DeeloOfficial Profile Banner
Deelo Profile
Deelo

@DeeloOfficial

Followers
1K
Following
16K
Media
304
Statuses
33K

Don’t Be Good, Be Great | Culer | Clinical Sonographer.

England, United Kingdom
Joined March 2011
Don't wanna be here? Send us removal request.
@KatieMiller
Katie Miller
18 hours
Feminism was funded to dismantle the family, not to liberate women.
@clareanneath
Clare Anne Ath
4 days
What opinion about feminism will have you like this?
2K
10K
52K
@PoojaMedia
POOJA!!!
11 hours
As a man, I pray bills doesn't k!ll us 😭
367
696
4K
@DeeloOfficial
Deelo
10 hours
Patiently waiting for tomorrow’s. 🤲🏾
0
0
0
@fwdaniels
𝔻𝕒𝕟.
24 hours
never sleep with a married woman never sleep with your coworkers never sleep with your friend's ex never sleep with a single mum. never sleep with your brother's girlfriend never sleep with a woman older than you. never sleep with a woman you don't trust.
@gib_smoke
a meek thug
1 day
bro to bro:
2K
2K
11K
@kwaneIe_
bonita bandida
2 days
there’s an iPhone storage crisis.
320
10K
62K
@K3N3_X
Ken
3 days
*Afcon
@realmadrid
Real Madrid C.F.
3 days
🇲🇦 2-0 🇰🇲 ⚽ @Brahim 🏆 Copa África
139
4K
31K
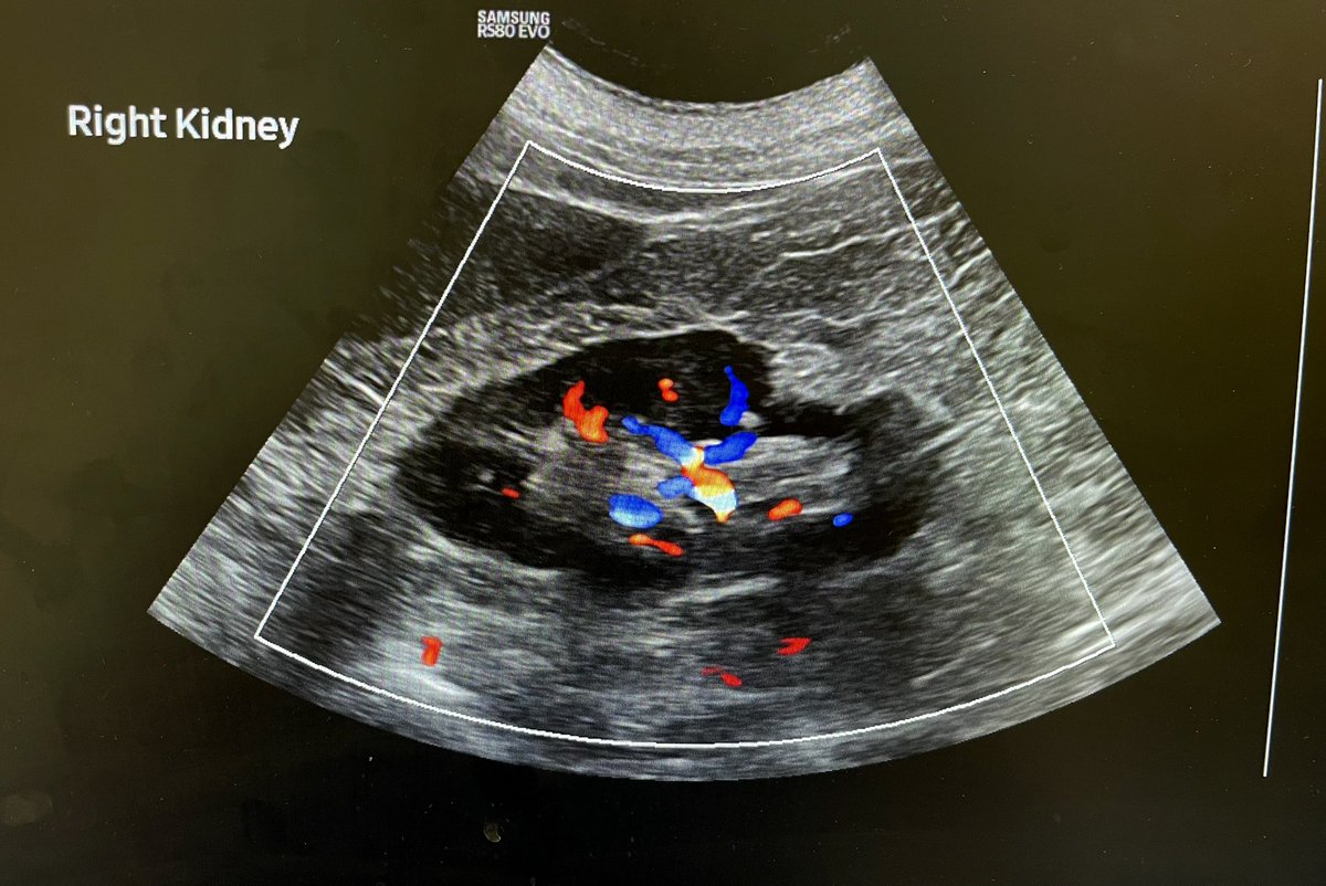
@DeeloOfficial
Deelo
2 days
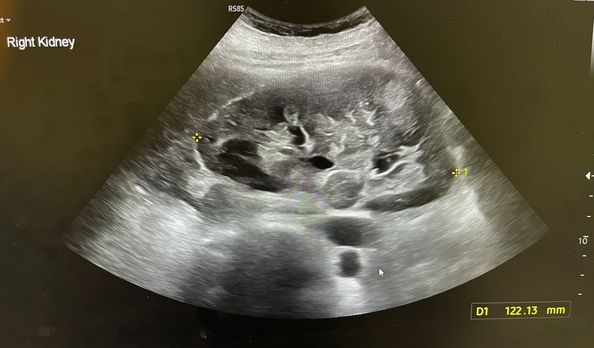
