Explore tweets tagged as #EPLab
@EPLabDigest
EP Lab Digest
3 days
Leading Pulsed Field Ablation Integration in a High-Volume EP Program Dr Goyal discusses how Piedmont Healthcare integrated 2 key technologies: the Affera™ mapping and ablation system and the PulseSelect™ pulsed field ablation system (@Medtronic). https://t.co/nY5cdu2OXn
0
3
13
@EPLabDigest
EP Lab Digest
6 days
@NazemAkoum explores how patient-specific, multi-physics simulations—powered by cardiac MRI—go beyond anatomy to reveal fibrotic changes within the atrial wall. Dr. Akoum will be faculty at #WAFib2026—join him and others February 26-28 in Salt Lake City! https://t.co/CKXclJa2UO
0
1
3
@Madina_artishok
Madina
9 days
Eplab yasatvoldim. AI koʻpayib ketgan, no mayli)
@Madina_artishok
Madina
19 days
Dizaynerga nima hohlayotganimni qanaqa tushuntirayapman.
9
0
16
@un11que_m
Bella
9 days
Eplab seplab topgan oʻrtogʻimdan ayrildim sh..
1
0
4
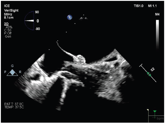
@InvasiveCardiol
Journal of Invasive Cardiology
7 days
The Expanding Role of Intracardiac Echocardiography in EP: Interview With Jason Chinitz, MD Dr Chinitz discusses the central role of ICE in advancing procedural safety, efficiency, and operator control. https://t.co/miQHRKY7hZ @PhilipsHealth
1
0
2
@ModulateHF
Impulse Dynamics
4 days
Bridging the gap in heart failure care! In this EP Lab Digest featured article, Dr. Steinhaus and Dr. Fendler reveal the positive impact of a collaborative approach, over a sequential one, in the management of heart failure. Read more.
0
1
3
@EPLabDigest
EP Lab Digest
8 days
What’s next after failed PFA? Frank Cuoco, MD, MBA, MS, previews his upcoming roundtable discussion at @westernAFib, discussing the real-world decision-making clinicians face. Join us Feb 26–28, 2026, in Salt Lake City at #WAFib2026! https://t.co/OyHnwOPQiv @nmarrouche #EPeeps
0
3
5
@Sunnat_SA
Sunnat
9 days
Kimnidir nimagadir ko'ndirish kerak bo'ladigan payt shunaqa zo'r eplab qo'yaman, o'zimga qoyil)
0
0
3