AMakramalla Profile Banner
Abouelmagd Makramalla Profile
Abouelmagd Makramalla

@AMakramalla

Followers
40
Following
19
Media
1
Statuses
23

University of Cincinnati, Associate Professor

Joined August 2018
Don't wanna be here? Send us removal request.
@stephkimMD
Stephanie Kim, MD, PhD
3 years
Thanks for all your hard work and enthusiasm @lee_eleanor1 and @lindsay_hartje ! So glad to collaborate with the next generation of IR's #womeninIR #iRAD #MedEd
@SIRRFS
SIR RFS
3 years
Day in the Life of an IR, Episode 19! Follow along as Dr. Stephanie Kim (@stephkimMD) walks us through a day at University of Cincinnati IR! Filmed, coordinated, & edited by @Lee_Eleanor1, MS1. Additional editing by @Lindsay_Hartje, MS3 Link: https://t.co/JffoIY36Jr
0
5
24
@uc_vir
University of Cincinnati Interventional Radiology
3 years
"Day in the Life" series, medical students interview, ask interventional radiologists about different themes & aspects of IR. UCIR is a great place to experience interventional radiology! with Dr. @stephkimMD @SIRspecialists @UCRadRes @SIRRFS
@stephkimMD
Stephanie Kim, MD, PhD
3 years
Thanks for all your hard work and enthusiasm @lee_eleanor1 and @lindsay_hartje ! So glad to collaborate with the next generation of IR's #womeninIR #iRAD #MedEd
0
3
13
@AMakramalla
Abouelmagd Makramalla
3 years
0
0
2
@KordAMD
Ali Kord, MD, MPH, MHA
3 years
Our very own PD @uc_vir & @UCRadRes, Dr. Lulu Zhang @Tsubame4182 will give advice on options for unmatched #irad applicants on 3/13/23 on @TheRadRoom ! @SIRRFS @SIRspecialists @uchealth @UCincyMedicine
@TheRadRoom
TheRadRoom
3 years
While we hope all applicants match, we know some will go unmatched. We want to provide support for those applicants through our next webinar. Join us to learn about your options and hear from PDs and past applicants about how to navigate this challenging time.
1
5
26
@BNahabMD
Bashar Nahab, MD, MS
3 years
Excited to share our new publication @uc_vir Cholangioscope Assisted Stepwise Approach to Treat Severe Hepaticojejunostomy Stenosis @KordAMD A. Sriwastwa @AMakramalla @RamChadalavada @CCS_SHELTON @shimulshah73 @SIRspecialists @SIRRFS @SemInterventRad https://t.co/IGOpFrrQ3v
0
7
25
@uc_vir
University of Cincinnati Interventional Radiology
3 years
Outstanding collaborative multidisciplinary multicenter Grand-rounds presented by @NaineshParikhMD from @MoffittNews, hosted by @CincyUrology with Cincinnati #Radonc. #PAE role in prostate Cancer! with @BNahabMD @StruveT_MD & Dr. Kamel @AmerUrological @SIRspecialists #IRAD
1
5
15
@uc_vir
University of Cincinnati Interventional Radiology
3 years
Excellent Choanlgioscopy and biliary interventions panel discussion by @uc_vir #SIR23PHX with @KordAMD @AMakramalla @RamChadalavada @UCRadRes @SIRspecialists
0
3
16
@uc_vir
University of Cincinnati Interventional Radiology
3 years
Excellent DVT discussion with @AMakramalla "when NOT to intervene" and @Lulu_Zhang1049 "The role of IVUS", moderated by Deepak Sudheendra & @RamChadalavada #SIR2023 @SIRspecialists @UCRadRes
1
3
12
@RamChadalavada
Ram Chadalavada, MD, MS, CIIP, FSIR