54F with right flank pain and haematuria. Solid heterogeneous right renal mass with vascularity. ? Renal cell carcinoma. @Rad_Munagi @AjuboDaso
5
9
33
@john322226
lobistars
2 days
33 years old you was going around 36 states to beg Davido for a verse. What kinda fooling is more funnier than that?
@iamnasboi
NASIRU
3 days
If you’re 30 and above and you still Be doing 30bg vs Fc Messi and Ronaldo! You’re really funny….
390
2K
11K
@DeeloOfficial
Deelo
2 days
Omo
@dammiedammie35
Oyindamola🙄
3 days
“Remember the testimony of a sister who had br£ast cancer, they took her to UCH, by the time the friend got to her, they had already cut off the br£ast and then she took one of the handkerchief we prayed over, laid it on the breast and a new breast grew back” - Pastor
0
0
1
@DeeloOfficial
Deelo
2 days
Gall stone. GB adenomyomatosis, Hepatic steatosis. @Rad_Munagi
4
7
26
@DeeloOfficial
Deelo
2 days
Gallbladder polyp, dilated CBD, diffuse heterogenous spleen appearance. Any differentials on the spleen? @Rad_Munagi @Chinons14125586 @ChroRadGirlie @EdokiTheophilu2 @AjuboDaso @UnegbuVivi27491
6
4
15
@DeeloOfficial
Deelo
2 days
The Egyptian King.
0
0
3
@DeeloOfficial
Deelo
2 days
Wahala
@DAMIADENUGA
Dami’ Adenuga
3 days
Hnmmmm
0
0
0
@DeeloOfficial
Deelo
2 days
Omo
@PoojaMedia
POOJA!!!
3 days
AFCON 🤣🤣 Patson Daka scored, attempted a back flip & broke his neck. Wahala.
