Francisco Torres Saura Profile
Francisco Torres Saura

@CurroTSaura

Followers
67
Following
16
Media
0
Statuses
14

Cardiologo intervencionista

Joined November 2021
Don't wanna be here? Send us removal request.
@icsMillan
Xavier Millán
4 years
Do not miss an ICE-guided LAAO with Drs. De Backer and Vejlstrup at @HospitalSantPau! On thursday 31st at #CSCEstructural2022 @RodrigoEstvez1 @BeatrizVaqueri3 @pabl0salinas @44_ferreiro @CurroTSaura @StructuralBCN @CHPedroLi @AsmaratsL @stamdos
1
17
45
@GVAdsTorrevieja
Departamento de Salud de Torrevieja
4 years
Hoy, en @telfy_ES Beatriz Díez, Coordinadora de #Nefrología ✍️ 🩺 "La enfermedad renal crónica es una epidemia silenciosa, su detección precoz mejora con cribados en análisis de sangre" 👉 Detección precoz + hábitos saludables 🍏 @FNALCER #worldkidneyday2022 @GVAsanitat
1
4
15
@RevEspCardiol
REC Publications
4 years
Design and interim results of a registry of left atrial appendage occlusion with the Watchman device in patients on hemodialysis: EPIC06-WATCH-HD #REC #Cardiotwitter @TdBenito @CurroTSaura @icruzgonzalez @foroic
0
3
2
@JorgeGCriado1
Jorge_G_Criado
4 years