3 years
Proud of @UCRadRes @uc_health fellow & residents @UCincyMedicine MS2s presenting at #SIR2023
0
3
17
@uc_vir
University of Cincinnati Interventional Radiology
3 years
Great UCIR family dinner, strong #SIR23PHX presence by faculty and trainees. @MichaelASamue1 @Lulu_Zhang1049 @AMakramalla @RamChadalavada @BNahabMD , Klaudio Gjeluciand & Mouhamed Diop. @SIRspecialists @UCRadRes @UCincyMedicine
0
4
17
@uc_vir
University of Cincinnati Interventional Radiology
3 years
Calling all Independent IR applicants #match2023. TONIGHT #IRadRes on Zoom. Virtual Meet and Greet! For registration: https://t.co/wdo5bRgrVI
0
2
2
@MeabdelsalamMD
Mohamed E. Abdelsalam,MD,FSIR
3 years
Sharing our experience @MDAndersonnews on long term outcomes of #renalablation in #CIRSE2022
0
1
5
@uc_vir
University of Cincinnati Interventional Radiology
4 years
IR skills lab for @uofcincy medical students. Great workshop, this time focused on US guided interventions using phantoms. Lead by @Lulu_Zhang1049 and @RamChadalavada with @stephkimMD, @Nahab_IR, # Dr. Viet Le, #Joonhyuk Lee and #Karl Rybka.
1
5
20
@uc_vir
University of Cincinnati Interventional Radiology
4 years
"I feel great!" the patient said. #PAE for urinary retention and significant nocturia (at least once every hour), limited options/surgical interventions, on plavix and Eliquis. 3 months follow up IPSS=5. With @Nahab_IR @UCRadRes @SIRspecialists
0
3
15
@uc_vir
University of Cincinnati Interventional Radiology
4 years
Single session massive PE thrombectomy using 24 F #FlowTriever @InariMedical with @AMakramalla Impressive results @SIRspecialists @UCRadRes
0
16
56
@uc_vir
University of Cincinnati Interventional Radiology
4 years
Massive upper GI bleed meticulously managed by coil embolization, with Dr. Sandeep Sharma #GDAembolization @SIRspecialists @UCRadRes
0
1
3
@uc_health
UC Health
4 years
Today, we are celebrating International Radiology Day by dedicating the day to our interventional radiologists. At UC Health, our team works together to provide world-class care for our complex patients through minimally invasive, specialized procedures.
0
7
29
@uc_vir
University of Cincinnati Interventional Radiology
4 years
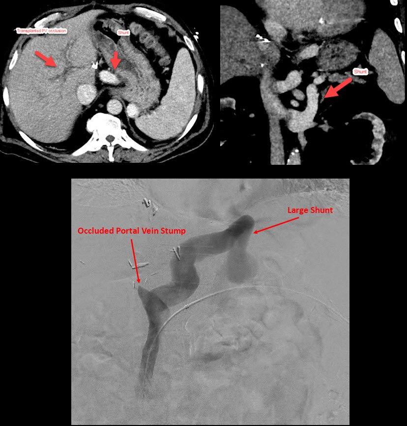
Portal vein recanalization and embolization of large portal-systemic shunt for a patient with liver transplant complicated by PV thrombosis with severe hepatic encephalopathy. HE resolved with maintained liver function. With Dr. Makramalla @AMakramalla @UCRadRes @SIRspecialists
0
2
6
@uc_vir
University of Cincinnati Interventional Radiology
4 years
Direct percutaneous puncture of splenic arterial pseudoaneurysm and glue embolization, performed due to blocked angiographic direct path.​ With Dr. Doan Vu @UCRadRes @SIRspecialists
3
5
44
@uc_vir
University of Cincinnati Interventional Radiology
4 years
Successful suction thrombectomy of Port-catheter associated RA subacute/chronic thrombus in patient with PFO and right-left shunt using #AlphaVac device and #IVUS. No reperfusion needed. With Dr. Zhang @Lulu_Zhang1049 @UCRadRes @SIRspecialists
4
15
41