BryanRoberts Profile Banner
Anastasia  Beaverhausen Profile
Anastasia  Beaverhausen

@BryanRoberts

Followers
1K
Following
5K
Media
10K
Statuses
176K

Peca conmigo y Dios te amará más.

Madrid, Spain
Joined October 2008
Don't wanna be here? Send us removal request.
@BryanRoberts
Anastasia  Beaverhausen
4 hours
Pues regresó Amaia Montero y en grande.
0
0
1
@TheCinesthetic
cinesthetic.
24 hours
Seeing the Pink Panther main theme performed live is unreal. Henry Mancini conducting, Plas Johnson on sax like the original recording, and the Terry Gibbs Band locking in behind him. Film music history happening in real time.
283
6K
26K
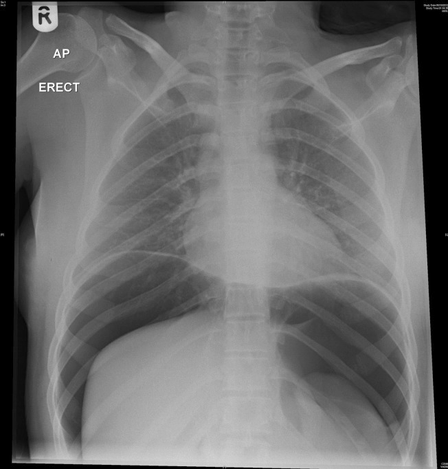
@jtrebach
Josh Trebach, MD
1 day
An 18-year-old female presents to the emergency department with abdominal pain and shortness of breath after drinking a fancy cocktail. Her x-ray is below. What do you think is going on?
776
756
9K
@MadonnaMadgesty
Madonna Madgesty 👑🪩
1 day
Madonna performing Vogue at the VMAs in 1990.
46
1K
6K
@ConsejoHombres_
Consejo Mundial de Hombres
1 day
El Honorable Consejo de Hombres se volvió viral al cerrar filas y respaldar a uno de los suyos. La respuesta fue inmediata, clara y colectiva. Días después, una mujer buscó algo similar en un llamado Consejo de Mujeres y la historia tomó otro rumbo. El contraste marcó diferencias
183
2K
7K
@luneafaw
lun
3 days
The shop assistant taught me how to tie knots when I went to Korea 🪢
306
984
9K
@BryanRoberts
Anastasia  Beaverhausen
2 days
Esto me trae recuerdos de la secundaria
@jay_acuna
Dominic JA🇺🇸🇺🇸
3 days
Happiness is the only happy that matters, and just to follow up this is Turkish Oil wrestling. Supposedly ancient. The pants are specifically worn for hand hooks and they are pinned in an outdoor setting. Enjoy. 😄😁
0
0
0
@Farmaenfurecida
Guille Martín
3 days
Bien hecho.
226
2K
19K
@MarchUnofficial
March
6 days
Aidako Shisho is a Japanese artist who creates amazing wearable weapons out of cardboard.
3
85
259
@sebastia_me
S૯ცค
5 days
Mi cerebro lo entiende pero no puede procesarlo
156
3K
33K
@tmbnLNR
Leonor
6 days
Obsesionada con que en Panamá les hicieron un Wonka Experience xd Todos los anuncios de un mega parque de nieve los hicieron con inteligencia artificial, la gente llegó con abrigos, guantes etc y cuando llegaron estaba todo horrendo 😭😭😭
225
2K
19K
@BryanRoberts
Anastasia  Beaverhausen
9 days
Felices Fiestas En especial al personal sanitario
@NewsAlgebraIND
News Algebra
10 days
SHOCKER 🚨 Doctor beats up Patient at IGMC Shimla, Himachal's biggest hospital🤯 IGMC Shimla claims Teacher Arjun Panwar was suffering from breathing difficulties & was resting after endoscopy Patient said Doctor spoke rudely and the argument escalated😳 https://t.co/Z4YWckcMeL
0
0
0
@interesting_aIl
Interesting As Fuck
3 months
A reminder that blindness is a spectrum
30
266
3K
@BryanRoberts
Anastasia  Beaverhausen
9 days
Madre del amor hermoso!!! Sin palabras…
@peachyboy25
Peachyboy
12 days
Chudai
0
0
0
@interesting_aIl
Interesting As Fuck
10 days
Turbulence feels scary, but here’s how to stay calm and in control
150
753
8K
@ectorjaime
Dr. Éctor Jaime
10 days
La Secretaría de Salud de Chiapas exhortó a sus municipios a cancelar las festividades navideñas debido al incremento de casos de #sarampión Lamentamos que las familias se vean afectadas por la negligencia del gobierno Esto es consecuencia del debilitamiento del sistema de
30
599
838
@manelmarquez
Manel Márquez 🍉
13 days
Ahora que llega la Navidad recordemos un poco al Jesús de los pobres no de los fariseos que hoy llenan estadios con milagreira y palabrería neoliberal. Echaos inas risas y difundi la palabra. #Navidad2025 https://t.co/XdB8spbZw1
28
991
2K
@BryanRoberts
Anastasia  Beaverhausen
13 days
Me da qué pensar y mucho que reflexionar que un infuencer europeo que andaba por LATAM diciendo que todo era perfecto allá, se “tuvo que regresar a Europa” (¡pobrecito!) y de LATAM ya no habla nada.
0
0
0
@Capitan_Swing
Capitán Swing
14 days
«Ahora sí, bebés, mi base de maquillaje; no para unificar el tono sino para borrar mi pasado, mi presente y cualquier rasgo de mi personalidad.» Enorme.
134
442
3K
@koldobika08
Luis
14 days
👀👀👀👀🤪 Diferencia entre un tonto y un imbécil.
387
11K
39K