DavidCabrera88 Profile Banner
José David Cabrera Ledesma Profile
José David Cabrera Ledesma

@DavidCabrera88

Followers
260
Following
577
Media
71
Statuses
293

Urology-Endourology. Hospital Universitario del Río. Cuenca-Ecuador 🇪🇨

Cuenca, Ecuador
Joined April 2011
Don't wanna be here? Send us removal request.
@DavidCabrera88
José David Cabrera Ledesma
11 months
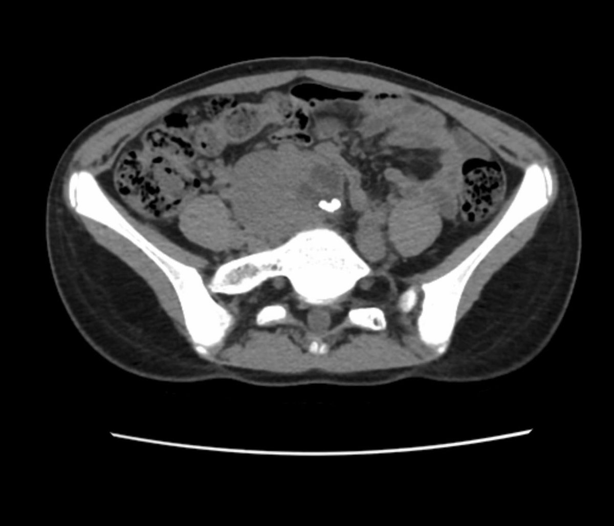
21 yo woman, with chronic right flank pain. https://t.co/T2Kqkn5Lul vía @YouTube
0
0
0
@GuidoGiusti
Guido Giusti
1 year
I think that also the more aggressive critics of #PCNL would agree that in case of such a soft stone there is no room for flexible #URS! Risk of #urosepsis is to high! thanks to @scaliaric for editing in real Time this footage #ETCE
4
5
53
@DavidCabrera88
José David Cabrera Ledesma
1 year
0
0
3
@urobraulio
MD Braulio O. Manzo
2 years
To be honored with the Best Moderated Poster 🥇 in #Stone Surgical Treatment at the #AUA24, #AUA2024 congress supported by the @AmerUrologica Thanks to the hard work of the Mexican Endourology Fellowship in Leon, GTO, for many years. Now internationally endorsed by the
6
4
66
@migokce
Mehmet Ilker Gökce
2 years
3
6
31
@OTRAXER
Olivier Traxer
3 years
BN105:Today with HighPowerLaser(HoYAG 100-150W&TFL60W)we face more&more UreteralLesion(Stenosis!) Our responsibility as KOL-Experts&LaserCompany is to RECOMMEND“SAFE SETTINGS” forPatient&not“OptimalOnes”for max.EFFICIENCY.Please pay attention toURETER.Use LowPower&LowFrequency🙏
11
116
364
@MSGONZALEZURO
Mariano Sebastian Gonzalez
2 years
Excelente Mini-ECIRS by @dperfen y @DavidCabrera88 durante el XXIII Curso Internacional de Urologia 2023. #SociedadEcuatorianaUrologia
1
3
22
@urobraulio
MD Braulio O. Manzo
2 years
A huge privilege to be in two different countries a sharing our experience in #endourology. I appreciate the kind invitation of the #Sociedadecuatorianadeurologia & @DavidCabrera88 for the invitation to Ecuador XXIII meeting. 🇪🇨 Also to @2fabiosepulveda for his hospitality and
2
1
20
@EndouroPaco
Dr. Francisco Gómez Regalado
3 years
0
2
16
@DavidCabrera88
José David Cabrera Ledesma
3 years
Retrograde pyelography!!
0
0
2
@DavidCabrera88
José David Cabrera Ledesma
3 years
Her ureteroscopy!!
1
0
2
@DavidCabrera88
José David Cabrera Ledesma
3 years
Thank to all of you 4 comments. We performed a Mini L(15/16F)-SBES in this case with @urobraulio who was visiting Cuenca. I share with you some videos. It was very nice case.
0
0
5
@DavidCabrera88
José David Cabrera Ledesma
3 years
32 years old female with what do you do? ⁦⁦@urobraulio⁩ ⁦@urojavo@alexfige86 @EndouroPaco ⁦⁦@cescernesto@YONATHA28471147@CAU_URO⁩ ⁦@JulianUro
14
2
20
@DavidCabrera88
José David Cabrera Ledesma
3 years
30yo fem with 1 month left flank pain. No stones ⁦!! @urobraulio⁩ ⁦@cescernesto⁩ ⁦??
2
0
5
@DavidCabrera88
José David Cabrera Ledesma
3 years
0
0
1
@DavidCabrera88
José David Cabrera Ledesma
3 years
#DTPA scan
1
0
1
@DavidCabrera88
José David Cabrera Ledesma
3 years
24 years old male with left chronic flank pain, Next step for you? @urobraulio @urojavo @alexfige86 @EndouroPaco @cescernesto @YONATHA28471147 #urology #UroSoMe #uro
1
0
3
@DavidCabrera88
José David Cabrera Ledesma
4 years
27 years old asymptomatic female. CT: 5x4cm right renal mass. Treatment? @AmerUrological @Uroweb @CAU_URO
1
0
0