EHJCVIEiC Profile Banner
EHJCVI Editor-in-Chief Profile
EHJCVI Editor-in-Chief

@EHJCVIEiC

Followers
2K
Following
444
Media
393
Statuses
834

European Heart Journal - Cardiovascular Imaging Editor-in-Chief X account. Posts by Prof. Bernhard Gerber & his team. #EHJCVI #EACVI #cvimaging #cardiacimaging

Joined April 2013
Don't wanna be here? Send us removal request.
@EHJCVIEiC
EHJCVI Editor-in-Chief
7 months
πŸš€ Want to stay updated with the latest from #EHJCVI and #EHJIMP? πŸ“· Follow our amazing Social Media Editors! πŸ“·@EHJCVIEiC & @EHJIMPEiC, our Editors-in-Chief bringing the latest to your feed!
0
9
35
@EHJCVIEiC
EHJCVI Editor-in-Chief
2 days
#EHJCVI 🧬 Should Lp(a) be considered a biomarker of bioprosthetic valve vulnerability? Elevated Lp(a) emerges as an independent predictor of structural valve degeneration, particularly in stenotic/mixed phenotypes πŸ«€πŸ” πŸ‘‰ Read more: https://t.co/FrKIN17tdD
0
15
25
@MSBBrandao
Mariana BrandΓ£o
5 days
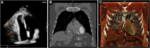
πŸ“’ New Image Focus #EHJCVI A rare incidental finding of liver herniation into the pericardium πŸ«€ https://t.co/T4EC4aP2dG Very proud of this young promising CV imager @inesmarodriguesπŸ‘ΈπŸ» who I was happy to mentor in her first #echofirst πŸ‘£πŸ‘£ #EACVI #HIT @EHJCVIEiC @EACVIPresident
0
9
26
@ESC_Journals
European Society of Cardiology Journals
5 days
#EHJCVI How useful is EAT quantification for risk stratification in asymptomatic pts? πŸ” An opportunistic strategy during lung cancer screening shows that:πŸ“‰ 2-year EAT changes are more strongly associated with all-cause mortality in women ❀️‍πŸ”₯ And only linked to CV mortality in
1
15
38
@EHJCVIEiC
EHJCVI Editor-in-Chief
6 days
#EHJCVI 🌑️ What is the link between stress and PCAT attenuation? ↑ Attenuation is associated with ↑ IL-6, ↑ TNF-Ξ±, and ↑ plaque volume, though not with vulnerable plaque features or coronary stenosis. Chronic stress may shape these relationshipsπŸ«€ πŸ‘‰ https://t.co/t7hqoQMMOC
0
6
13
@EHJCVIEiC
EHJCVI Editor-in-Chief
6 days
#EHJCVI πŸ«€ Can CMR help detect cardiac allograft vasculopathy? Myocardial perfusion reserve offers high sensitivity and a high negative predictive value, with a suggested cut-off of 2.2 for ruling out disease πŸ” πŸ‘‰ Read more: https://t.co/gtlTR9oZSz #whyCMR
0
9
26
@EHJCVIEiC
EHJCVI Editor-in-Chief
8 days
#EHJCVI πŸ«€ What are the effects of disopyramide and mavacamten on myocardial mechanics? Only mavacamten reduced LV mechanical dispersion and GWW, while improving GWE in obstructive HCM. LVMD <72 ms at follow-up is useful to predict VT or SCA ⚑ https://t.co/Xy2MBUE8gV
0
15
46
@kovatti87
Attila KovΓ‘cs MD, PhD
8 days
We introduced RV hemisphericity and hemiconicity to capture global RV shape. HFrEF & A-STR show a more spherical RV, while PH & TOF show a more conical. In A-STR, greater conicity predicts worse outcomes. https://t.co/GzOr65p4uF @denisamuraru @lpbadano @JSlivnickMD @EHJCVIEiC
Tweet card summary image
academic.oup.com
AbstractAims. While pre-defined reference shapes have been used to assess morphological changes in the left ventricle, standardized methods for evaluating
0
5
12
@EHJCVIEiC
EHJCVI Editor-in-Chief
8 days
#EHJCVI πŸ«€ What is the prognostic value of RVol/LAV in ventricular functional MR undergoing M-TEER? Lower RVol/LAV is linked to a higher risk of heart failure hospitalization (HR 1.25) and serves as an independent predictor πŸ“Šβš οΈ πŸ‘‰ Read more: https://t.co/nIK4pBUPzn #CVImaging
0
9
26
@EHJCVIEiC
EHJCVI Editor-in-Chief
9 days
#EHJCVI 🩻 What predicts persistent LAA patency after closure on CCTA? πŸ’‘ At 45 days, having two factors: side-gap leak prox area >37.7 mmΒ², radial diameter >3 mm, or angle >39.4Β° β€” predicted persistence with 94% sens and 70% spec πŸ«€ πŸ‘‰ Read more: https://t.co/FfTktjQU4O
0
9
17
@EHJCVIEiC
EHJCVI Editor-in-Chief
