BritishDivIAP Profile Banner
BDIAP Profile
BDIAP

@BritishDivIAP

Followers
3K
Following
1K
Media
348
Statuses
1K

British Division of the International Academy of Pathology | promoting pathology through education and research

Joined April 2015
Don't wanna be here? Send us removal request.
@BritishDivIAP
BDIAP
5 months
🚨 The BDIAP is recruiting THREE new UK Councillors for 2026–2028! An exciting chance to shape the future of pathology education, contribute to events, and develop your leadership. πŸ—³ Nominations close 5 Sep πŸ“ 2 meetings/year πŸ‘‰ More information: https://t.co/mdi9E2rKnB
1
0
4
@Histo_Journal
Histopathology
4 months
Superficial plexiform schwannoma of the skin and subcutis: Clinicopathological study of 48 cases - Suster - Histopathology - Wiley Online Library #bstpath
Tweet card summary image
onlinelibrary.wiley.com
Plexiform schwannoma is a rare type of peripheral nerve sheath tumour that needs to be distinguished from plexiform neurofibroma and other superficial plexiform tumours. The study included 48...
0
17
35
@BritishDivIAP
BDIAP
4 months
BDIAP President Elect, Professor Sarah Pinder will be speaking at the 8th Annual Meeting of ABP @AssocBreastPath (Association of Breast Pathology) in October!
@AssocBreastPath
Association of Breast Pathology
4 months
πŸ“’ Registration is NOW OPEN! Join us for the 8th Annual Meeting of the Association of Breast Pathology πŸ—“ Friday, 3 October 2025 🌐 Book now: https://t.co/CspVdwR9Tr πŸ’‘ Early bird discounts available – secure your spot today! #BreastPathology #PathTwitter
0
1
3
@BritishDivIAP
BDIAP
4 months
This month's Editor's Choice article is: Genetic correlates of malignancy in TFE3-rearranged PEComa: a series of 14 cases .Authors:Β David J Papke Jr., Igor Odintsov, Navin R Mahadevan, Christopher DM Fletcher, John Hanna. https://t.co/OCfZVHgldT
Tweet card summary image
onlinelibrary.wiley.com
Morphologically bland, clinically benign TFE3-rearranged PEComas lack second hit alterations or complex copy number changes, while morphologically atypical, clinically malignant TFE3-rearranged...
0
0
0
@BritishDivIAP
BDIAP
4 months
The latest Histopathology issue; Volume 87 - Issue 3 (September 2025) is now available to view. BDIAP Members can access this issue as well as previous Histopathology journal issues via your BDIAP Member Area, without having to login further. #histopathology
1
1
1
@Histo_Journal
Histopathology
4 months
Use of p53 immunohistochemistry can improve diagnostic agreement for differentiated vulvar intraepithelial neoplasia (dVIN): an international reproducibility study - Dasgupta - Histopathology - Wiley Online Library #openaccess #gynpath
Tweet card summary image
onlinelibrary.wiley.com
Differentiated vulvar intraepithelial neoplasia (dVIN) is a precancerous lesion that can resemble non-dysplastic lesions histologically. In this study involving 24 pathologists from 8 countries,...
0
12
42
@RCPath
RC of Pathologists
5 months
A huge thank you to our students, speakers and sponsors for making this years Undergraduate Pathology Summer School a huge success. See you next year! @BritishDivIAP @ACP_Pathologist @BiaInfection @BNS_updates @BritSocHaem & @Pathsoc #SummerSchool #UndergraduatePathology
0
2
4
@RCPath
RC of Pathologists
5 months
As we kick off our 2-day Undergraduate Pathology Summer School, we would like to thank our sponsors for helping make this happen @BritishDivIAP @ACP_Pathologist @BiaInfection @BNS_updates @BritSocHaem & @Pathsoc #SummerSchool #UndergraduatePathology
