Alessandro Zorzi
@AlessandroZor14
Followers
257
Following
11
Media
0
Statuses
35
Associate professor of cardiology Department of Cardiac, Thoracic and Vascular Sciences and Public Health University of Padova
Treviso
Joined September 2020
Just published in #Europace Ventricular arrhythmias in the athlete: are they common or training dependent? Short answer: NO! There is no PVB pattern that can be considered "common or training related" in athletes. @EuropaceEiC #sportscardiology
https://t.co/jN1SpSLnjG
academic.oup.com
AbstractAims. Premature ventricular beats (PVBs) in athletes are often benign, but sometimes they may be a sign of an underlying disease. We evaluated the
0
9
21
Just published open access in @Europace: #ecg characteristics of premature ventricular beats help identify patterns at-risk of underlying LV scar in #athletes #sportscardiology #cmr @EuropaceEiC
https://t.co/nnf0f91atL
academic.oup.com
AbstractAims. Left ventricular scar is an arrhythmic substrate that may be missed by echocardiography and diagnosed only by cardiac magnetic resonance (CMR
0
17
32
#screening of #athletes saves lifes but should be repeated on a regular basis: results from an Italian sports Medicine center experience. Just published on the #EHJ #EAPC_ESC
#sicsport #Cardiology #SportsCardiology #unipd #aulss2
@PatrizioSarto @SICSPORT1
https://t.co/v7zbCnOrmp
academic.oup.com
AbstractAims. This study aimed to report the long-term findings of the Italian programme of cardiovascular preparticipation screening (PPS) in young, compe
0
7
27
Italian pre-participation screening: an 11-year study period experience. At-risk cardiovascular diseases are identified more frequently in ≥12 years old (n = 63, 91%) and on repeat evaluation (n = 44, 64%). https://t.co/7Svmih82F8
3
30
72
#ECG #athletes #ESCPrev2022 key messages: 1. Interpret bradycardia in the clinical context, 2. The right device for the right patient, 3. The morphology and complexity of PVBs rather than absolute count should guide further investigations. ETT can be invaluable!
0
23
48
#ESCPrev2022 @escardio How useful are the new devices for heart monitoring? 👉the choice depends on patient characteristics, physician experience, symptoms, a-priori chance of arrhythmias 👉one device does not fit all ! See #EHRA practical guide: 👉10.1093/europace/euac038
0
18
35
What is the evidence for post-covid myocardial damage in #athletes? In this editorial, we discussed that not all abnormalities you can find on #cardiacMR in an athlete after #COVID19 are secondary to the virus. #sports #Cardiology
https://t.co/tmUt0DXWjs
0
8
20
...in athletes, relation of myocardial abn with COVID remains unproven w/o a history of clinically overt acute myocarditis during the infection and w/o a preinfection CMR for comparison @AlessandroZor14 @fabrizioricci @drjohnm @cshenoy3 @FlavioDascenzi
0
4
17
Sudden death of a professional soccer player: why preparticipation screening failed? Just published. #sportscardiology #cardiology #athletes
https://t.co/Xs8daerKMS
internationaljournalofcardiology.com
The publisher regrets that this article has been withdrawn at the request of the author. The author apologizes for any inconvenience this may cause.The full Elsevier Policy on Article Withdrawal can...
0
4
9
Just published (open access): should we be concerned about low QRS voltages in #athletes #sportscardiology. Thanks to all co-authors from several different groups. @escardio
https://t.co/ran1Y7LkiV
academic.oup.com
AbstractAims. Low QRS voltages (peak to peak <0.5 mV) in limb leads (LQRSV) on the athlete’s electrocardiogram (ECG) may reflect an underlying cardiomyo
2
5
17
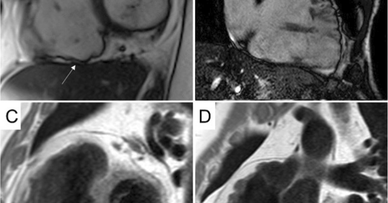
🫀🚴#whyCMR role in the evaluation of #athletes w #PVBs #ectopic - a review by @AlessandroZor14 @albcipri6 @DCorradoCardio et al @UniPadova
#CardioTwitter #sportcardio #EAPC_ESC @s_gati @MichaelPapadak2 @FlavioDascenzi @El_Cavarretta
https://t.co/JNYtvuCJE6
@JCM_MDPI
0
13
29
#mdpijcm An #article published: The Acute Effects of an #Ultramarathon on #AtrialFunction and Supraventricular #Arrhythmias in Master Athletes More info: https://t.co/MZNxn1rdad
@FlavioDascenzi @antondandr
@DrGEMandoli @AlessandroZor14
@CavigliLuna
0
5
7
Wow!! Great news! Congratulations @SICSPORT1 ! Now among the Italian Scientific Associations! A lot of work is ahead now as we are going to write the new Italian sportscardiology guidelines! @EAPCPresident @MichaelPapadak2 @FlavioDascenzi @PeroneFrancesco @s_gati @ProfessorHalle
Grande notizia! LA @SICSPORT1 SOCIETA’ ITALIANA DI CARDIOLOGIA DELLO SPORT ANNOVERATA NELL’ELENCO DELLE SOCIETA’ SCIENTIFICHE RICONOSCIUTE DAL @MinisteroSalute Adesso, tanto lavoro in vista per le prime nuove LG della Cardiologia dello Sport Italiana!
1
3
17
📌Evolving Diagnostic Criteria for Arrhythmogenic Cardiomyopathy #CardioEd #CardioTwitter #ePeeps @JAHA_AHA
2
72
167
20° @SICSPORT1 Congress Dr Teton presents what you won't to see during an #exercise stress test - a #STEMI #ECG during pre-participation #exercise testing @SilCastelletti @AlessandroZor14 @El_Cavarretta @FlavioDascenzi @DrTiberi @PatrizioSarto @TerVessella @senatorelp
1
1
7
Just published on the @JAHA_AHA: from the original 1994 ITF criteria to the Padua criteria for the diagnosis of arrhythmogenic cardiomyopathy. #arvd #arvc #cmr #cardiomyopathy #Cardiology
@DCorradoCardio @Cipeciop1964 @albcipri6
0
3
9
20° @SICSPORT1 Congress @El_Cavarretta presents the effect of the de-training forced by the #Covid_19 emergency - great talk! @FlavioDascenzi @AlessandroZor14 @CardiouniSiena @DrTiberi @senatorelp @TerVessella @El_Cavarretta @PatrizioSarto @ulissefg @CavigliLuna @lamerlolaura
Physical activity during #Covid pandemic: effects of detraining in #athletes and general population @El_Cavarretta
0
1
3