timgregorymd Profile Banner
Tim Gregory Profile
Tim Gregory

@timgregorymd

Followers
36
Following
61
Media
1
Statuses
11

Army neurologist and neuro-oncologist #milmed #neurotwitter #neurooncology

Joined November 2021
Don't wanna be here? Send us removal request.
@timgregorymd
Tim Gregory
2 years
The fascinating intersection of music, neuroscience, listening to the patient, and fighting a brain tumor.
@PracticalNeuro
Practical Neurology
2 years
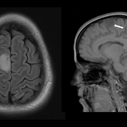
RP experiences #seizure when listening to songs between 80 and 100 bpm. H Kelly, MD, T Gregory, MD @timgregorymd, & J Graber, MD @dr_graber report on a case of #musicogenic #epilepsy & #glioma. @MDAndersonNews @UWNeurology @MadiganHealth @AmEpilepsySoc https://t.co/z31PgHcLTc
1
1
4
@PracticalNeuro
Practical Neurology
2 years
RP experiences #seizure when listening to songs between 80 and 100 bpm. H Kelly, MD, T Gregory, MD @timgregorymd, & J Graber, MD @dr_graber report on a case of #musicogenic #epilepsy & #glioma. @MDAndersonNews @UWNeurology @MadiganHealth @AmEpilepsySoc https://t.co/z31PgHcLTc
Tweet card summary image
practicalneurology.com
0
4
15
@timgregorymd
Tim Gregory
2 years
Nice dataset with the brilliant @NazMajd πŸ™Œ @NeuroNews01
@EditorNeuro
Editor - Neuro-Oncology Advances
2 years
From a single-institution dataset of 200 adult patients diagnosed with #medulloblastoma during 1978–2017, those with recurrence were analyzed for clinical features, #treatment, and #outcome. Learn more about the findings from this #ClinicalInvestigation: https://t.co/kYQr2AWLZr
0
3
4
@timgregorymd
Tim Gregory
2 years
Humbled by this kind sendoff as a recent alumnus. I love getting to do what I do. Thank you @MDAndersonNews @NeuroNews01 https://t.co/ysMXOtlJgG
Tweet card summary image
mdanderson.org
0
3
6
@timgregorymd
Tim Gregory
2 years
Awesome that @DGlaucomflecken came to speak to a bunch of army docs about his life, health, and the biggest healthcare issues we face. Thank you! @MadiganHealth
0
1
3
@MDAndersonNews
MD Anderson Cancer Center
2 years
Glioma and glioblastoma may sound alike, but they are different types of brain tumors. Here, our Dr. Ashley Aaroe shares how they are diagnosed and how that distinction impacts treatment. https://t.co/t3fcGPEzB9 @AshleyAaroe #glioma #glioblastoma #EndCancer
mdanderson.org
Glioma and glioblastoma have similar names. And while glioblastoma is a type of glioma, it's not treated the same way as all other gliomas. Ashley Aaroe, M.D., explains the differences between these...
0
8
12
@NeuroNews01
Stacie Walker
2 years
.@timgregorymd is a #trailblazer as only the second #neurologist in the history of the #UnitedStates #ArmedForcesπŸŽ–οΈ And on this #FourthofJulyπŸ‡ΊπŸ‡Έ, Drs. @VPuduvalli, Shiao-Pei Weathers & the #Neuro #Team #Salute🫑 him for his service to country and his commitment to #EndCancerπŸŽ—οΈ
1
4
5
@timgregorymd
Tim Gregory
2 years
Truly going to miss these fantastic people. What a great 2 year chapter of my career.
@NeuroNews01
Stacie Walker
2 years
#ThankYou Andrew Rodriguez, @anujdp, @timgregorymd, & @KengLam6 for your amazing #dedication as @MDAndersonNews #NeuroOncology #Fellows & for your #research/#efforts in helping to #endcancer. Your #excellence is part of the reason we are #1 in the #nation for #cancer #careπŸ’«πŸŽ—
0
0
4
@timgregorymd
Tim Gregory
2 years
Really excited to be at my first #ASCO23 meeting. I also officially just got my own med school page! https://t.co/Hl3cI2fKkC @USUhealthsci
2
2
11
@NeuroNews01
Stacie Walker
3 years
As #GoGrayMay ends, #ASCO23 begins with #researchers from @MDAndersonNews engaging with peers in the collaboration to #EndCancer. Our #NeuroOncology fellow @timgregorymd, a Conquer #cancer Merit Award Winner, is set to present at the conference!
1
2
8
@KengLam6
Keng Lam
3 years
Obligatory co-fellows photo! #SNO2022 @timgregorymd @anujdp
0
1
4