CaRaCony Profile Banner
ConyCaRa Profile
ConyCaRa

@CaRaCony

Followers
1K
Following
1K
Media
4K
Statuses
16K

C. #Dentista con Maestría en Prótesis bucal . Blanqueamientos, dentaduras, coronas, carillas, tel 5554129757 whats app @ConyCarrillo

col del Valle, CDMX
Joined January 2011
Don't wanna be here? Send us removal request.
@PoderMentalX
Julián Castellanos
7 days
TODO el mundo CREE que PERDER peso significa comer MENOS. PERO eso es MENTIRA. AQUÍ tienes 9 alimentos que PUEDES comer hasta saciarte y que te AYUDARÁN a perder peso: 1. Huevos
25
60
234
@honordetigre
Alex Pérez
14 days
Le preguntaron a ChatGPT cómo vivir hasta 140 años y la respuesta fue simple, lógica y totalmente sorprendente... - Hilo -
40
353
1K
@MentalidadFeroz
MentalidadFeroz
14 days
6
424
2K
@CaRaCony
ConyCaRa
14 days
Tienes problemas dentales y de salud ? Ya es tiempo de que te atiendas ! Agenda tu cita en Doctoralia https://t.co/P9KsT4Ulhh
0
0
0
@CaRaCony
ConyCaRa
16 days
0
0
0
@CaRaCony
ConyCaRa
18 days
0
0
0
@ciberfan
Raúl Trejo Delarbre
19 days
Los derechos de las audiencias nacieron para proteger a la sociedad, no para justificar la censura. Hoy se usan para vetar contenidos incómodos y reforzar la propaganda oficial en medios públicos. Mi columna en @nexosmexico https://t.co/VHr2sFhBtb
Tweet card summary image
trejodelarbre.nexos.com.mx
En vez de ser una garantía para la sociedad, los derechos de las audiencias se están convirtiendo en instrumento del oficialismo para censurar a medios de comunicación. ¿El gobierno busca ser...
12
106
136
@Bio_comunidad
Comunidad Biológica
19 days
