
Celeste Carrero
@CarreroCeleste
Followers
1K
Following
10K
Media
731
Statuses
2K
Mamá. Cardióloga. Feliz de hacer lo que hago. PhD. Ex-directora (ARI) Recursos Digitales de @SAC_54 y de Consejo Ecocardio @consejoEcoSAC -MTSAC
Vicente Lopez, Argentina
Joined January 2019
Un honor ser galardonados con el Premio Magda Heras! ! ❤️Mimo al alma en un año tan difícil. Hacer ciencia independiente en Argentina no es tarea fácil 🇦🇷 A disfrutar equipo! @PabloStutzbach @dr_gdiazb
@iconstantin1
https://t.co/0KO1PkGC7p
18
8
121
5) Insuficiencia Tricuspidea. No mas la olvidada! Clasificación, cómo definir disfunción de VD y cuando indicar tratamiento!
0
1
1
4) Insuficiencia mitral. Cómo evaluar pacientes candidatos a intervención en IM secundaria
1
0
1
3) Primera vez que se incluye un capítulo de Bicuspide. Como clasificarla! Cómo medir aorta. Recomendamos Tc basal al momento del diagnóstico
1
0
2
2) Hasta los 75 años en nuestra realidad el RVAo está indicado por sobre el TAVI en Estenosis aortica severa sintomática. Basandonos en resultados locales y externa bibliografía con beneficios en ptes mayores 75 años
1
0
1
1) Toda una seccion dedicada a evaluar FRAGILIDAD, Futilidad y timing de intervención! Importancia del Heart Team
1
0
1
#SAC25 Y un dia se publicó nuestro consenso de Valvulopatias @SAC_54 So proud! 🇦🇷 https://t.co/0fiIa7Ftx8 5️⃣cosas que no podés dejar de saber ! Abro 🧵 imperdible si quieres estar actualizado @consejoEcoSAC @hemodinamiasac @Baratta_Sergio @silviamakhoul
4
4
6
BREAKING NEWS The Norwegian Nobel Committee has decided to award the 2025 #NobelPeacePrize to Maria Corina Machado for her tireless work promoting democratic rights for the people of Venezuela and for her struggle to achieve a just and peaceful transition from dictatorship to
25K
54K
189K
Estamos muy contentos porque nuestro trabajo realizado por @consejoEcoSAC está nominado a Premio en #SAC25 ! Análisis de la realidad del diagnóstico y manejo de válvula aórtica bicúspide en 🇦🇷. Mucho para aprender y mejorar! @SAC_54 @silviamakhoul
1
0
4
Terapias novedosas en Endocarditis 🫥EI derecha sigue siendo grave: SAureus frecuente, drogas IV, vegetaciones son grandes con efectividad del tto médico muchas veces 👎 👉Nueva opción terapéutica: Aspiración de vegetaciones en EI derecha: Seguro, factible, aún falta info de ECR
0
0
1
#ESCCongress2025 Focused updatde on dyslipidemias: @escardio/@society_eas attribute an important role for CAC Score and carotid plaque as tools to further stratify risk based on recent evidence
2
3
11
Finally FESC! 🥰 Muchos años de trabajo 🐜reflejados en una foto. Para los que venimos de un mundo donde hacer investigación independiente no es tan fácil, lo valoramos el doble♥️♥️
3
0
21
#ESCCongress2025 El fin de los cardiólogos de imágenes ? 🥴 Todavia queda lugar oara la inteligencia humana: Validaremos mediciones, informes, mediciones con #AI Cómo te imaginas tu trabajo en 10 años?
0
0
1
#ESCCongress Estenosis aortica severa asintomática ♥️Referir a Heart Team para seguimiento 🦷Avanzar estudia mientras se lo sufre (TC, odontologia) 🏥Tener capacidad de respuesta🤙🏼 Síntomas : intervenir dentro de los 3 meses @aakriti_15
0
1
8
Todo listo para nuestro día de fiesta anual. Simposio de Cardiología #ICSI Salió el 🌞 ! En #RosaNegra Eventos
0
0
2
🥰Sabias que ya se largó el Registro MATEAR TC? Medimos la aorta con Angio-Tomografía para obtener valores locales de referencia! 🇦🇷 No te quedes afuera de este proyecto de investigación de @SAC_54 y @TomoResoSac ! Si queres participar escribinos a 📩registro.matear@gmail.com
0
4
16
11ª Jornada Internacional de Ecocardigrafia do DEPECO / SOCERGS Porto Alegre - Brasil Excelente evento com a participação de @CarreroCeleste @canellasfabio @PrettoAlex e outros brilhantes colegas 🌟 Muito honrado em representar o @DICSBC 🚀 @SilvioBarberato @DanielaRassi
1
1
12
🤙🏼y no te olvides de hacer vista Paraesternal derecha para medir tubular distal
0
0
0
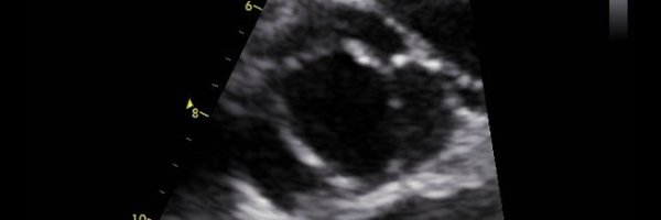
🧐Eje corto GV VÁLVULA Aórtica bicuspide fusionada D-I
1
0
0