ThiemePlasticS Profile Banner
Thieme Plastic Surgery Profile
Thieme Plastic Surgery

@ThiemePlasticS

Followers
401
Following
212
Media
296
Statuses
470

Follow us to keep on top of Thieme’s latest plastic surgery publications.

Joined August 2021
Don't wanna be here? Send us removal request.
@ThiemePlasticS
Thieme Plastic Surgery
1 year
We're celebrating an increase of impact factors across our #plasticsurgery journals: Facial Plastic Surg: 1.1 J Reconstr Microsurg: 2.2 Sem Plastic Surg: 2.3 Enjoy free access to the most cited articles: https://t.co/qHWi6J93XW https://t.co/mTEZlPXPrk https://t.co/6ewHfJqVTf
0
1
4
@ThiemePlasticS
Thieme Plastic Surgery
10 months
#Esthetics of Facial Reconstruction following #Mohs #Surgery Guest Editor: James F. Thornton https://t.co/tNG4tDqX9Q #plasticsurgery #MedTwitter
0
0
0
@drroykim
Roy Kim 🇺🇸
10 months
💉 General vs. Sedation Anesthesia for Breast Augmentation 🛌 Your choice of anesthesia impacts safety & comfort. Learn the differences and find the best fit for your procedure. READ HERE: https://t.co/BxKJSsQZ71 #BreastAugmentation #PlasticSurgery #Anesthesia #PatientCare
1
2
5
@ThiemePlasticS
Thieme Plastic Surgery
10 months
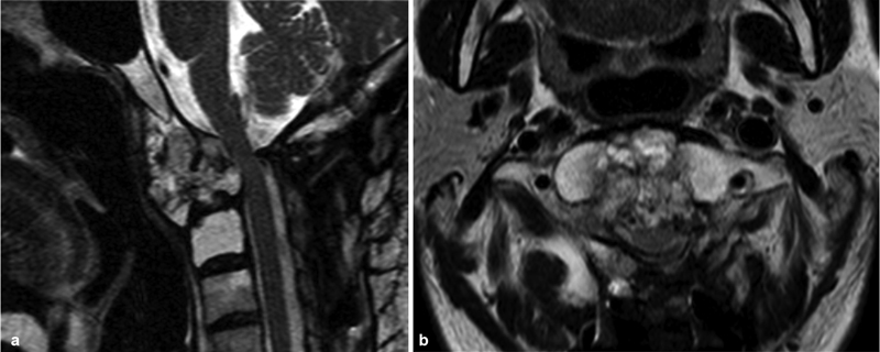
Case Report Recurrent Axis #Chordoma after Carbon ion Therapy Necessitating Reconstructive #Surgery with Osteocutaneous Radial #Forearm Free Flap: https://t.co/irhzGZWoj8 Chordomas originate from remnant tissue of the notochord during embryonic development, with a relatively low
0
0
0
@scarfreeworld
Scar Free Foundation
10 months
Today we got to present @scarfreeworld & @SwanseaUni's 3D Bioface project at @AMRC's #CharityShowcase25 - complete with 3D printed ears! Honoured to be selected as 1 of the 5 charities chosen to showcase their research at @HouseofCommons 🧬
@AMRC
AMRC
10 months
And that's a wrap! Thank you to everyone who came along to our Medical Research #CharityShowcase25! A special thank you to our wonderful showcases, from @ParkinsonsUK, @scarfreeworld, @RetinaUK, @PancreaticCanUK, @heartresearchuk & @LDShospcharity!
0
1
6
@ThiemePlasticS
Thieme Plastic Surgery
11 months
Original Article Microsurgery in Motion: An Objective Assessment of #Microsurgical Skill and Efficiency by @SarahLyonMD https://t.co/HnMOakmM8v Background  High levels of precision, as well as controlled, efficient motions, are important components of microsurgical technique and
0
0
0
@ThiemePlasticS
Thieme Plastic Surgery
11 months
Original Article #Tendon Transfer Procedures for Correction of #Foot Drop Due to Injury to the Peripheral Nerves or #Muscles https://t.co/AauQtUK02F Background  Foot drop is a challenging condition that significantly impacts the affected patient's mobility and quality of life.
0
0
1
@ThiemePlasticS
Thieme Plastic Surgery
11 months
Letter to the Editor Reconstruction of #Dorsal #Toe #Ulcers Using Reverse Dorsal Cross-Toe #Adipofascial and Transposition Flap https://t.co/sD4iF0muEe #plasticsurgery #MedTwitter
0
0
0
@ThiemeIntl
Thieme International
11 months
🆕Essentials of #AestheticSurgery: Q&A Companion provides physicians with a superb learning tool. More than 760 high-yield questions enhance acquisition and retention of knowledge. Learn more! ➡️ https://t.co/efmla5bjRf
0
3
6
@ThiemePlasticS
Thieme Plastic Surgery
11 months
For authors publishing Open Access: be sure to check our Funding Agreements for discounted or free Open Access publishing options at https://t.co/HdXm8yX52X #OpenAccess #plasticsurgery #MedTwitter
