ebtsai Profile Banner
Emily B. Tsai, MD Profile
Emily B. Tsai, MD

@ebtsai

Followers
187
Following
156
Media
13
Statuses
439

thoracic imaging @StanfordRad || alumna of @StanfordMed & @CUSEAS || trained at @UCLAHealth || mom of 👦🏻👦🏻🐶

Stanford, CA
Joined February 2009
Don't wanna be here? Send us removal request.
@ebtsai
Emily B. Tsai, MD
3 years
Check out the newest #Diagnosis and you might see a familiar name 😉
@nytimes
The New York Times
3 years
One of the first things she noticed was how she had to keep clearing her throat. Then she started to feel winded on stairs. A flurry of tests narrowed down the cause.
0
0
8
@francisdeng
Francis Deng, MD
3 years
Trends in residency applicant numbers by specialty, updated with final ERAS data through pre-SOAP Happy #Match2023 week!
23
198
841
@ebtsai
Emily B. Tsai, MD
3 years
Great pearls from #STR2023
@thoracicrad
Society of Thoracic Radiology
3 years
Chest CT can be useful for identifying lung infection as a cause of febrile neutropenia & might limit the differential diagnosis of infection cause. Dr. Jeffrey Kanne from @UWiscRadiology takes #STR2023 on a great review of chest imaging in the setting of febrile neutropenia.
0
0
1
@messidude
Rajesh Niti
4 years
Good Morning #BayArea . Here is a cost vs rating analysis of the 140+ #ramen restaurants [bigger dot = more reviews]. Use link below to find your favorite restaurants. https://t.co/gGeJsu8FVA #foodie #foodblogger #SFO #japanesefood #California #food
15
55
213
@ebtsai
Emily B. Tsai, MD
4 years
Near-drowning pulmonary edema in a surfer 🏄‍♀️
0
0
4
@ebtsai
Emily B. Tsai, MD
4 years
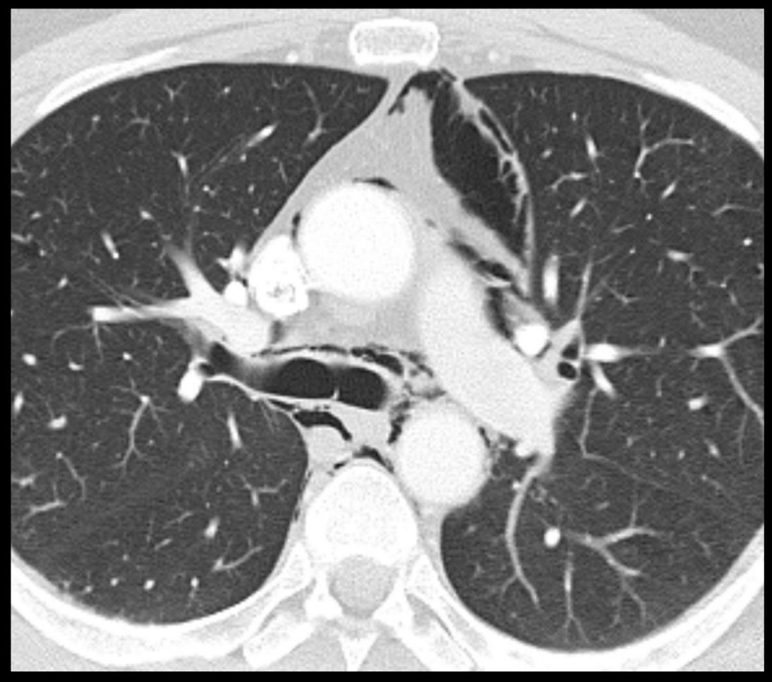
Pneumomediastinum in a scuba diver 🤿
1
0
5
@ebtsai
Emily B. Tsai, MD
4 years
Lung contusion and laceration in a football player 🏈
1
0
3
@ebtsai
Emily B. Tsai, MD
4 years
Had a great time presenting with current and former @StanfordRad colleagues on this very special day! #ARRS22 #MayThe4th Check out some cases from my talk 👀
2
0
18
@ebtsai
Emily B. Tsai, MD
5 years
“We can do better... We can resist reduction. We can resist sensationalism. We can be cognizant of the ways in which racism and misogyny are inextricably linked. We can try to start dismantling these centuries’ old biases we share as a culture.” @karissachen #StopAAPIHate
@NBCNewsTHINK
NBC News THINK
5 years
The Asian women killed in Atlanta were more than the stereotypes that made them targets, writes @karissachen. Each women killed was old enough to be the alleged shooter's mother or grandmother, but "massage parlor" evokes a stereotype we must eliminate:
0
0
4
@thoracicrad
Society of Thoracic Radiology
5 years
Hope you enjoyed this year's live tweets! They represented only a small % of all the superb content from #STR2021. We've assembled these live tweets into a single PPT file you can download: https://t.co/zP0Qf5Jo0S Each infograph's tweet text is included as a "presenter note".
12
35
105
@ebtsai
Emily B. Tsai, MD
5 years
Newly updated USPSTF #lungcancer #screening guidelines: * Age range now 50-80 years (starting age lowered from 55 to 50) * 20 pack-year smoking history (lowered from 30) * Still applies to current smokers or former smokers who quit within the past 15 years (no change)
@ellakaz
Ella Kazerooni 〽️
