Explore tweets tagged as #Vicks
@DrAkhilX
Dr. Akhil 🇮🇳
14 hours
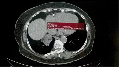
Vicks VapoRub®- chronic intranasal application led to pneumonia in this woman. An 85-year-old woman developed exogenous lipoid pneumonia (ELP), apparently due to long-term intranasal application of Vicks VapoRub® to relieve chronic rhinitis. She was found to have an elevated
7
102
457
@raidenning
silly :3 (vicks)
12 days
caitvi with piercings woohoo
5
388
4K
@AidenKingdom256
AIDEN™️🇺🇬🇺🇲
4 days
I have just discovered Vicks , tamanyi putulu😹😂✊🏾
9
11
41
@StaminaFitnes
Taichi for Health
11 days
Just apply Vicks Vaporub to these 10 places and see what happens 💆
3
135
414
@sweet_robi94933
Robin Sweet
8 days
@ninoboxer Heres a recipe for homemade vicks and electrolytes
4
11
46
@1_mincrafts
1-min crafts 💡
2 days
Apply Vicks vapoRub to these 10 places and see what happens
1
74
280
@mumoraeyes
mum ࣪ ִֶָ☾. k/ia
8 days
VICKS
2
47
515
@te28love1
te28loveʕ•ᴥ•ʔ
5 days
買い出しで杏林堂に来たら、まだVICKSのちいかわコラボがたくさんあった😱 メルカリで売り切れてたの買ったのに… まあ仕方ない😅
0
0
4
@Vicks_AJ
Victor| UI/UX Designer
2 days
Day 1 Introducing to you Quick Bite, a food ordering app built for ease. Here are the onboarding screens, simple, friendly and designed for a smooth start. Let me know your thoughts on this #UIUX #Onboarding #30DaysofDesign #ProductDesign #QuickBite
1
1
5
@KimMS004
Kimberley MSanchez
2 days
Organic Vicks, gusto ko iyan
0
1
3
@harutae1004
haru🧸🍯 ⟭⟬𝙴 𝙰𝚁𝙴 𝙱⟬⟭𝙲𝙺
2 days
ちいかわ繋がりで… VICKS × ちいかわ可愛い💕 3箱入ってるけど喉が弱いからいくらあってもイイ! ケースも可愛いだけじゃなくてカバンの中で迷子にならなくて便利😊 高1息子はうさぎケースを持ち歩いてます😁
0
0
16
@erikadomination
Mistress Erika 🕷🕷🕷
13 days
Vicks front / back 💥💥💥
4
12
38
@ggrks_ver3
自由人@こっちが本垢
3 days
左右で体温違うやないかいw 喉は痛くないけどVICKS美味しい 4日の金杯までには治します(行きたかった)
1
0
5
@UwiriFelix
Uwiringiyimana Felix
21 hours
Apply Vicks vapoRub to these 10 places and see what happens
0
11
15
@Herbalisque
Herbalisque
11 days
Your grandparents knew this trick 🤯 Here’s how people use Vicks for comfort & relief 👇
1
2
13
@meinmokhtar
🔺meingl🔻
11 days
Sapu vicks dekat kepala kote. Betul betul dekat lubang kencing JisuLife Handheld Life 9 https://t.co/dCyyBRrK7x https://t.co/q6MzOpOH0n
35
30
167
@photo_vicks
TOMONORI
2 days
pentax k-1 markIIを持って岡山駅前へ。その2
0
0
3
@keocentric
ദ്ദി૮₍ •᷄ ɞ•᷅₎ა.ᐟ
4 days
VIXX (Korean: 빅스 pronounced "vicks"; acronym for "voice, visual, value in excelsis") is a South Korean boy band formed by Jellyfish Entertainment through the 2012 reality show MYDOL. They are predominantly known as a "concept or performance group" whose music, lyrics, choreogra
2
30
138
@ogiyakkyoku
オオギ@オオギ薬局神田/零売/薬剤師
6 days
vicksの加湿器つかってます。 ヴェポ!
1
0
17