Explore tweets tagged as #DCIs
@learnlooklocate
learnlooklocate
1 month
DCIS. Stage 0 breast cancer. Those words can feel confusing, minimizing, and overwhelming — all at the same time. This is education designed to meet people where they are. #dcis #DCIS #ductalcarcinoma #breastcancer #breastcancerawareness
0
0
0
@ariabdullah1978
Ari M
1 month
Clear cell Paget disease of nipple with high grade DCIS showing clear cell changes, couldn't resist sharing it with you #PathX #PathTwitter
0
15
49
@VickeryJasmine
Jasmine Vickery
1 month
The moment high grade DCIS becomes an invasive carcinoma floating in mucin! #breastpath #pathx #PathTwitter
3
8
32
@RazaHoda
Raza Hoda MD
2 months
Case of Ductal Carcinoma In-Situ (DCIS) 🍪🔬 ☑️ Neoplastic epithelial proliferation confined to ducts and lobules ☑️ May show variety of architectural patterns, like solid and cribriform 👇 ☑️ Graded by nuclear atypia #PathX #PathTwitter #breastpath
0
17
58
@RazaHoda
Raza Hoda MD
11 days
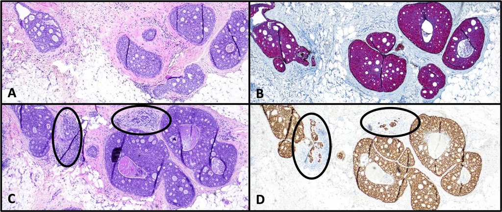
Case of Apocrine Ductal Carcinoma in Situ (DCIS) 🌸🔬 Apocrine DCIS displays hallmarks of apocrine differentiation with marked cytologic atypia and central necrosis. Some have suggested a size threshold of 4 mm extent for the diagnosis. #PathX #PathTwitter #breastpath
1
15
44
@PreludeDx
PreludeDx
16 days
“DCIS wasn’t a journey for me — it was a nightmare.” After multiple surgeries and nonstop treatment decisions, Beth shares how DCISionRT® helped her navigate her DCIS diagnosis and learned to advocate for herself. Read her full story on our blog: https://t.co/jJkO3kZbLo
1
2
3
@PreludeDx
PreludeDx
2 months
“The DCISionRT assay is adding information that is completely novel.” Dr Atif Khan, Radiation Oncologist @MSKCancerCenter. Full Presentation from #ASTRO25: https://t.co/AeFAggkoTA #DCIS #PreludeDX
0
1
2
@Miss_Royal73
𝒮𝒶𝓃𝓃𝑜🌪
1 month
Zijn vele #borstamputaties voor niets geweest? 🧐#DCIS #kanker
26
155
257
@Cuarious_
ℭ𝔯𝔦𝔪𝔰𝔬𝔫 🩸
21 days
Mmmm vs dcis
2
0
6
@RazaHoda
Raza Hoda MD
1 month
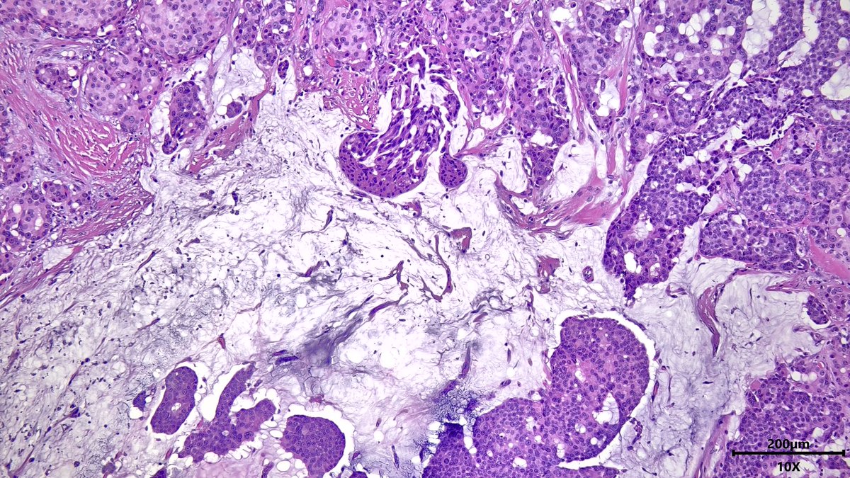
Case of Malignant Adenomyoepithelioma ☯️🔬 This biphasic tumor can display malignant epithelium and/or myoepithelium within and extending from the lesion. This example👇 shows high-grade DCIS and metaplastic spindle cell carcinoma. #PathX #PathTwitter #breastpath
0
13
42
@riakraftmd
Ria Kraft, MD
24 days
More amazing talks from #ACRO2026 breast session! Big takeaways: - Ahead of NRG BR008, NCDB analysis suggests OS benefit to RT even in low risk Her2+ pts - Ongoing studies to delay SGY for DCIS patients, and prospective studies for omitting RT for low genomic risk DCIS
0
3
6
@ChelseaMehr_MD
Chelsea, MD
20 days
🔍 This figure serves as a reminder that microinvasion is focal. In high-grade DCIS especially, examine every slide—including ER/PR—to ensure focal invasion isn't overlooked. Arch of Path & Lab Med 148, 1; 10.5858/arpa.2022-0467-RA #Pathology #Breastpath #PathX #PathTwitter
1
5
28
@d_stock07734
d_stock
1 month
$NWBO Dendritic Cell Vaccination Enhances Immune Responses and Induces Regression of HER2pos DCIS Independent of Route: Results of Randomized Selection Design Trial Lea Lowenfeld; Rosemarie Mick; Jashodeep Datta; Shuwen Xu;Elizabeth Fitzpatrick; Carla S. Fisher; Kevin R. Fox;
0
4
43
@mmejendouglas
Jennifer Douglas
2 months
Only you can make the surgery decision that feels right for you. When we are offered a choice between a lumpectomy or a mastectomy by our breast cancer team, it can feel overhwelming. These 3 questions can help you find clarity during your DCIS decision-making process. Sending
0
1
2
@mmejendouglas
Jennifer Douglas
30 days
AI promises to revolutionize breast cancer care – and it will help. But after my DCIS journey, here's what no one's saying: human connection turns data into decisions that feel right. AI can help. But it cannot replace our medical team and the expertise and compassion they
0
0
2
@mmejendouglas
Jennifer Douglas
2 months
My mammogram results are… Normal. 🎉🎉🎉🎉🎉 Birads 2. 💕 Thankful for the quick results, and the effective treatment of my DCIS 6.5 years ago!🎊 Here’s to a great 2026!!!!
2
0
5
@DoD_IG
DoD Office of Inspector General
2 months
📣Calling all 1811s. The Defense Criminal Investigative Service (DCIS) has an opening in Anchorage, Alaska. DCIS is the law enforcement arm of the DoD Office of Inspector General. Please send your resumé to DCISRecruitment@dodig.mil by COB Friday, January 16, 2026.
1
2
7
@SurveyorOfKenya
Survey Kenya 360⁰
1 month
A surveyor must always explore. To X DCIs, how do you tell the difference between Dubai Sand Dunes and Mambrui Sand dunes in Malindi?
2
1
24
@dcis280039
dcis
1 month
Contacten a su guerrero favorito 🥵🥵🥵🗣️🗣️🔥🔥
0
0
0