DavidRGhasemi1 Profile Banner
David R. Ghasemi Profile
David R. Ghasemi

@DavidRGhasemi1

Followers
637
Following
14K
Media
44
Statuses
2K

Paediatric resident @UKEHamburg, scientist @UKEHamburg / @KiTZ_HD. Paediatric #oncology, #genetics. Opinions are mine only. #FollowTheScience

Hamburg, Germany
Joined October 2020
Don't wanna be here? Send us removal request.
@DavidRGhasemi1
David R. Ghasemi
3 months
Our study presenting the results of the E-HIT2000 trial and a new clinical-molecular stratification model for paediatric #ependymoma is finally online in @NeuroOnc! 🎉 1/3 https://t.co/HvntlzFCg1
Tweet card summary image
academic.oup.com
AbstractBackground. Current treatment strategies for pediatric intracranial ependymoma do not consider molecular heterogeneity. Here, we evaluated molecula
1
0
1
@DavidRGhasemi1
David R. Ghasemi
3 months
I want to thank my co-first authors Katja von Hoff and Denise Obrecht-Sturm, the supervisors of this study, Kristian Pajtler and Stefan Rutkowski, and of course all other co-authors and especially our patients and their families. There is still a lot of work ahead of us! 3/3
0
0
0
@DavidRGhasemi1
David R. Ghasemi
3 months
By incorporating molecular and clinical risk factors into one stratification model, we anticipate that our work will help to design the next generation of ependymoma trials. This was a complex and long-lasting, but also very rewarding project. 2/3
1
0
0
@DavidRGhasemi1
David R. Ghasemi
9 months
The ITCC Scientific Days in Newcastle have been a great meeting - thank you to the organisers! It was a pleasure to contribute to the excellent programme by presening our latest approach to #ependymoma stratification! #neurooncology #cancer
1
0
7
@DrNeilStone
Neil Stone
9 months
Survival rates for childhood leukaemia over the last decades Staggering progress Science did this Not wellness. Not functional medicine. Not neutraceuticals. Not ivermectin. Science.
65
650
3K
@SinaNeyazi
Sina Neyazi
9 months
Thrilled to share our work @FilbinMariella, @GojoJohannes, and @CarlKoschmann, now published in @Cancer_Cell. We present a translational approach identifying the PDGFRA inhibitor avapritinib as a novel targeted treatment for pHGG with PDGFRA alterations.
Tweet card summary image
cell.com
PDGFRA is commonly altered in pediatric HGG. Mayr et al. report that the PDGFRA/KIT inhibitor avapritinib demonstrates on-target activity, brain penetrance, and survival benefit in pre-clinical...
11
19
68
@DrNeilStone
Neil Stone
10 months
One tiny, scientifically pathetic, and downright fraudulent and retracted paper claiming MMR vaccine is linked to autism. 25 large studies looking at MILLIONS of kids showing no link at all. But sure go ahead and waste millions of dollars of taxpayers money to study it again.
176
1K
5K
@DrNeilStone
Neil Stone
10 months
Pharmacies in Texas running out of MMR vaccine as the measles outbreak spreads at pace. Good that people realise that vaccination is the right thing to do. Pity it took an outbreak for many to wake up to this though and supplies are now under strain.
54
240
1K
@BrainPrize
The Brain Prize
10 months
Congratulations to winners of The Brain Prize 2025! Professors @michelle_monje, @StanfordMed and @HHMINEWS Investigator, and Frank Winkler, Heidelberg University Hospital, have pioneered the field of Cancer Neuroscience. They have revealed a profound connection between cancer and
17
115
404
@MammaMiaMagazin
Eva Schumacher-Wulf
10 months