Ver cómo se le rompe la voz a @millanjav recordando los momentos más duros de la pandemia da una idea de lo que hemos pasado en la primera línea. Por favor, precaución. https://t.co/OmKYMka4m5
17
231
617
@foroic
ArmandoPérez dePrado
4 years
Great initiative. Joining individual experiences to build the knowledge
@DFCapodanno
Davide Capodanno
4 years
Peri-device leakage is a common phenomenon after left atrial appendage occlusion with a controversial impact on outcomes. In some cases, percutaneous peri-device leakage closure is used to enhance sealing after insufficient left atrial appendage occlusion. https://t.co/PytrgL5gEu
0
2
6
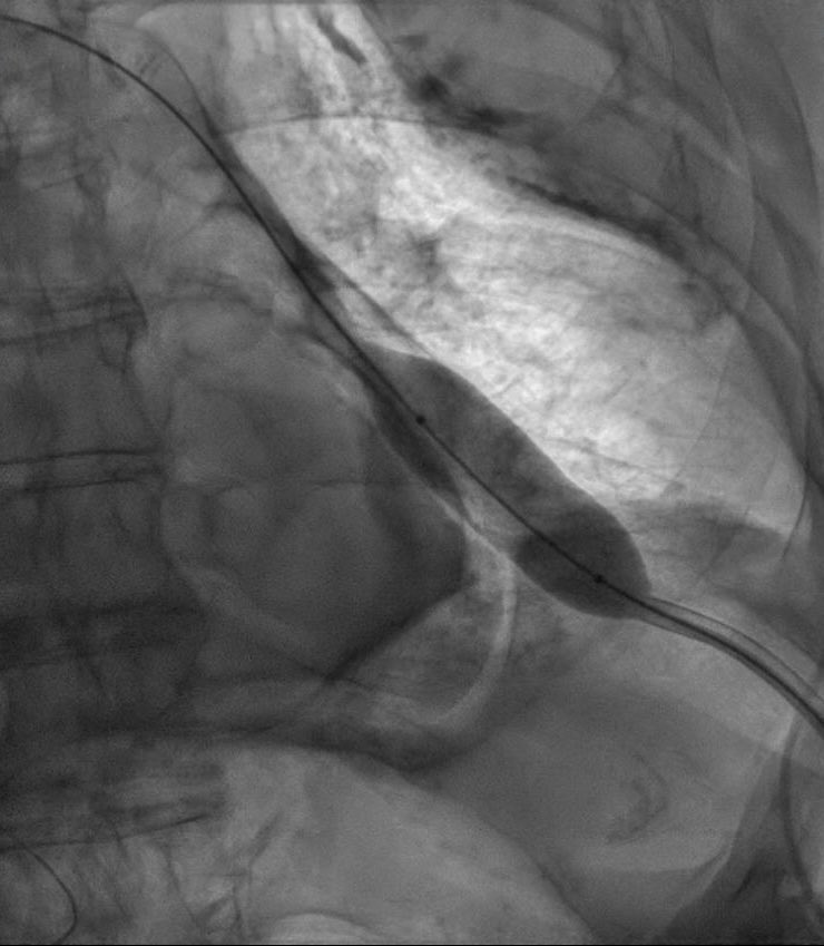
@Hemotorrevieja
Hemodinamica Torrevieja
4 years
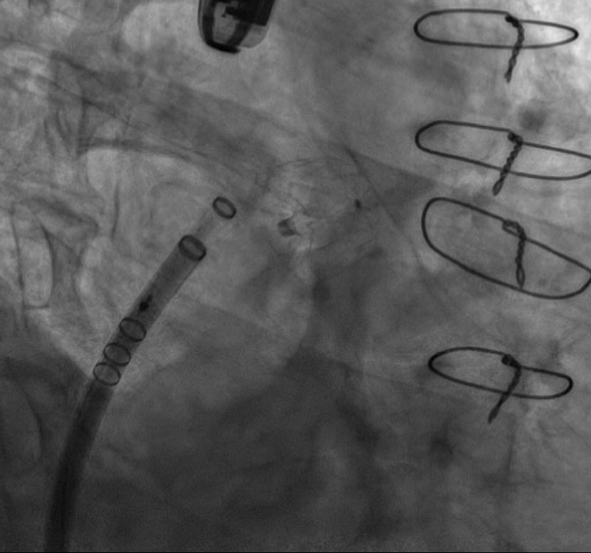
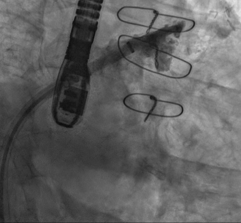
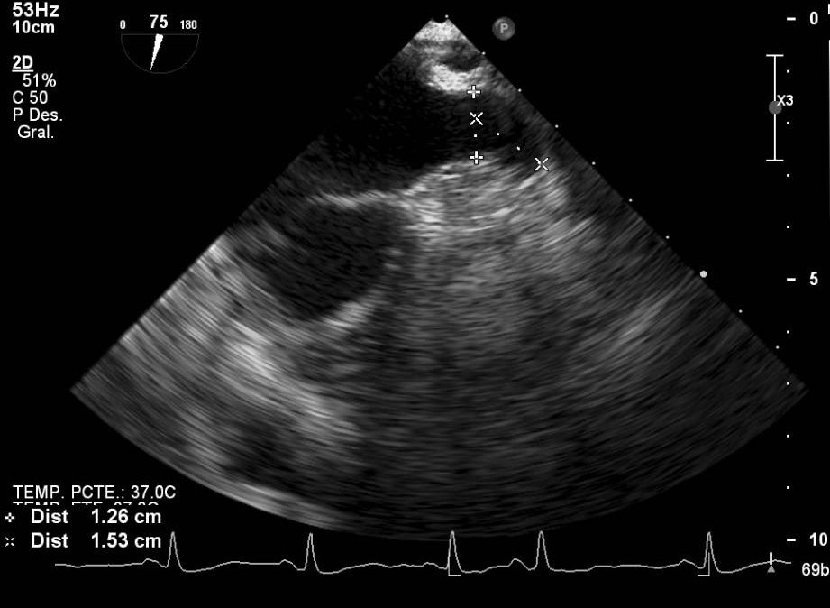
La versatilidad del dispositivo Watchman FLX permite cerrar orejuelas complejas como esta. Su pequeño tamaño supuso un reto pero finalmente conseguimos ocluirla con éxito. @GVAdsTorrevieja @CenturyRaul @bostonsci
0
11
19
@Hemotorrevieja
Hemodinamica Torrevieja
4 years
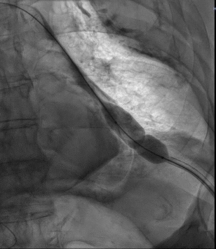
La pericardiotomia con balón es una alternativa a la ventana pericárdica quirúrgica en pacientes con derrame recidivante.
1
11
43