5 years
Check out the full 2021 USPSTF updated lung cancer screening guideline with the data and explanation behind it @NLCRTnews @RadiologyACR @thoracicrad
0
0
2
@thoracicrad
Society of Thoracic Radiology
5 years
Our 3rd Annual STR Resident Bootcamp is just a few hours away, and starts this Saturday morning at 10:00AM EST / 7:00AM PST. It's free for all trainees, and it's not too late to register at: https://t.co/xPcIOHgoZt. Here's the schedule (all times Eastern): #STR2021 #RadRes
1
9
18
@MichaelGalvezMD
Michael Galvez, MD
5 years
Watching the first Latino Senator in Cali replace the ONLY Black female Senator in the U.S. reminds me of watching a residency class graduating and seeing new interns come in with the same amount of minimal to nada diversity. Ya feel me? #MedTwitter #DiversityDrivesExcellence
2
6
58
@ebtsai
Emily B. Tsai, MD
5 years
Just what I was looking for! Thanks for sharing.
@jonherochung
Jonathan Chung, MD
5 years
Frustrated your RSNA videos can't be played at 1.5x or 2x? Easily addressed. Grab this easy to use Chrome extension: https://t.co/q3KfteCJej Kudos to @francisdeng for bringing this to my attention. #RSNA20 #RSNA2020 @RSNA @UChicagoRADS
0
0
1
@abe_verghese
Abraham Verghese
5 years
Reading Murukami last few days. ”And once the storm is over, you won’t remember how you made it through . .. But one thing is certain. When you come out of the storm, you won’t be the same person who walked in. That’s what this storm’s all about.” From Kafka on the Shore
9
127
507
@GambhirLab
Gambhir Lab @ Stanford
5 years
Sam would speak of life as a train journey. We are all honored to have shared some of the journey with him. While Sam has left the train, his legacy continues. We will all miss him so much. @StanfordMIPS @StanfordRad @CanaryCenter @StanfordPHIND @StanfordMed
13
124
626
@ebtsai
Emily B. Tsai, MD
6 years
It’s important for us to recognize the various patterns of #COVID19 on CT, but as @thoracicrad and @RadiologyACR have stated, CT should NOT be used as screening. #FOAMrad #FOAMed
@thoracicrad
Society of Thoracic Radiology
6 years
To help familiarize radiologists with the chest CT appearance of #COVID19, RAIOSS & Livon Saúde have begun publicly sharing complete chest CT stacks (scrollable, window/level-able) of confirmed cases for educational and training purposes. https://t.co/5jVbEQQnzE
0
0
1
@ebtsai
Emily B. Tsai, MD
6 years
Congrats to @alexbrattmd, our former fellow, and Zaid Haddadin who was mentored by another former fellow, Arash Bedayat, for their presentation awards at STR’s annual meeting!! 👏 👏 👏 #thoracicrad2020 @thoracicrad @StanfordRad
0
0
5
@StanfordRad
Stanford Radiology
7 years
Today is the start of Asian American Heritage Month. To mark this wonderful occasion, here's an incredible photo from 1885 of women from India and Japan, as well as Syria, who studied in America to become doctors. They blazed a path for many to follow. What an inspiration!
1
264
547
@ebtsai
Emily B. Tsai, MD
7 years
@LoriDeitte
Lori Deitte MD
7 years
Grateful to our ⁦@ARRS_Radiology#CEDP 2019 participants for being so awesome! Honored to help teach #CEDP with ⁦@apkamer⁩ ⁦@DavidNaegerMD⁩ and Travis Henry. ⁦@ReedOmary⁩ ⁦@VUMCradiology⁩ ⁦@theAPDR⁩ ⁦#RadEd #FacultyDevelopment #MedEd
0
0
6