Ich freue mich, dass überprüft wird, ob @correctiv_org zurecht Steuergelder erhält. Es ist fast 10 Jahre her, dass sie mich in einen Feldzug gegen die #Pharmaindustrie hineingezogen und verleumdet haben. Vergessen ist es nicht. Auf eine Entschuldigung warte ich noch. #Correctiv
0
3
9
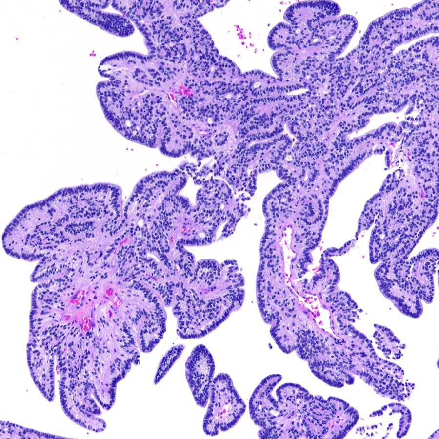
@CraigHorbinski
Craig Horbinski
10 months
Some ependymomas can really look papillary, like a choroid plexus papilloma. But if you look carefully, you'll see glial processes running from the tumor cells down to the vessels. #pathology #neuropath #pathtwitter
1
33
117
@simonmaechling
Simon Maechling
10 months
The best things in life aren't natural: 🔬 Saved millions: 💉Vaccines. 💊Antibiotics. 🏥Anesthesia. 🥛Pasteurization. 📱 Connected the world: ☎ Phones. 🛰 Internet. 💻Computers. 🚰 Built modern civilization: 🏢Concrete. ⚡Electricity. 🚰Clean water. 🚽Sewage systems.
7
24
124
@DavidRGhasemi1
David R. Ghasemi
10 months
Needless to say that we have our own problems with anti-science activism regarding vaccinations in Germany. It seems that the old horrors of hospitals full of terribly sick children suffering from diseases like Measles, Polio, Diphtheria, Haemophilus-sepsis have been forgotten...
0
1
1
@DavidRGhasemi1
David R. Ghasemi
10 months
At least my American colleagues will have new publishing opportunities - I guess that single cell studies on #Polio infections or the spatial architecture of #Diphtheria will at least go into peer review at Nature/Cell/Science! #Kennedy #vaccinations
@RichardDawkins
Richard Dawkins
10 months
America’s elected senators have demonstrated their ignorant contempt for science by confirming an anti-vaccination loonie as Health Secretary.
1
1
1
@DavidRGhasemi1
David R. Ghasemi
11 months
Great to see this paper on naturally T cell antigens in #medulloblastoma online! Congratulations to all authors - I'm happy that I was able to contribute a little bit! https://t.co/vBPI4k1JsB
nature.com
Nature Communications - Medulloblastoma in children is a difficult cancer to treat and the immune response to this tumour is not fully understood. Here the authors characterise and validate T cell...
0
1
1
@JhKmann
Jan-Henning Klusmann
11 months
Join us at the 36th #GPOH #KindPhilipp2025 (June 4–7, 2025) in #Wilsede, Germany! Explore cutting-edge #PediatricOncology & #Hematology with top keynote spekeaker @SteidlUli, @ulrichschueller, @K_Imkeller and the Kind-Philipp-Presentation Award. Register: https://t.co/TKcM0LGidZ
1
9
19
@aipulserx
DailyHealthcareAI
11 months
Can spatial transcriptomics and deep learning accurately classify brain tumor types while requiring minimal tissue samples?@sahm_lab @NatureCancer "Spatially resolved transcriptomics and graph-based deep learning improve accuracy of routine CNS tumor diagnostics" • The
0
2
6
@DrNeilStone
Neil Stone
11 months
We didn't get to organ transplantation, MRI scans, cardiac stents, insulin treatment, or vaccines by homeopathy or functional medicine. It was science.
101
602
4K
@DavidRGhasemi1
David R. Ghasemi
11 months
@Die_Gruenen Keine der reißerischen Warnungen vor der unkontrollierbaren, ach so gefährlichen Biotechnologie hat sich bewahrheitet. Heute haben wir dutzende gentechnisch angepasste Insulin-Derivate - zum Segen von Millionen #Diabetes-Patienten.
0
1
18
@DavidRGhasemi1
David R. Ghasemi
11 months
@Die_Gruenen Wir hätten Weltmarktführer sein können (s. Firma Hoechst), dank der Ängstlichkeit und Bürokratieverliebtheit der deutschen Behörden und insb. der politischen Ökobubble sind wir mittlerweile höchstens noch Mitläufer. #Gentechnik #Innovation
2
1
20