
AJCP
@AJCPjournal
Followers
3K
Following
235
Media
667
Statuses
3K
The American Journal of Clinical Pathology is a leading anatomic & clinical #pathology journal. 🔬@ASCP_Chicago official publication 👨‍🔬 EIC: @AJCP_EIC
Joined June 2019
Hospital-based recruitment may be an efficient way to prospectively identify donors of convalescent plasma. Learn more here: https://t.co/ZnPd0x2tgI
#bloodbank #transfusionmedicine #COVID19
0
3
8
The findings in this study highlight the need for standardized quality control protocols for ICS devices.
academic.oup.com
AbstractObjectives. Intraoperative cell salvage (ICS) is broadly used in high-risk surgical procedures to facilitate rapid autologous red blood cell transf
0
0
0
These researchers identified highly sensitive and specific exonic markers to detect mismatch repair deficiency by next-generation sequencing.
academic.oup.com
AbstractObjective. To identify exonic markers that could improve analytic performance characteristics of next-generation sequencing (NGS) in detecting mism
0
0
0
In the June issue: Biomarkers of response to antibody-drug conjugates and the immune microenvironment in penile squamous cell carcinoma.
academic.oup.com
AbstractObjectives. We aimed to assess the expression of biomarkers of response to antibody-drug conjugates (TROP2 and nectin-4) and immune microenvironmen
0
4
6
Burkitt lymphoma shows no significant CD47 expression in all 14 cases examined. Learn more here:
academic.oup.com
AbstractObjectives. Recent studies show that blocking CD47-SIRPα interactions is a promising target in checkpoint inhibition for cancer immunotherapy. Howe
0
0
0
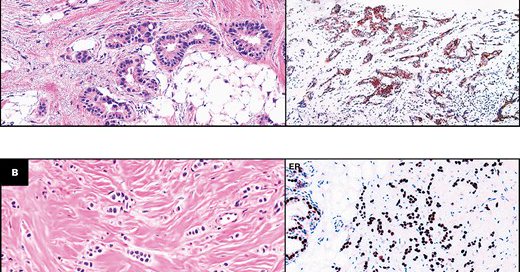
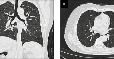
Primary lung salivary gland-type intraductal carcinoma (IC) is very rare; a diagnosis requires pathologic examination because of its nonspecific clinical manifestations.
academic.oup.com
AbstractObjectives. Salivary gland-type intraductal carcinoma (IC) is a rare type of low-grade salivary gland neoplasm. Given that the clinical and imaging
0
0
1
On our sister publication #Lablogatory: the safety culture you've waited for.
labmedicineblog.com
You’ve probably heard that the Fantastic Four are coming back to theaters—again. Marvel is set to release yet another reboot of the beloved superhero team. This will actually be the fifth time this…
0
0
1
In the June issue: Revision of interpretation criteria to define microsatellite instability in mismatch repair–deficient neoplasms with subtle electropherogram changes.
academic.oup.com
AbstractObjectives. To improve analytic performance characteristics of a microsatellite instability (MSI-V1.2) assay in endometrial cancers (ECs).Methods.
0
0
0
Compared with conventional high-grade HER2+ breast tumors, low-grade HER2+ breast carcinomas may represent a distinct subset that could benefit from therapeutic de-escalation strategies.
academic.oup.com
AbstractObjectives. Breast carcinomas overexpressing human epidermal growth factor receptor 2 (HER2) are typically associated with higher tumor grade and f
0
0
1
The pilot program outlined in this paper provides insight into the feasibility of a locally based and locally run PT program. Read it here:
academic.oup.com
AbstractObjectives. To implement a pilot proficiency testing (PT) program in Accra, Ghana, using locally produced PT materials and to explore the relations
0
0
0
Over 90% of HER2 FISH group 2 to 4 breast cancers with equivocal (2+) IHC followed by targeted, blinded second FISH rescoring and final HER2-positive status have less than 50% amplified population of tumor. Learn more here:
academic.oup.com
AbstractObjectives. To investigate the correlation between the extent of (percentage of tumor cells) immunohistochemistry (IHC) staining and final human ep
0
0
0
Open-access paper in the June issue: Coagulation abnormalities following brown recluse spider (Loxosceles reclusa) envenomation.
academic.oup.com
AbstractObjective. Hemostatic abnormalities, including disseminated intravascular coagulation (DIC), are often cited as a common finding in patients follow
0
1
1
Journal CME: Histopathologic and genetic distinction of well-differentiated grade 3 neuroendocrine tumor versus poorly-differentiated neuroendocrine carcinoma in high-grade neuroendocrine neoplasms.
store.ascp.org
Online journal article in Molecular Pathology that offers 1.0 continuing education (CME) credit that can be used to fulfill CC Part II requirements.
0
0
1
On our sister publication #Lablogatory: the safety culture you've waited for.
labmedicineblog.com
You’ve probably heard that the Fantastic Four are coming back to theaters—again. Marvel is set to release yet another reboot of the beloved superhero team. This will actually be the fifth time this…
0
0
1
Journal CME: Revision of interpretation criteria to define microsatellite instability in mismatch repair deficient neoplasms with subtle electropherogram changes.
store.ascp.org
 Online journal article in Molecular Pathology that offers 1.0 continuing education (CME) credit that can be used to fulfill CC Part II requirements.
0
0
1
On our sister publication #Lablogatory: the real scoop on formaldehyde safety.
labmedicineblog.com
If formaldehyde is so dangerous, then why is it still used in the laboratory today? It is so dangerous, in fact, that the United States Occupational Safety and Hazard Administration (OSHA) has a st…
0
0
1
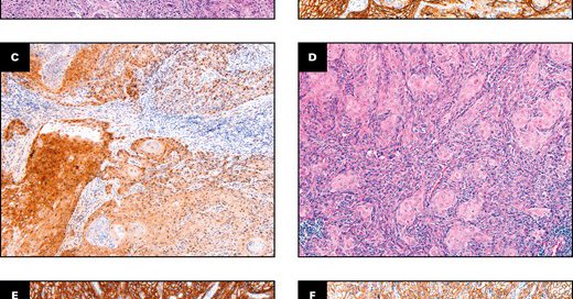
In the June issue: Diagnostic utility of lymphocyte enhancer factor 1 in aggressive B-cell lymphoma with MYC rearrangement.
academic.oup.com
AbstractObjectives. We sought to investigate the diagnostic value of lymphocyte enhancer factor 1 (LEF1) expression in aggressive B-cell lymphomas (BCL) wi
0
0
0
This review aims to assist pathologists in making an accurate diagnosis in high grade neuroendocrine neoplasms. Read it here:
academic.oup.com
AbstractObjectives. The classification of neuroendocrine neoplasms has evolved significantly. In the current World Health Organization (WHO) classification
0
0
0
This case highlights the importance of a re-biopsy when the initial biopsy fails to explain the clinical presentation. Read it here:
0
0
0
The necessity for haptoglobin trimester-specific RIs in the pregnant population needs to be assessed. Learn more here:
academic.oup.com
AbstractObjectives. Pregnancy induces physiologic changes that can affect serologic and immunologic markers, potentially resulting in lower haptoglobin val
0
0
0
In the June issue: High-sensitivity KIT D816V variation analysis by droplet digital polymerase chain reaction.
academic.oup.com
AbstractObjective. Systemic mastocytosis is a hematologic malignancy characterized by clonal expansion of neoplastic mast cells. Detection of this variatio
0
0
0