11 days
#EHJCVI πŸ€– Can #whyCMR improve prognostic assessment in AL cardiac amyloidosis? DL analysis of LGE distinguishes patients within the same Mayo stage but with different outcomes, capturing prognostic features beyond amyloid-affected areas πŸ«€βœ¨ πŸ‘‰ Read more: https://t.co/MbWkHxTucO
0
8
20
@EHJCVIEiC
EHJCVI Editor-in-Chief
12 days
#EHJCVI πŸƒβ€β™‚οΈ Dilated athlete’s heart or mild dilated cardiomyopathy? CMR reveals that septal fibrosis is rare in athletes, who show lower native T1 and ECV, but higher RVEDVi and MBP, with an AUC β‰ˆ 0.85 for ECV πŸ«€πŸ“Š πŸ‘‰ Read more: https://t.co/xXHwfAp7gT #CVImaging #whyCMR
0
25
51
@ESC_Journals
European Society of Cardiology Journals
12 days
New EACVI consensus on multimodality imaging in hypertrophic cardiomyopathy! Discover insights on sex differences, athlete’s heart, pregnancy phenotype, and key imaging recommendations across modalities πŸ§ πŸ‘‰ https://t.co/HzsFC0DbHu #EHJCVI @EACVIPresident #CVImaging #EchoFirst
0
60
128
@EHJCVIEiC
EHJCVI Editor-in-Chief
13 days
#EHJCVI πŸ«€ How does thin-cap fibroatheroma affect non-culprit lesions? Patients with DM show more of these plaques and face higher risks of NCL-MACE after AMI, but long-term prognosis worsens in both DM and non-DM patients βš οΈπŸ” πŸ‘‰ Read more: https://t.co/kQ6JbFMrYK #CVImaging
0
6
10
@EHJCVIEiC
EHJCVI Editor-in-Chief
14 days
#EHJCVI πŸ«€ Long-axis shortening or GLS in CMR? A UK Biobank study shows that longitudinal shortening provides a similar predictive value for cardiovascular outcomes, with a hazard ratio of 0.78 for incident heart failure πŸ“ŠπŸ’‘ πŸ‘‰ Read more: https://t.co/3ODv94xVBS #whyCMR
0
11
24
@EHJCVIEiC
EHJCVI Editor-in-Chief
15 days
#EHJCVI πŸ“ˆ What is the impact of long-term adiposity in early adulthood? Higher body roundness index is associated with a greater risk of coronary artery calcium over 25 years (OR 2.59) and increased all-cause mortality πŸ«€βš οΈ Read more πŸ‘‰ https://t.co/PieRgoViU6 #CVImaging
0
13
30
@EHJCVIEiC
EHJCVI Editor-in-Chief
16 days
#EHJCVI πŸ«€ What are the differences between current diastolic dysfunction guidelines? πŸ“– This editorial by @jgrapsa, @argulian, @OttoSmiseth reviews key differences and their impact πŸ‘‰ Read more: https://t.co/Fqtga2S94w #EchoFirst #CVImaging #Echocardiography
2
41
117
@EHJCVIEiC
EHJCVI Editor-in-Chief
17 days
#EHJCVI When should we use #EchoFirst in cardiovascular emergencies and critical care? The new EACVI–ACVC consensus highlights its key role in cardiogenic shock, AMI, ADHF, and more πŸš¨πŸ«€πŸ“˜ πŸ‘‰ Read more: https://t.co/vdLetdKIpX @EACVIPresident @ACVCPresident
1
17
29
@BenekiEirini
Eirini Beneki
20 days
#EHJCVI πŸ«€ Is stage 3–4 #CardiacDamage an independent #Prognostic factor for patients undergoing #TAVI? πŸ” Discover the findings and clinical implications in the full article by Carter-Storch et al.: https://t.co/GpkHPUby2C @JGrapsa @EHJCVIEiC @alessia_gimelli @pabloplopez_
1
4
7
@echo_stepbystep
Vladyslav Kavalerchyk πŸ‡ΊπŸ‡¦
21 days
Congenital left pericardial agenesis with pulmonary vein stenosis: multimodality imaging insights by @EHJCVIEiC πŸ‘‰ https://t.co/WEiXN31xdu 39M with chest pain. CT: absent left pericardium β†’ LV shift & L inf. PV stenosis (β€œSnoopy Nose Sign”). Conservative care; well at 3 mo.
0
2
5
@AnnaKateBarton
Anna Kate Barton
25 days
Just published in @EHJCVIEiC: in this large cohort of HCM patients, borderzone late gadolinium enhancement was strongly associated with incident ventricular arrhythmia βš‘οΈπŸ«€πŸ§² @pabloplopez_ @EHJIMPEiC @EACVIPresident @hvanspall @DrGEMandoli @BenekiEirini https://t.co/it3Vpg3AwD
Tweet card summary image
academic.oup.com
AbstractAims. Myocardial scarring assessed by late gadolinium enhancement cardiac magnetic resonance (LGE-CMR) predicts sudden cardiac death (SCD) in hyper
0
9
18