El cáncer de estómago suele avanzar en silencio. Estas cinco señales tempranas pueden aparecer cuando la enfermedad aún es tratable. Ignorarlas puede marcar la diferencia entre un diagnóstico a tiempo y uno tardío. Mayor info: https://t.co/sBqNH9NUTl
3
70
287
@Bio_comunidad
Comunidad Biológica
19 days
Durante años creímos que la caries era inevitable. Ahora, un nuevo estudio revela que existe una forma efectiva de prevenirla. Mayor info: https://t.co/CYnYdH37FB
4
106
522
@CaRaCony
ConyCaRa
2 months
@En_laDelValle Problemas dentales? No esperes más agenda tu cita en Doctoralia https://t.co/P9KsT4UT6P
0
3
1
@Bio_comunidad
Comunidad Biológica
2 months
Están en alimentos, agua y productos cotidianos. Más de 160 químicos muestran actividad antibacteriana contra la microbiota intestinal, un daño invisible que podría estar afectando tu salud sin que lo notes. Mayor info: https://t.co/hvp4QM7OEs
1
95
256
@Bio_comunidad
Comunidad Biológica
2 months
Lo recetan como algo rutinario, pero la ciencia acaba de dar la alarma: este fármaco para el hipotiroidismo podría estar debilitando los huesos de quienes lo usan por años. Un riesgo oculto que nadie esperaba. Mayor info: https://t.co/WDhuMbBdZC
17
232
638
@EnsedeCiencia
Enséñame de Ciencia
2 months
6
180
765
@doctormacias
Alejandro Macias
2 months
Herpes zoster: Este estudio con vacuna de virus vivos confirma lo que se había observado con la vacuna recombinante: la prevención reduce el riesgo de padecer deterioro cognitivo o demencia tipo Alzheimer (particularmente entre mujeres). ¡A vacunarse! https://t.co/Y7rhxVY55V
39
479
1K
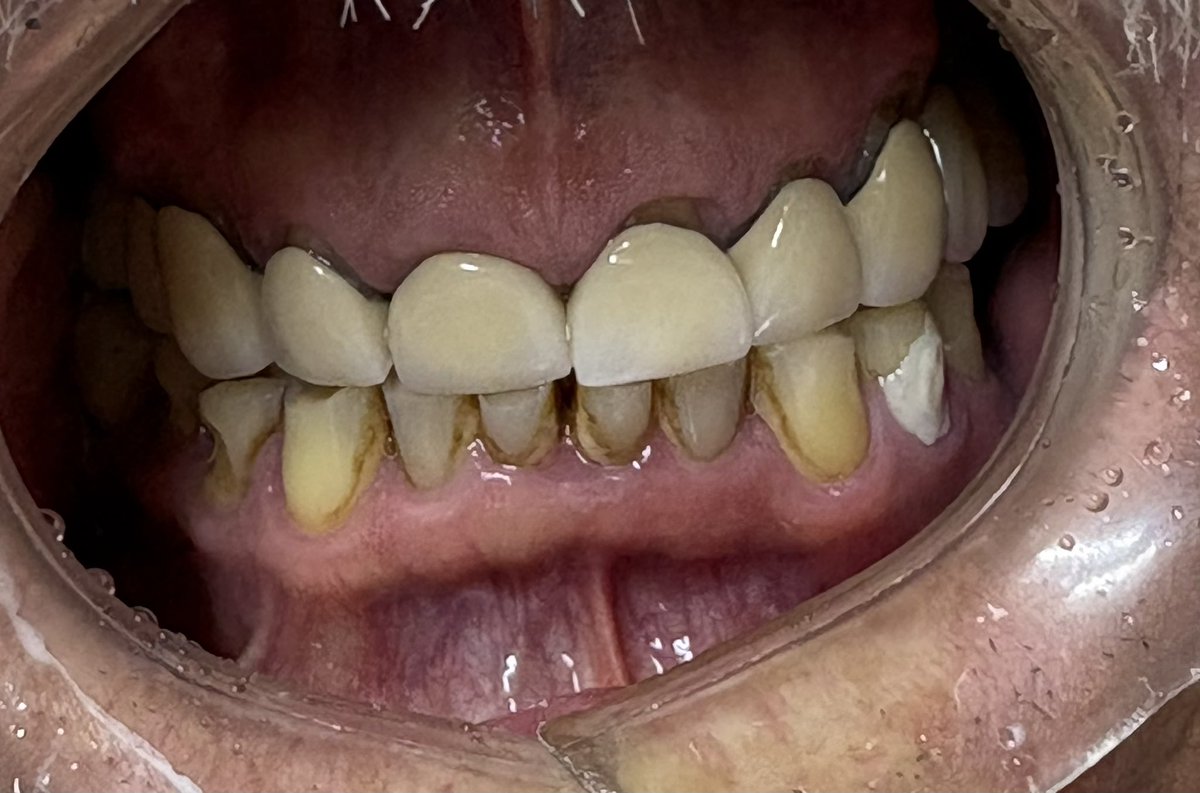
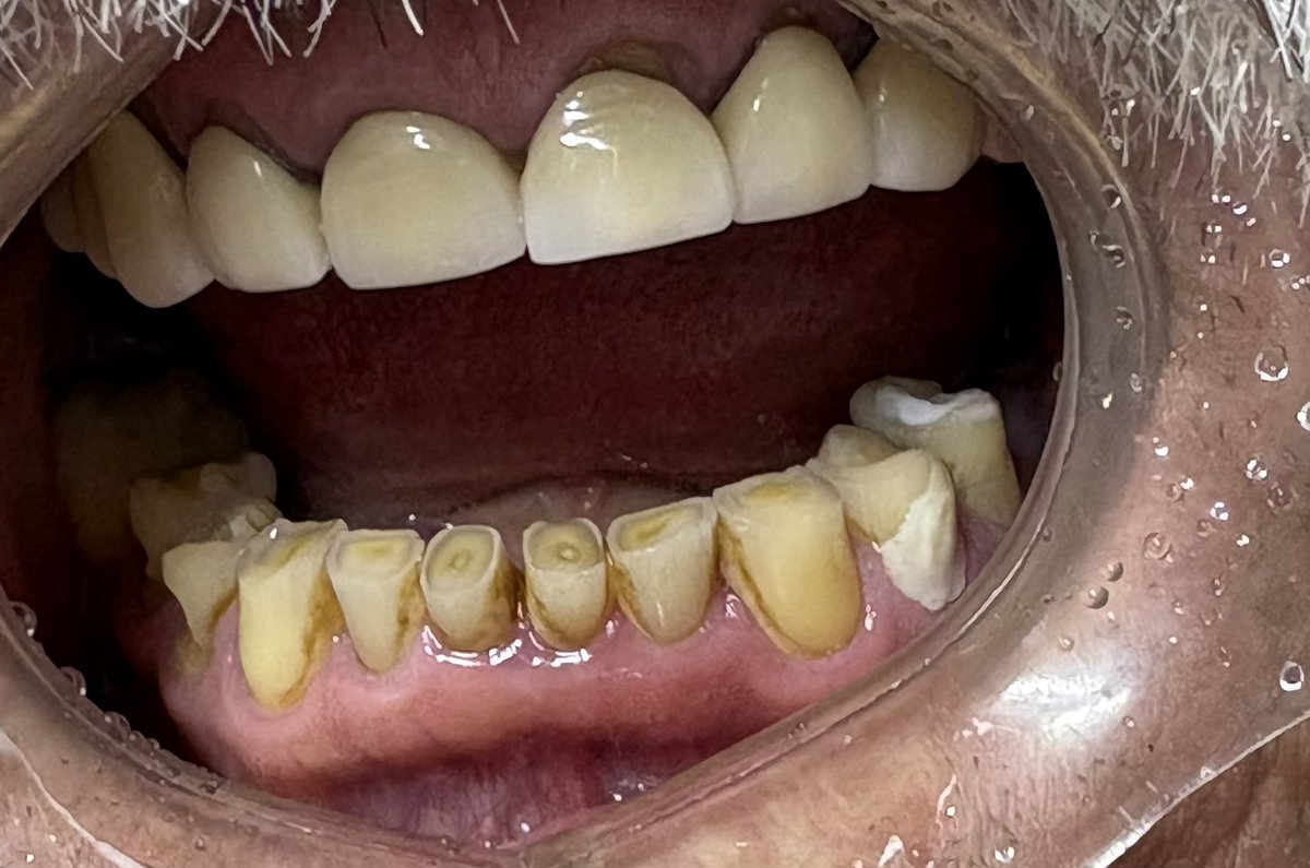
@CaRaCony
ConyCaRa
2 months