0
0
1
@ThiemePlasticS
Thieme Plastic Surgery
1 year
Original Article Locking Volar Plate in Distal Radius Fractures: Minimally Invasive Technique versus Conventional Technique https://t.co/N86B2JkHma Introduction  In recent years, surgery has gained relevance in the treatment of distal radius fractures (DRF). Among the surgical
0
0
1
@scarfreeworld
Scar Free Foundation
1 year
"We have developed in every area of the charity, pushing the understanding of the science, funding new research & developing exciting new prospects" @scarfreeworld Chief Exec., Richard, chooses his 2024 highlights - and reveals what 2025 has in store! 🧬 https://t.co/Sih8rwCcsA
0
1
1
@ThiemePlasticS
Thieme Plastic Surgery
1 year
Original Article Incisionless #Otoplasty: Current State of the Art https://t.co/5S5FRfgtox Prominent ears, also known as prominauris, inflict psychological distress and suffering on both children and adults. Otoplasty has become one of the most common aesthetic operations due to
0
0
0
@DrJamesKKChan
James Kwok-Kwan Chan
1 year
Robotic Microsurgery is certainly a hot topic. Here Shan Shan Qiu shared her team’s experience of robotic surgery for lymphatic reconstruction: https://t.co/CU4gxy9Hb5
0
2
2
@thesurgjournal
The Surgery Journal
1 year
The objective of this study was to assess the accuracy and completion of the #WHO #Surgical Safety Checklist: https://t.co/ZfHfg2MhTE #surgery #openaccess #MedTwitter
0
1
1
@ThiemePlasticS
Thieme Plastic Surgery
1 year
You can renew your personal journal subscription at https://t.co/KppeMmWfsx For institutional subscriptions, please contact Institutional Sales for pricing at esales@thieme.com or reach out to your librarian at your institution.
0
0
0
@ThiemePlasticS
Thieme Plastic Surgery
1 year
Review Article Practical Considerations in Computerized #Surgical Planning for #Frontofacial #surgery https://t.co/oWVAFfjRO1 The field of frontofacial surgery has advanced considerably, building on the pioneering techniques of Paul Tessier, with computerized surgical planning
0
1
1
@scarfreeworld
Scar Free Foundation
1 year
The *biggest* thank you to everyone who took part in double donations for the first week of our Christmas Appeal! ✨ You raised an incredible £71,219, including gift aid! We couldn't have asked for a better Christmas gift to accelerate scar free research! https://t.co/jem2uKYADB
0
1
3
@ThiemeIntl
Thieme International
1 year
🔔Don't miss any updates! Sign up to our email newsletters to get new product announcements, journal highlights, sales, and more! You can choose between many different specialties to receive the information that is most relevant to you. ➡️ https://t.co/6VRMQz4muD
0
1
1
@ThiemePlasticS
Thieme Plastic Surgery
1 year
Original Article Postoperative Protocols for Lower Extremity Free Flap Reconstructions: Literature Review and a National Survey of the United Kingdom's Major Trauma Centers https://t.co/GjX1kHZ9Cz Background  Evidence for postoperative care of lower extremity free flap
0
0
0
@ThiemeIntl
Thieme International
1 year
At Thieme, we're committed to advancing the responsible use of #AI in #healthcare by combining trusted medical knowledge with cutting-edge technology. Learn more about our ongoing efforts to transform patient care. #MedicalResearch #InnovativeCare https://t.co/7TE3hYOjKc
0
3
2