Explore tweets tagged as #trypsin
@mdlozanoe
Lola Lozano
1 month
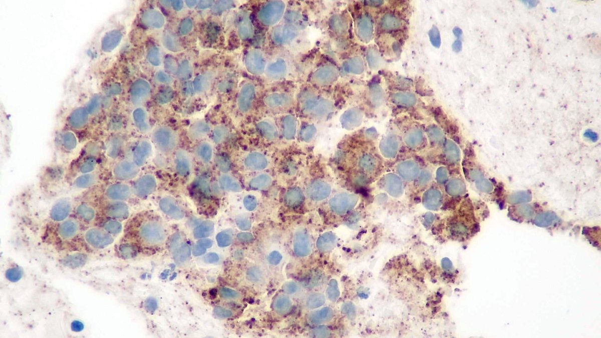
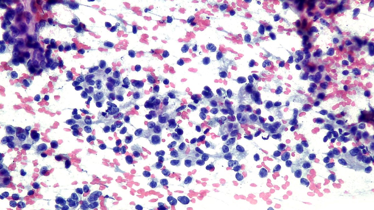
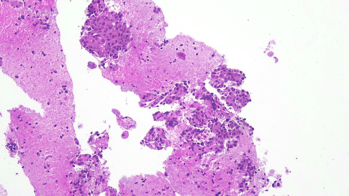
EUS-FNA of pancreas: acinar cell carcinoma. Note the nucleolus in many of the cells🧐🔬. Trypsin positive (CB) @IACytology @cytopathology @JASCJOURNAL @SaudiCytopathol @SEAP_IAP @SECitologia @asocolpat @yalepathology @UMiamiPathology @EfcsYoung #cytopath
1
16
47
@AmarisChemical
Amaris Chemical Solutions
2 days
Trypsin Extra Pure Applications 1)Analytical reagent and laboratory applications 2) Pharmaceutical and diagnostic applications 3) Food industry 4) Cosmetic industry 5) Biotechnological research Call/WhatsApp us on 0700 005590 #trypsinextrapure #laboratorychemicals
0
0
1
@Ph_LamaAlghamdi
Lama Alghamdi
3 days
💊 Limitless Allzyme 📌 مكمل إنزيمي لدعم تقليل الالتهاب والتورم ⚠️ محتوى تعليمي – ليس إعلانًا ولا توصية علاجية 🔬 يحتوي على إنزيمات محللة للبروتين:
🔘 Chymotrypsin
🔘 Trypsin
🔘 Bromelain (مشتق من الأناناس 🍍) 🧪 كيف يعمل؟ يساعد على تكسير البروتينات المرتبطة بعملية الالتهاب،
1
18
136
@Toxins_MDPI
Toxins MDPI
4 days
📋Trypsin cleavage alters CpE structure to enable pore formation. These structural insights could inspire new therapeutics. 💡Title: Structural Basis of #Clostridiumperfringens #Enterotoxin Activation and Oligomerization by Trypsin 🔗Article Link: https://t.co/6tGET6X9aG
0
0
0
@PallaviJumade
PALLAVI JUMADE
9 hours
0
0
0
@miabr0oks
Mia Brooks
17 hours
This is where biotech innovation like Ensysce Biosciences ($ENSC) becomes relevant. They’re developing TAAP™ (Trypsin-Activated Abuse Protection) technology, engineering opioids to activate properly only when taken as intended.
1
0
0
@mswilbv
MS Wil B.V.
13 days
Tryp-N™ (or “N-terminal trypsin”) is a specialized protease that cleaves proteins at the N-terminal side of lysine or arginine residues. It has been demonstrated to yield simplified MS/MS fragmentation and have the best proteolytic activity. Learn more: https://t.co/KRHbi6639E
0
0
0
@itsTrypsin
Peter Ssenyonga Jr
5 days
da Vinci.
1
0
1
@itsTrypsin
Peter Ssenyonga Jr
18 days
Long live life
0
2
5
@favour32695
KENMAC.
1 month
Do you know this drug? It's brand name is KOTASE. But it's actual content is Bromelain and crystalline trypsin. It is mainly used to reduce inflammation on the skin. For example, a swollen feet, finger or skin, all this are being caused by inflammation. So this drug is used.
1
0
1
@networking_king
Kirill Yakovlev
22 days
The Potato Digestion Blocker Link: https://t.co/Oww91ZbIoG Stop eating raw potatoes and beans—they’re blocking your enzymes! Legumes, cereals, and potatoes contain "trypsin inhibitors". #CookingScience #DigestionTips #HealthyEating #FoodFacts #AmazonFinds
0
0
1
@Keshava_Datta
Keshava Datta, Ph.D.
1 month
Did your Trypsin take a sick day? 🤒 We often obsess over mass accuracy and scan speed, but the most sophisticated mass spec in the world can't fix a failed Trypsin digestion. The attached spectrum is a textbook example of Undigested Protein.
1
0
0
@EnsysceBio1
Ensysce Biosciences
14 days
$ENSC Ensysce is developing a new class of “intelligent” opioids built on proprietary platforms designed to reduce abuse and overdose risk. Our TAAP™ (Trypsin-Activated Abuse Protection) technology activates the drug only when taken orally and exposed to natural digestive
0
0
0
@ResearchBiology
Prof. Biology
2 months
@KHefferoncloned @JamieAA_Again The spike protein doesn't exist. They use trypsin to make the cell membrane looks like spike proteins, but it's just a laboratory created artefact.
8
8
28
@itsTrypsin
Peter Ssenyonga Jr
13 days
Just 3 Years here.
0
0
2
@MissSorsbyBio
Miss Sorsby👩🏼‍🔬
19 days
The first time this practical has ever worked for me🙌🏼 Y12 Forensics students investigating the effect of temperature on how long it takes the enzyme trypsin to break down casein - a protein found in milk🧪🥛🤩
0
0
2
@AnnairB69
Marthers🥷
17 days
Trypsin and chymotrypsin
0
0
0
@kermitmurray
Kermit Murray
15 days
(JASMS) [ASAP] Rapid Antibody Structural Characterization and Quantification via Microdroplet Trypsin Digestion https://t.co/t0D54Umtr2 (RSS) #MassSpecRSS #JASMS
0
0
0