0
5
8
@RCPath
RC of Pathologists
5 months
Breakout sessions on different pathology specialties are well under way at our Undergraduate Summer School. Thank you to all the presenters, and to our sponsors: @BritishDivIAP @ACP_Pathologist @BiaInfection @BNS_updates @BritSocHaem & @Pathsoc #UndergraduatePathology
0
2
9
@BritishDivIAP
BDIAP
5 months
✨ BDIAP is proud to be one of the sponsors of this year’s @RCPath Undergraduate Pathology Summer School! Welcoming 70 students from 39 UK universities to explore the exciting world of pathology. πŸ”¬ #PathologySummerSchool #BDIAP #FuturePathologists #MedEd #histopthology
0
0
6
@BritishDivIAP
BDIAP
5 months
SAVE THE DATE! Molecular Pathology Study Day 2 March 2026 https://t.co/p8IAgLOYMR Approach to Cut Up Study Day 3 March 2026 https://t.co/zdmv6iQ9Y6 Bursaries to be announced.
0
2
4
@BritishDivIAP
BDIAP
5 months
🚨BDIAP Bursaries for #USCAP2026 (21–26 March, San Antonio, TX) coming soon! πŸ“Œ Abstract submission (opens August) will be required to apply. πŸ”— Check eligibility + updates: https://t.co/g2u7G1f1C2 #Pathology #BDIAP
bdiap.org
0
2
2
@BritishDivIAP
BDIAP
5 months
🚨 Bursaries available for the Joint BDIAP-BAUP Annual Symposium! βœ… Covers travel, accommodation & registration πŸ”¬ Open to BDIAP trainees & allied scientists including Affiliate Members in the UK, BE, IE, or NL πŸ“… Apply by 23:59 BST, 19 Sept 2025 πŸ”— https://t.co/eNJjWhpdfH
0
2
8
@BritishDivIAP
BDIAP
5 months
🚨 Apply Now: BDIAP Innovation Grants Are you a BDIAP member aiming to advance your histopathology or molecular pathology expertise? Up to Β£5,000 to support your development in histopathology or molecular pathology 🧬 πŸ’Ό More info here: https://t.co/3rLKBTFh7t
0
3
4
@BritishDivIAP
BDIAP
6 months
🚨 Pathologists & cliniciansβ€”don’t miss this Joint BDIAP-BAUP Symposium on Urological Pathology! πŸ”— Register now! https://t.co/3kFx8oIlPB
0
5
5
@BritishDivIAP
BDIAP
6 months
BDIAP bursaries are available to attend the Joint BDIAP-BAUP Symposium on Urological Pathology in November. Applicants must be a BDIAP Trainee or Allied Scientist/Affiliate Member from the UK, Ireland, Belgium or the Netherlands. More info here: https://t.co/eNJjWhpdfH
0
4
2
@BritishDivIAP
BDIAP
5 months
Catch the BDIAP at @the_issp Saturday 04 October! Β  Session 5 Molecular Pathology Sponsored by the British Division of the International Academy of Pathology
@the_issp
ISSP
5 months
We are excited to open up our abstract call for the ISSP conference 2025! Please see more details on our website https://t.co/fJFLLLub4V and closing date for abstracts is the 29th August 2025! πŸ”¬πŸ“’
0
0
1
@pathsoc
Pathological Society
5 months
Just two weeks ago, we wrapped up a fantastic Ghent Pathology Meeting! Thank you to everyone who joined us ✨ We are already looking ahead… Save the dates! πŸ—“οΈ πŸ”Ή Manchester Pathology 2026 | 23–25 June 2026 πŸ”Ή Belfast Pathology 2027 | 22–24 June 2027
0
1
4
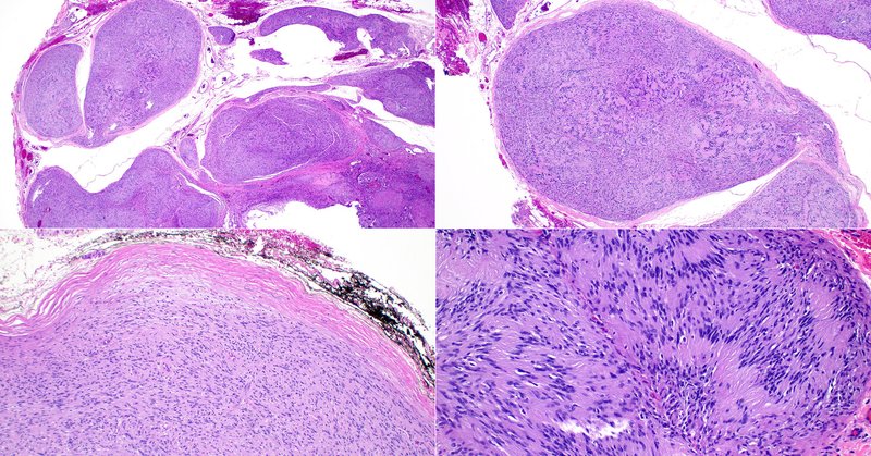
@BritishDivIAP
BDIAP
5 months
0
0
1
@BritishDivIAP
BDIAP
5 months
The latest @Histo_Journal issue; Volume 87 - Issue 2 (August 2025) is now available to view. BDIAP Members can access this issue as well as previous Histopathology journal issues via your BDIAP Member Area, without having to login further. https://t.co/jK3CHWqmd6
1
7
14