Elisa Boscolo Profile
Elisa Boscolo

@BoscoloLab

Followers
736
Following
2K
Media
26
Statuses
358

Author of: MEK inhibition reduced vascular tumor growth and coagulopathy in a mouse model with hyperactive GNAQ in Nature Communications: https://t.co/SSLroOGLk8

Cincinnati Children's Hospital
Joined January 2019
Don't wanna be here? Send us removal request.
@vascularbiology
NAVBO
8 months
Lola Eniola-Adefeso is a Nigerian-American chemical engineering professor at the University of Michican. She has made important contributions in for vascular inflammation. She advances diversity inclusion through various programs for students from underrepresented groups.
0
3
6
@uofcincycancer
University of Cincinnati Cancer Center
1 year
The University of Cincinnati Cancer Center awarded grants to 8 members for their Spring 2024 pilot projects. We're committed to advancing cancer research through our Pilot Project Award Program. Learn more about these innovative projects: https://t.co/iYSlyJTL7U #CancerResearch
0
3
12
@BoscoloLab
Elisa Boscolo
2 years
Our latest review on Capillary Malformations!
@jclinicalinvest
Journal of Clinical Investigation
2 years
#Review: Capillary malformations: https://t.co/NqP2gNCZ8P @BoscoloLab @uofcincy This review is part of JCI's latest #ReviewSeries: https://t.co/k4UBjY5GH3
1
5
24
@jclinicalinvest
Journal of Clinical Investigation
2 years
#Review: Capillary malformations: https://t.co/NqP2gNCZ8P @BoscoloLab @uofcincy This review is part of JCI's latest #ReviewSeries: https://t.co/k4UBjY5GH3
0
2
4
@BoscoloLab
Elisa Boscolo
2 years
want to catch up on Vascular Anomalies and Capillary Malformation research? great collection in @jclinicalinvest - see our latest review here
0
0
9
@SchrenkSandra
Sandra Schrenk
2 years
As guest editors for @JoVEJournal we are organizing a collection of current methods for “Patient-Derived Methods in Vascular Diseases: 2D, 3D and In Vivo Models”. If you would like to share your amazing technique, we welcome you to submit your abstract to https://t.co/GmKunNIiXx
0
4
9
@BoscoloLab
Elisa Boscolo
2 years
We are hiring a Research Assistant! Looking forward to a great addition to the Boscolo lab to help with our research on Vascular Anomalies. Contact me if you are interested!
0
4
10
@BoscoloLab
Elisa Boscolo
2 years
I refreshed 100 times and this score is still there.. I am so happy and proud of my team that helped me achieve this result!
59
22
1K
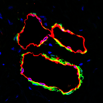
@BoscoloLab
Elisa Boscolo
2 years
Happy Halloween - here are some spooky blood vessels 🎃🎃🎃🎃
4
2
94
@NicolasNassar3
Nicolas N. Nassar
2 years
Please RT. Get in touch if you are interested in writing a review on RAS inhibitors in cancer. This is a series of reviews to be published in @FrontOncology
@FrontOncology
Frontiers - Oncology
2 years
Join other researchers from your research community and submit your work to our 'RAS Inhibitor Therapy of Cancer' Research Topic! Hosted by Donald Buchsbaum, Gary Piazza, and Nicolas Nassar Learn more here: https://t.co/T8Iep8s3iM
0
5
5
@BoscoloLab
Elisa Boscolo
2 years
Such a great collaboration with the founder of the genetics and targeted treatments of vascular anomalies
0
0
2
@BoscoloLab
Elisa Boscolo
2 years
😁 so exciting to see some of my work highlighted by @MiikkaVikkula , the Benditt Award recipient at the NAVBO vascular biology meeting @vascularbiology
1
1
31
@BoscoloLab
Elisa Boscolo
2 years
Submit your favorite patient-derived vascular research method @JoVEJournal https://t.co/pjjUyeB2Yr
0
1
6
@CCHMCPostdoc
ResearchJobs@CCHMC
2 years
#Gradstudents and #Postdocs, I agree that it you live off of a coast, it would be hard to move to the #midwest! Consider @CincyChildrens anyway! What’s the trade off? Click here and enjoy our view! https://t.co/X1UY1EfRzu Connect with a recruiter today: research@cchmc.org!
1
1
4
@Enquirer
Enquirer
2 years
Cincinnati Children's ranks No. 1 kids hospital for 1st time by U.S. News & World Report
Tweet card summary image
cincinnati.com
Cincinnati Children's also achieved the No. 1 ranking among U.S. kids hospitals in several specialties.
0
52
366
@BoscoloLab
Elisa Boscolo
2 years
Thank you NAVBO for highlighting our recent publication!! 😍 and for choosing this awesome video from the supplementary files!!
@vascularbiology
NAVBO
2 years
#NAVBO Member Publication Alert MEK inhibition reduced vascular tumor growth and coagulopathy in a mouse model with hyperactive GNAQ Dr. Elisa Boscolo group @NatureComms 2023 @SchrenkSandra @BoscoloLab https://t.co/PyrBW9IeSw
2
3
21
@BoscoloLab
Elisa Boscolo
2 years
😰 why technology ALWAYS decides to fail you on the day of your grant submission???
1
0
0
@BoscoloLab
Elisa Boscolo
2 years
I really hope our GNAQ mutant model can also help shed some light on Sturge-Weber syndrome and molecular pathways
@SturgeWeber
The Sturge-Weber Foundation
2 years
READ: New Mouse Model Enables Discovery of Potential Treatment for Rare Vascular Tumors—and Beyond @CincyChildrens 👉 https://t.co/nUlnJizFZD #SWFMonthOfAwareness #SWSresearch #science #research #sturgewebersydrome #sturgeweberfoundation #portwinebirthmarks #vasculartumor
0
3
14
@BoscoloLab
Elisa Boscolo
2 years
My car moonroof is leaking.. I found a random bag to cover it 🤣
2
0
13
@BoscoloLab
Elisa Boscolo
3 years
Here a blog about our recent murine model for GNAQ related vascular tumors!
0
1
7