GreenJournal Profile Banner
Neurology Journal Profile
Neurology Journal

@GreenJournal

Followers
98K
Following
3K
Media
7K
Statuses
20K

Neurology is the most widely read and highly cited peer-reviewed neurology journal. It is the medical journal for the American Academy of Neurology.

Minneapolis, MN
Joined July 2009
Don't wanna be here? Send us removal request.
@GreenJournal
Neurology Journal
3 hours
Teaching NeuroImage: Isolated Hypoglossal Nerve Palsy: From Tuberculous Abscess https://t.co/K1N0nK0eKn
1
2
10
@GreenJournal
Neurology Journal
6 hours
In the latest Neurology Education Teaching NeuroVisual, Zelikovich and colleagues break down interpreting nerve conduction studies into a 5-step guide: https://t.co/TU7v5mCMGY #NeurologyEd @aszelikovich @gabifpucci @MarcusVPinto
0
10
26
@GreenJournal
Neurology Journal
10 hours
Read the associated editorial:
neurology.org
0
0
0
@GreenJournal
Neurology Journal
10 hours
Associations of Late-Onset Epilepsy With Myocardial Infarction and Nonstroke Vascular Death: https://t.co/jMkQHck4yw
2
4
18
@GreenJournal
Neurology Journal
12 hours
From Neurophobia to Neuroanxiety: Between Metaphor, Semantics, and Pedagogy https://t.co/yVcvg7l5tY
0
1
7
@GreenJournal
Neurology Journal
1 day
Neurology Podcast: Dr. Alex Menze and Prof. Hakan Cetin discuss the need to reevaluate the approach to diagnosing and treating seronegative #MyastheniaGravis. Listen now: https://t.co/jo5NuiZXfU #NeuroTwitter #NeuroX
2
1
12
@GreenJournal
Neurology Journal
1 day
In this study the authors assessed the role of neuroimaging in identifying patients with particular susceptibility to #IschemicStroke or intracerebral hemorrhage, with the potential to enable individualized risk stratification: https://t.co/RFLrVGrafe #NeuroTwitter @SimonFaHo
3
16
61
@GreenJournal
Neurology Journal
1 day
Read the related editorial:
neurology.org
0
1
1
@GreenJournal
Neurology Journal
1 day
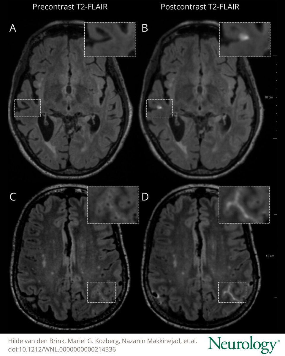
In Vivo Imaging of Blood-Brain Barrier Leakage Using a Contrast Agent in Patients With Cerebral Amyloid Angiopathy https://t.co/PfvVlycJ6m #NeuroTwitter #NeuroX
2
6
38
@GreenJournal
Neurology Journal
1 day
Right Brain: Finger–Nose, There and Back Again https://t.co/0hEagKKVYv #NeuroTwitter #NeurologyRF
0
1
13
@GreenJournal
Neurology Journal
2 days
Natural History and Clinical Associations of Plasma Vascular Endothelial Growth Factor A: Changes After Traumatic Brain Injury https://t.co/ILcTfnTeTM
0
7
11
@GreenJournal
Neurology Journal
2 days
Chronic heavy alcohol use may accelerate cerebral small vessel pathology and contribute to both occurrence and severity of intracerebral hemorrhage, possibly through alcohol-related vascular injury and hemostatic alterations: https://t.co/spyMBv1lG3
2
4
13
@GreenJournal
Neurology Journal
2 days
Review: Promising Effects of CAR T-Cell Therapy in Refractory Stiff Person Syndrome and a Hopeful Future for All Neuroautoimmunities https://t.co/CL8jtosOqZ
1
10
35
@GreenJournal
Neurology Journal
2 days
Test your clinical reasoning in this case of a 24-year-old man with persistent spontaneous dizziness: https://t.co/9cxGm5oYx5 #NeurologyRF #NeuroTwitter
11
21
82
@GreenJournal
Neurology Journal
3 days
What’s next in neurology? Discover the research shaping tomorrow’s breakthroughs in the current issue of Neurology journal: https://t.co/wl2uOcfvEe
1
3
14
@GreenJournal
Neurology Journal
3 days
Class II evidence that levetiracetam is associated with a lower risk of #seizure rehospitalization compared with valproic acid in patients with post-stroke seizures: https://t.co/viJi278Ty2
1
29
117
@GreenJournal
Neurology Journal
4 days
Congenital central hypoventilation syndrome (CCHS) is a rare breathing disorder, predominantly caused by deleterious alterations in the PHOX2B gene. This report in Neurology Genetics describes a rare case with PHOX2B-negative CCHS: https://t.co/bMpncKBVJR #NeuroGenetics
0
4
15
@GreenJournal
Neurology Journal
4 days
In the latest Resident & Fellow blog, Mitigating Pain and Suffering: Acquiring the Skills for Challenging Conversations, Dragomir & Swerdloff reflect on a resident’s growth in judgment and empathy while leading a difficult family discussion: https://t.co/audtKtcJ4K #NeurologyRF
1
1
9