Canadian Association for Interventional Radiology
@CAIRweb
Followers
2K
Following
8K
Media
226
Statuses
2K
Helping increase accessibility for Canadians to patient friendly, effective, minimally invasive, image guided treatments. Account not monitored 24/7.
Canada
Joined April 2018
Linzi Webster, the SIR RFS chair and our PGY4 IR/DR resident presents the current state of IR training in North America with Tiffany Ni, the CAIR RFS chair @sirrfs @linziarndt @cairrfs
0
6
25
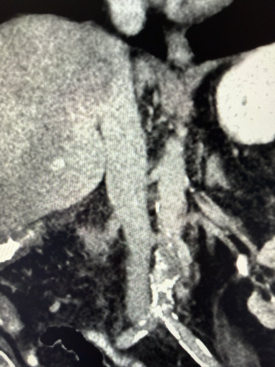
Large volume IVC thrombectomy and mod sed TIPS done same session - patient was able to be discharged and make it to her sons wedding - she fit much better into her dress with no ascites!
12
5
56
Interventional radiology: an overview of the specialty with Dr. Arash Jaberi. Watch on YouTube ➡️ https://t.co/O2M4dmIo1z
@CAIRweb, @UofTMedIm, @SIRspecialists, @SebastianMafeld
0
1
3
@SACHINKISHORE82 @CanUrolAssoc @CAIRweb Thanks! Just trying to keep up with innovators like yourself! Having the study protocol assessed by the reviewers and editors' at @JVIRmedia really helped 👌 the finer details before our first enrollment.
1
1
3
Congrats to DR PGY2 resident Dr. @TiffanyNi8 & DR PGY3 resident Dr. @_sabreenaa Moosa, who will be the new Chair & Vice Chair, respectively, of the @CAIRweb Resident, Fellow & Student Section (CAIR RFS)! This is the first year both positions are filled by #UofT MI residents.
0
1
6
Don't miss today's Dotter Lecture by UBC's Lindsay Machan!
0
0
2
The #SIR25NASH Global Society Summit was a success. At a time when more communication and collaboration is so important, we appreciate these and other organizations coming together. @ISVIRIndia
@IRSA_IRs
@CAIRweb
@SIDISoc
@sobrice
@cirsesociety
1
5
27
We're honored to announce that Lindsay Machan, MD, FSIR will be giving the Dotter Lecture at #SIR25Nash! Join us at the opening plenary session to hear Dr. Machan’s lecture in Nashville: https://t.co/oyfzUKNUbA
0
2
11
0
3
3
This Interventional radiology hub is a new integrated space that helps Dr. Wong and his team offer better care for more patients. w/ @IamCdnIRad
https://t.co/nlUdpwoWj8 via @yyc_health #IRads #InterventionalRadiology
publications.calgaryhealthfoundation.ca
The Calgary Eating Disorder Program taking a family-centred approach, how nutrition helps mental health, endoscopic spinal surgery meaning better recovery, and more in this issue of Breakthroughs!
0
1
3
#NewJobAlert The Department of Medical Imaging, @McMasterU & the Department of Diagnostic Imaging, @HamHealthSci are seeking a full-time academic interventional radiologist: https://t.co/Dj7nYjOynE
#interventionalradiology #IRads
cairweb.ca
The Department of Medical Imaging, McMaster University and the Department of Diagnostic Imaging, Hamilton Health Sciences are seeking a full-time academic interventional radiologist for the Hamilton...
0
0
1
#NewJobAlert Combined Interventional & Body Radiologist - advancing patient care through collaboration and innovation w/@HamHealthSci. Read more: https://t.co/JUCzvHSmf9
#InterventionalRadiology #IRads
cairweb.ca
The Department of Medical Imaging, McMaster University and the Department of Diagnostic Imaging, Hamilton Health Sciences are seeking a combined full-time academic interventional and body radiologist...
0
0
1
#InterventionalRadiology renowned experts (including #OrderofCanada recipient Dr. Lindsay Machan) answer questions @ #VIR2024 #VancouverImagingReview 2024 @DrGeraldLegiehn @NevdeK
@UBC_Radiology @JonathonLeipsic @EmergTraumaRad
1
2
8
Was great seeing everyone 🙏🏼 #CIRSE2024
@lahinchman @HoumanJalaie @MakisAvgerinos @BDandCo @cirsesociety @SIRspecialists @sirs_ksa @SIO_Central @CAIRweb @BSIR_News
1
2
23
Boa tarde Lisboa 🇵🇹 Wonderful to see our friends from all over the world while attending #CIRSE2024 #IRads #MedEd
0
0
5
Check out the latest topic package on #WomeninIR in the #CIRSElibrary! ➡️ https://t.co/YWNlXWIOtS
#CIRSE2024 will have two dedicated sessions on this topic: ➡️Women in IR: https://t.co/8iY5ViSGPi ➡️Women’s challenges in IR: https://t.co/jDK0aWiWnC
1
3
8
Our latest video on SIR Now by @SIRRFS features program directors from @womenirads who give advice to medical students on how to create a strong application. Discussions also address topics such as parental leave/childcare, mentorship, career tips & more.
0
8
16