PubMed.ai
@AIpubmed
Followers
976
Following
2K
Media
1K
Statuses
2K
PubMed AI-powered Search Unlocking insights from medical and biomedical literature with the power of AI Check https://t.co/y9Xd2dBQT0
Joined August 2024
🦠 Viral Matryoshka Dolls are real — and you’re breathing them in. Dive deeper into the science with MedWeekly: https://t.co/b54zXunZz3 Your shortcut to the breakthroughs shaping tomorrow’s medicine. We inhale Aspergillus fumigatus spores every day. What we didn’t expect? Many
0
7
13
⚖️💊 AI Medical Liability Crisis: When Diagnosis Fails, Who Gets Sued? 📰 Read the full breakdown in MedWeekly → https://t.co/b54zXuoxoB Doctor? Hospital? Programmer? Data scientist? The JAMA AI Summit lays out a growing legal vacuum: AI-assisted diagnosis breaks the
0
1
6
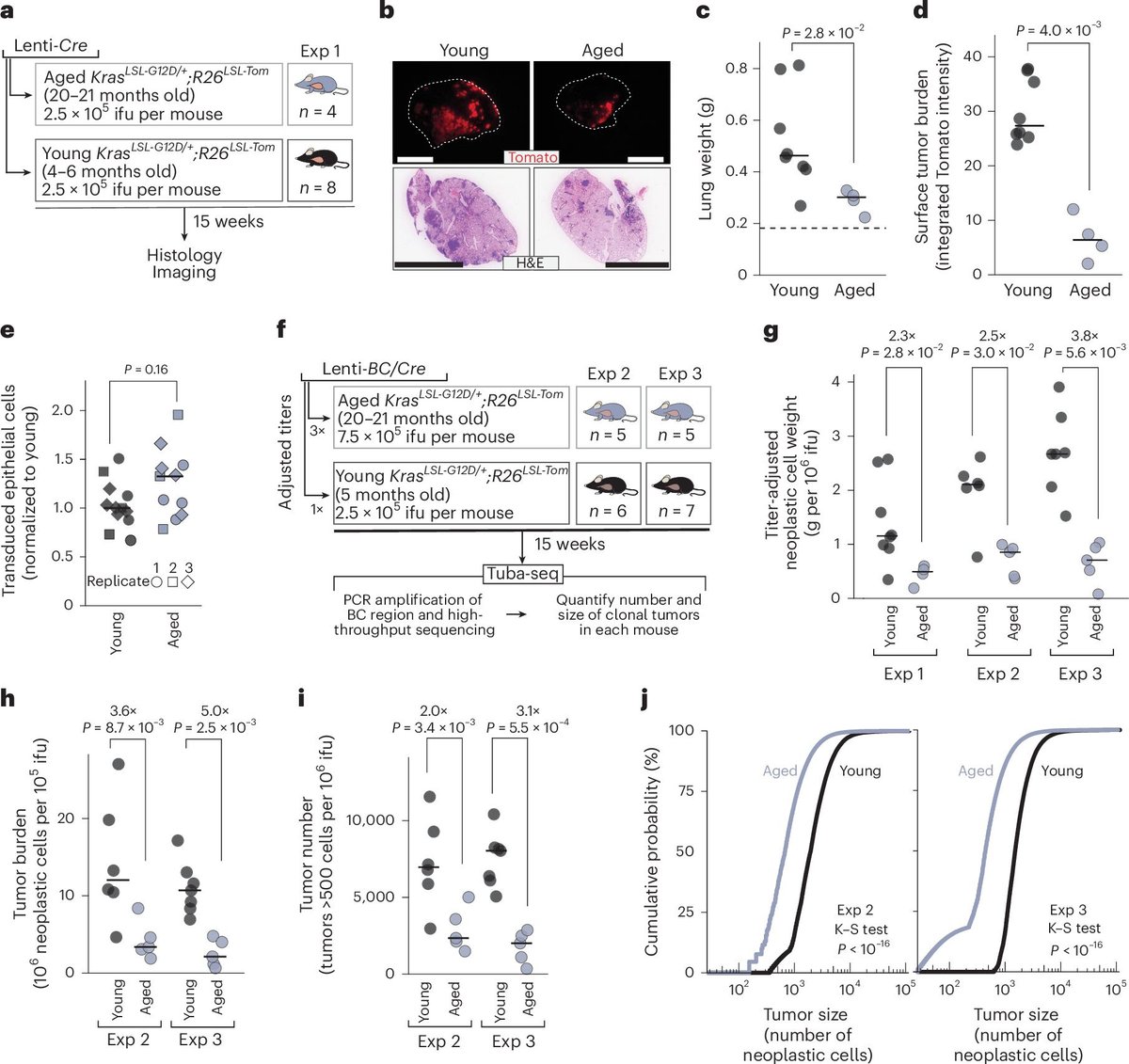
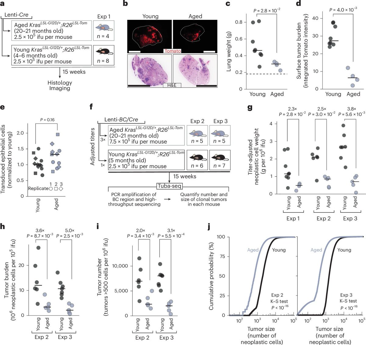
🧬 Want to Spot Breakthroughs Before They Hit the News? This week’s Nature study shows something shocking: extreme aging (90+) can actively suppress cancer initiation — even against KRAS mutations and PTEN loss. https://t.co/naK9karkCb helps you catch insights like this early. No
pubmed.ai
Turn PubMed search results into ready-to-use research reports. PubMed.ai accelerates biomedical research with intelligent search, deep analysis, and automated reporting.