0
0
1
@DeeloOfficial
Deelo
2 days
What sort of commentary is this? Are they supporting South Africa?.
1
0
1
@DeeloOfficial
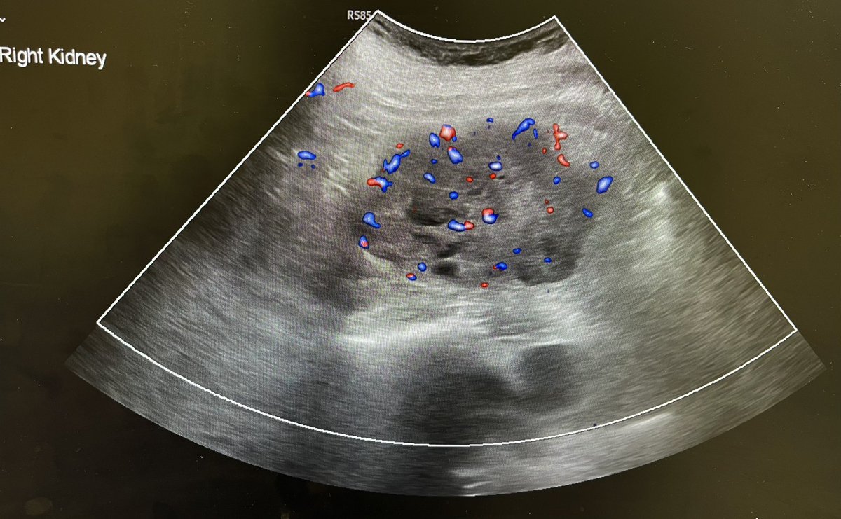
Deelo
3 days
Cortical scarring. @Rad_Munagi
3
1
40
@DeeloOfficial
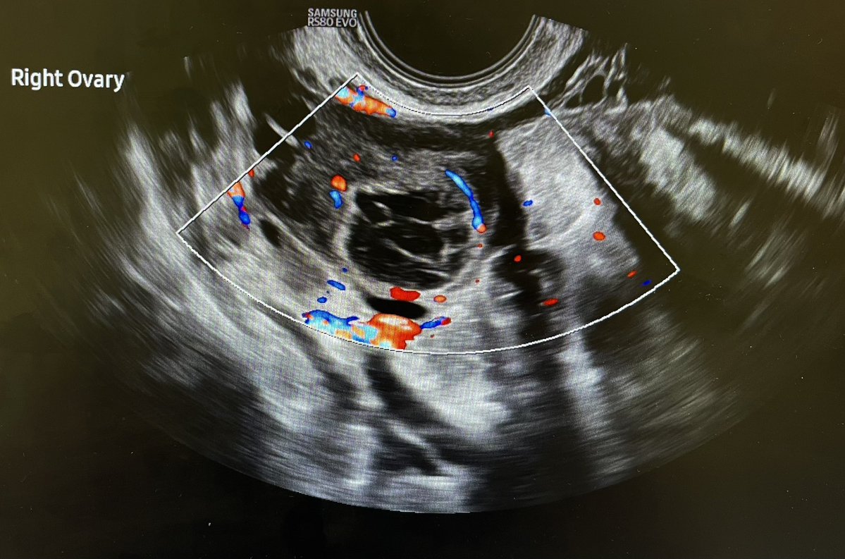
Deelo
3 days
Corpus luteum cysts are physiological. Normal variants. Repeat scans are not required. @Rad_Munagi
2
3
26
@DeeloOfficial
Deelo
3 days
Blessed week. 🙏🏻
1
0
3
@DeeloOfficial
Deelo
3 days
Loses games like nothing unusual.
@UtdXclusive
UtdXclusive
3 days
🚨🗣️ Ruben Amorim: "We're going to suffer with all these absences, but we're going to try to find solutions to win."
0
0
1
@DeeloOfficial
Deelo
3 days
Morocco can host the FIFA World Cup.
0
0
0