Explore tweets tagged as #interact3
@AshuPJadhav
AshuJadhav
3 years
The third Intensive Care Bundle with Blood Pressure Reduction in Acute Cerebral Haemorrhage Trial (INTERACT3): an international, stepped wedge cluster randomised controlled trial https://t.co/8iAMwCywCe
1
22
78
@RafaelReyes_MD
Rafael Reyes-Monge
3 months
El control rápido de la presión arterial es crucial en ICH. Ensayos INTERACT2, ATACH2 e INTERACT3 muestran que reducir la PAS a 130–140 mmHg dentro de la primera hora mejora la función sin aumentar isquemia ni mortalidad. Nuestra última publicación https://t.co/p83l0crEAg
1
22
49
@WorldStrokeEd
World Stroke Academy
2 years
#MondayTip 🩸ICH Dawn of a New Era 🌎"ICH is a devastating disease, causing high rates of death, disability, and suffering across the world" 🎉2023 was a good year in ICH field: INTERACT3 ENRICH ANNEXa-1 💪and 2024 is not disappointing: INTERACT4 SWITCH 🔗 https://t.co/2OOb2Xh0Lg
0
65
138
@StrokeAHA_ASA
Stroke AHA/ASA
3 years
INTERACT3 shows that care bundle addressing BP, glucose, temp leads to improved outcomes among patients with ICH with NNT of 35. #ESOC2023
0
26
69
@neurocirurgiabr
Julio Pereira - Neurocirurgião SP
3 years
Care Bundle Improves Outcome in ICH: INTERACT3 https://t.co/au7OvAYAkF
0
4
0
@ESOstroke
European Stroke Org
3 years
#INTERACT3 implemented an intensive care bundle with BP reduction & management of hyperglycaemia, pyrexia & abnormal anticoagulation for #ICH patients in a stepped-wedge cluster #RCT Compared to standard care, the bundle improved functional outcome in #ICH patients #ESOC2023 👇
2
55
114
@adrianpj1
Adrian Parry-Jones
3 years
INTERACT3 provides strong support to our ongoing implementation of the ABC bundle for ICH in the UK, we hope to expand the project beyond the North of England phase to bring benefits to even more of our ICH patients in the UK and beyond. #ESOC2023
0
14
44
@ZHeart11768530
The Heart
2 years
🔴 Treatment for intracerebral hemorrhage: Dawn of a new era #2024Review #openaccess 🔸🎉2023 was a good year in ICH field: INTERACT3 ENRICH ANNEXa-1 🔸💪and 2024 is not disappointing: INTERACT4 SWITCH https://t.co/Ux5Q4H2Lz2 #Cardiology
0
55
151
@SomaBanerjee73
Soma Banerjee
3 years
Exciting results from INTERACT3 about using an ICH bundle for rapid management of ICH patients. #ESOC23. More data to corroborate using protocols such as the ABC-ICH bundle.
0
2
8
@HectorMezaMD
Hector Meza Comparan, MD
2 years
First Journal Club presentation ✅ Results of the INTERACT3 trial: https://t.co/PWf0XxyqAg #Neurology
1
0
4
@tonynapmdgmail1
tonynapmd
3 years
Care Bundle Improves Outcome in ICH: INTERACT3 https://t.co/ebaovCLFAw
0
0
0
@courtskipharmd
Courtney Makowski
2 years
My PGY2’s (@amayzhanggg ) first ICU journal club of the year on #INTERACT3 🧠 & she did me proud! 1 down! 🥹 #PharmICU @ASHPOfficial
1
0
27
@adnan_mujanovic
Adnan Mujanović
3 years
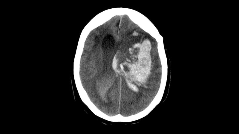
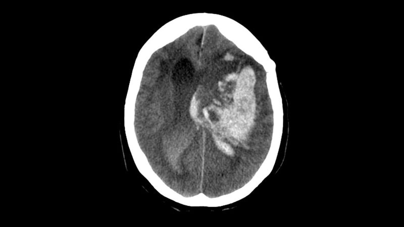
INTERACT3 looked at the rapid blood preasure reduction, anti-pyrexia treatment and reversal of anticoagulation in 7036 patients with acute ICH ➡️ and showed strong effects on 90-Day outcome (0.8, 0.7-0.9). NNT = 35. Congratulations to all the investigators! #ESOC2023
0
15
51
@adrianpj1
Adrian Parry-Jones
3 years
A second positive ICH trial in one session! A care bundle approach improved outcome for ICH patients in INTERACT3. Another fantastic result for ICH care! #esoc2023
0
5
23
@idarmis_reyes
Ida Reyes
3 years
INTERACT3 Felicidades maestros @VaneNigenda @AntonioArauz2 🙌👏👏
0
1
6
@accpemedprn
ACCP EMED PRN
2 years
The prospective, international INTERACT3 results support a bundled ICH protocol to manage ⬆️🌡️, ⬆️BG, abnormal 🩸, and early intensive ⬇️BP to ⬆️🚶status + ⬇️☠️ at 6 months. However, the results may lack external validity due to the studied population. #EMRx #TwitteRx
0
0
8
@Shubham_Neuro
Dr. Shubham Misra शुभम मिश्रा🧠⚛️🇮🇳🇺🇸
3 years
The INTERACT3 cluster randomized trial: Implementation of a care bundle improved functional outcome, reduced mortality, and had fewer serious adverse events in patients with intracerebral hemorrhage. #ESOC2023 #ESOC @ESOstroke
0
0
8
@almuftifawaz
Fawaz Al-Mufti, MD, FSVIN
3 years
The 3rd Intensive Care Bundle w Blood Pressure Reduction in Acute Cerebral Haemorrhage Trial (INTERACT3): A stepped wedge cluster RCT looked at rapid BP reduction, anti-pyrexia Rx & reversal of AC in 7K pts w ICH ➡️ Strong effects on 90-Day outcome (0.8, 0.9)& NNT=35.
2
1
15
@ESOstroke
European Stroke Org
3 years
INTERACT3 will be presented at #ESOC2023! Find out how they randomised clusters of hospitals instead of individual patients. Prof Craig Anderson @georgeinstitute gives a preview: https://t.co/g8GMAnZjBQ Register: https://t.co/YGVkMVfOfb #stroke #strokeresearch #StrokeTwitter
0
5
25