0
1
6
THREAD 🧵 | The Longevity Paradox: Why the Extremely Old Stop Getting Cancer 1/ We’re taught: Aging = higher cancer risk. True… until it isn’t. New Nature Aging research shows cancer incidence plateaus — and may even drop — in extreme old age. https://t.co/TYLLUxZkD3
1
1
4
Restrictive vs. Obstructive Lung Disease - What Do Spirometry and Lung Volumes Show in Obstructive Lung Disease? - What Conditions Fall Under Obstructive Lung Disease? - Why Does Restrictive Disease Make It Hard to Get Air In? Read the full article here:
pubmed.ai
Restrictive lung disease reduces lung volume due to decreased lung compliance, while obstructive lung disease limits airflow because of airway narrowing.
0
2
6
Thumb dance challenge! https://t.co/UT5aCaJG0U
#pubmedai #pubmed #medicalresearch #fyp #medicaltiktok #medlife #researchtips #phd
tiktok.com
Check out Pubmed.ai’s video.
0
1
6
🌱✨ How well do you understand plant genomic imprinting? Explore the science, test your understanding, and use https://t.co/naK9karkCb to dig deeper into the latest epigenetics research faster than ever. We just dropped a new blog explaining how transcription factors actively
How Transcription Factors Shape DNA Methylation in Plant Reproductive Development Find More Research: https://t.co/VnXx8SHkmA Understanding how epigenetic patterns form in plant reproductive tissues is increasingly important, especially as methylation influences fertility,
0
2
7
How Transcription Factors Shape DNA Methylation in Plant Reproductive Development Find More Research: https://t.co/VnXx8SHkmA Understanding how epigenetic patterns form in plant reproductive tissues is increasingly important, especially as methylation influences fertility,
0
2
7
Transcription Factors as Architects of DNA Methylation in Plant Reproductive Tissues Find More Research: https://t.co/VnXx8SHkmA Recent work is redefining how we understand epigenome formation in plants, particularly within reproductive tissues. The new findings highlight a
0
2
8
I just published Transcription Factors Shape DNA Methylation Landscapes in Plant Reproductive Tissues: A New… https://t.co/zSlWroCGTr
0
2
6
Time is money, and https://t.co/naK9karkCb can save your time and money! WIN WIN! #AIFutureLabs #TechDrivenScience #HyperProductiveAI #AIReadingHub #ResearchSuperpower #FutureMedAI #SciTechBoost #AIAmplified #NextGenAIApps #SmartTechTools #AIUnlocked #DiscoverWithAI
0
0
0
Drowning in papers? We’ve all been there. https://t.co/naK9karkCb helps you read less but understand more — summarizing findings, mapping mechanisms, and highlighting what matters most. Save time. Stay curious. Keep learning. Try it here:
pubmed.ai
Turn PubMed search results into ready-to-use research reports. PubMed.ai accelerates biomedical research with intelligent search, deep analysis, and automated reporting.
0
0
0
From Mechanism to Clinic: The Translational Promise of Macrophage-Targeted Immunocytokines Find More Research: https://t.co/VnXx8SGMx2 What makes macrophage-targeted immunocytokines especially exciting is their translational potential. By triggering coordinated activation of
0
0
1
That is what https://t.co/naK9karkCb can do! Come and have a free try! #ClinicalAI #PrecisionMedicine #DigitalResearch #AIMedTools #MedicalKnowledge #SciAI #AIinHealthcare #HealthDataScience #EvidenceAI #ResearchAutomation #LitReviewAI #BioMedTools #ScienceInnovation
0
0
0
Unlock papers faster. Interpret results smarter. https://t.co/naK9karkCb turns complex biomedical research into instant, actionable insights. From mechanistic pathways to clinical evidence, our AI breaks down every study so you can focus on discovery — not data extraction. 🔗
pubmed.ai
Turn PubMed search results into ready-to-use research reports. PubMed.ai accelerates biomedical research with intelligent search, deep analysis, and automated reporting.
0
0
0
Rewiring Immune Networks: Macrophage-Targeted Immunocytokines in Cancer Therapy Find More Research: https://t.co/VnXx8SHkmA Cancer immunity is a systems-level challenge—and macrophage-targeted immunocytokines offer a network-wide solution. By modulating macrophages, these agents
0
0
0
Can boosting NAD⁺ reshape how we treat aging?NAD⁺ precursors are emerging as one of the most intriguing tools in age-related disease research. Find more research here: https://t.co/5y4zdTLp4e Early studies show they can restore declining NAD⁺ levels, sharpen metabolic health,
0
0
1
🧓🧬 Nature: Why Centenarians Rarely Get Cancer What if extreme aging doesn’t raise cancer risk — but suppresses it? 📰 Read more in MedWeekly → https://t.co/b54zXuoxoB Stanford’s new study reveals a paradox: Middle age = rising mutations → rising cancer risk 90+ = tissues
0
4
9