Cosmina Gingaras MD, MPH
@CosEpiID
Followers
263
Following
4K
Media
9
Statuses
784
Epidemiologist & ID Consultant. Trained at Baylor College of Medicine, UT Health Science Center & Carol Davila U of Medicine
Romania
Joined July 2015
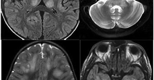
Unusual schistosomiasis presentation and challenges in non-endemic regions @DrEMCollins @OUPAcademic @OxfordMedSci @OxUniPress @OxfordJournals #pediatrics #Schistosoma #schistosomiasis
academic.oup.com
Summary. This case highlights the importance of identifying an atypical presentation of early chronic schistosomiasis, which challenges classical clinical
0
1
1
Prevalence of histoplasmosis in Nigerian children with presumptive tuberculosis: a multicentre study comparing two diagnostic techniques https://t.co/qJy0gg4nBC
@DrEMCollins @OUPAcademic @OxfordMedSci @OxUniPress @OxfordJournals #Histoplasma #PedsID #pediatrics
academic.oup.com
Abstract. Data from studies conducted on histoplasmosis in Nigeria are mostly from the adult age group with sparse information about its occurrence in our
0
1
1
burden of musculoskeletal symptoms in caregivers of children with congenital #Zika syndrome: a cross-sectional study @DrEMCollins @OUPAcademic @OxfordMedSci @OxUniPress @OxfordJournals #PedsID #pediatrics
academic.oup.com
Abstract. The continuous daily care required by children with congenital Zika syndrome (CZS) may overload the lives of caregivers. However, little is known
0
1
1
Can severe repeated hypoglycemia be a side effect of Vedolizumab for the treatment of ulcerative colitis in an elderly patient? #ulcerativecolitis #vedolizumab
0
0
0
Comparison of Xpert® MTB/RIF and Xpert® MTB/RIF Ultra in pediatric pulmonary #tuberculosis diagnosis #PedsID #Pediatrics @DrEMCollins @OUPAcademic @OUPMedicine @OxfordMedSci @OxUniPress @OxfordJournals
academic.oup.com
Abstract. The World Health Organization (WHO) recommends Xpert® MTB/RIF (Xpert) and its advanced version, Xpert® MTB/RIF Ultra (Xpert Ultra), as first-line
0
1
1
Seroprotection against #hepatitis B, #measles, #mumps, and #rubella in children with diabetes @DrEMCollins @OUPAcademic @OUPMedicine @OxfordMedSci @OxUniPress @OxfordJournals #vaccineswork #pedsID #Pediatrics #diabetes
academic.oup.com
Abstract. Vaccine-preventable diseases (VPD) account for a major proportion of childhood morbidity and mortality in developing countries. This study aimed
0
1
1
Characteristics of patients with disseminated Bacillus Calmette–Guérin infection: a retrospective study at Namazi Hospital, Southern Iran, from 1991 to 2022 @DrEMCollins @OUPAcademic @OUPMedicine @OxfordMedSci @OxUniPress @OxfordJournals #BCG #vaccines
academic.oup.com
Abstract. Bacillus Calmette–Guérin (BCG) vaccine has an acceptable safety record; however, the vaccination can be accompanied by a variety of complications
0
2
2
Distinguishing the overlapping features of severe multi-inflammatory syndrome in children from severe dengue, scrub typhus and other endemic tropical infections—a comparative study from a tertiary care pediatric intensive care unit
academic.oup.com
Abstract. Early differentiation between severe multi-inflammatory syndrome in children (MIS-C) and severe presentations of dengue, scrub typhus, and other
2
2
3
High prevalence of antimicrobial resistance to initial empirical antibiotic therapy in neonatal sepsis in Bengaluru, India—a multicentre study @DrEMCollins @OUPAcademic @OUPMedicine @OxfordMedSci @OxUniPress @OxfordJournals #AMR #sepsis #NICU #PedsID
academic.oup.com
Abstract. Data about epidemiologic and microbiologic patterns of neonatal sepsis in specific regions of low- and middle-income countries can help improve m
0
3
3
Neural tube defects: stigma, costs, global health implications, and a call for increased education and research about a preventable birth defect #Neurology #Paediatrics
@DrEMCollins @OUPAcademic @OUPMedicine @OxfordMedSci @OxUniPress @OxfordJournals
academic.oup.com
Neural tube defects (NTDs) encompass a range of prevalent and serious birth defects characterized by the incomplete closure of the embryonic neural tube, r
1
3
3
Urinary screening and nutritional health assessment in a community of indigenous school children from Totoró (Colombia) @DrEMCollins @OUPAcademic @OUPMedicine @OxfordMedSci @OxUniPress @OxfordJournals #Paediatrics #nephrology #NephPeds #kidney #CKD
academic.oup.com
Abstract. A higher risk for kidney disease in aboriginal populations has been proposed but it has not been established in their children. Likewise, there i
0
1
2
Risk factors for failure to thrive among #infants at a hospital in North India: a case–control study @DrEMCollins @OUPAcademic @OUPMedicine @OxfordMedSci @OxUniPress @OxfordJournals #Pediatrics #malnutrition
academic.oup.com
Abstract. Failure to thrive (FTT) is a commonly used term in pediatric clinical practice, referring to a significant deviation from normal growth patterns.