@En_laDelValle #BRUXISMO El bruxismo es un hábito involuntario de rechinar o apretar los dientes, especialmente durante el sueño. Esto puede causar daños en los dientes, la mandíbula y el sistema nervioso https://t.co/P9KsT4Ulhh
0
2
0
@Bio_comunidad
Comunidad Biológica
2 months
Científicos identificaron bacterias orales presentes en pacientes con Alzheimer, sugiriendo que la enfermedad podría originarse en la boca. Este descubrimiento abre una nueva vía para entender, prevenir y quizá algún día detener su progresión. Mayor info: https://t.co/Whpin3iLtd
5
390
1K
@momentoviral
Momentos Virales
2 months
El séptimo arte nunca deja de sorprender. 🎬 https://t.co/gQE032KV36
78
1K
7K
@EnsedeCiencia
Enséñame de Ciencia
2 months
🚨 El cerebro se "Devora" a sí mismo por la falta de sueño prolongado, destruyendo conexiones neuronales clave y poniendo en riesgo tu memoria y salud mental 😨
17
771
3K
@CaRaCony
ConyCaRa
2 months
@En_laDelValle Sabías que tus problemas dentales pueden estar afectando tu salud en general? Deseas tener calidad de vida ? Cuida tu boca ! Agenda tu cita en Doctoralia yo te puedo ayudar Protesista dental Dra. Carrillo https://t.co/P9KsT4UT6P
0
2
0
@doctormacias
Alejandro Macias
2 months
Una crema para piel que puede suministrar insulina en un futuro no muy lejano. Podría ser una alternativa para evitar las inyecciones en el manejo de la diabetes. También puede ser el modelo para el manejo de otros medicamentos.
Tweet card summary image
nature.com
Nature - The fast skin-permeable polyzwitterion poly[2-(N-oxide-N,N-dimethylamino)ethyl methacrylate] may enable non-invasive transdermal delivery of insulin, and potentially facilitate the use of...
3
56
240