor - Neuro-Oncology Advances
1 month
Accurate prognosis of #glioblastoma is crucial for better-informed treatment decisions, potentially leading to improved disease management. This study investigated whether clinical variables, tumor size, and location, can serve as prognostic factors. https://t.co/rvf70qnbY0
0
0
4
@EditorNeuro
Editor - Neuro-Oncology Advances
2 months
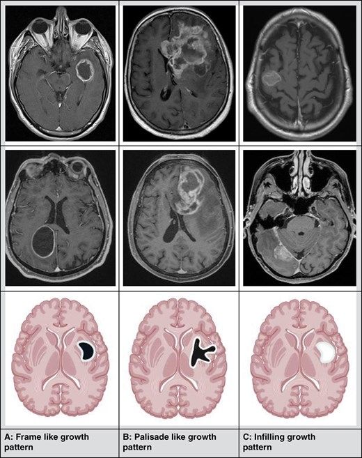
Our recent article “#MRI-defined patterns of infiltration and outcome in patients with #glioblastoma” shows a possible correlation of MRI-based infiltration patterns and survival in patients with glioblastoma. Read full article here: https://t.co/M8imAYV8aM
0
0
3