0
2
2
Health-care providers’ knowledge and quality of neonatal care in the first 2 h of life in a district hospital on Pemba Island, Tanzania: a prospective cohort study #Pediatrics #neonates #neonatal
academic.oup.com
Abstract. To assess the knowledge of health workers on neonatal management, describe neonatal care in the first 2 h of life, and health outcomes of neonate
1
2
2
Mortality and clinical outcomes in paediatric #septic #shock: a propensity-matched analysis before and after the implementation of an institutional guideline in single centre in Thailand
academic.oup.com
Abstract. Paediatric septic shock is a life-threatening condition with high global morbidity and mortality rates. Prior guidelines for paediatric septic sh
1
2
2
Scrub #typhus masquerading as other conditions among the pediatric population in India: a case series @DrEMCollins @OUPAcademic @OUPMedicine @OxfordMedSci @OxUniPress @OxfordJournals #PedsID #Pediatrics #Rickettsia #Orientia
academic.oup.com
Abstract. India is an endemic country for scrub typhus, a common rickettsial infection caused by Orientia tsutsugamushi contracted through the bite of infe
0
2
2
Clinical efficacy of minimally invasive #surfactant therapy combined with nasal intermittent positive pressure #ventilation in the treatment of neonatal respiratory distress syndrome
academic.oup.com
Abstract. This study aims to evaluate the efficacy of minimally invasive surfactant therapy (MIST) combined with nasal intermittent positive pressure venti
1
1
2
Low levels of #pertussis- and #measles-specific IgG antibodies in 6-week-old HIV-exposed and -unexposed Malawian #infants: implications for vaccination strategies and role of long term HIV therapy
academic.oup.com
Abstract. Serological studies in infants can provide valuable information on the degree of protection conferred by IgG maternal passive transfer during ear
1
1
2
Role of interleukin-10 and interferon-β as predictive factors of severity in a paediatric population with dengue @DrEMCollins @OUPAcademic @OUPMedicine @OxfordMedSci @OxUniPress @OxfordJournals #PedsID #dengue #IL10 #IFN
academic.oup.com
Abstract. The febrile illness caused by dengue is a global public health problem whose incidence is increasing. This infection can range from mild fever to
0
1
2
Seroprevalence of SARS-CoV-2 infection among hospitalized children at a tertiary care center in North-East India @DrEMCollins @OUPAcademic @OUPMedicine @OxfordMedSci @OxUniPress @OxfordJournals #Pediatrics #SARSCoV2 #COVID
academic.oup.com
Abstract. To estimate the seroprevalence of severe acute respiratory syndrome coronavirus-2 (SARS-CoV-2) infection among hospitalized children aged between
0
1
2
Evaluating the efficacy of very high-dose oral prednisolone in West syndrome: in Uttar Pradesh, India, a resource-limited setting @DrEMCollins @OUPAcademic @OUPMedicine @OxfordMedSci @OxUniPress @OxfordJournals #Pediatrics
academic.oup.com
Abstract. Managing West syndrome (WS) becomes arduous in regions where access to adrenocorticotropic hormone and vigabatrin is limited, particularly in dev
0
1
3