Hyungbae_Kwon Profile Banner
Kwon_Lab@JHU Profile
Kwon_Lab@JHU

@Hyungbae_Kwon

Followers
154
Following
297
Media
1
Statuses
86

Neuroscientist, Associate Professor at JHU, Memory tagging and reconstitution, Circuit assembly, Synaptic connectivity, Cognitive Learning, Tool development

Baltimore
Joined May 2024
Don't wanna be here? Send us removal request.
@marykaylobo
Mary Kay Lobo
8 months
See the amazing line up of speakers for the Catecholamines GRC! Apply for GRC https://t.co/Q9NL4ECZ7M & GRS https://t.co/hujWjNb7W4. In these uncertain times we appreciate any donation to support the participants in the GRC https://t.co/TeH1vGbA9M & GRS https://t.co/0IRaVNOAba
1
9
44
@k_hammer_1001
Kenichiro Nagahama
9 months
Happy to share our latest review paper in Current Opinion in Neurobiology @ELSneuroscience! We overview “current” activity-dependent tagging systems in neuroscience and discuss the future perspectives. Feel free to download the PDF until April 27! https://t.co/csprNJj3hS
5
12
70
@yaochen20
Yao Chen
10 months
🧠 Curious about neuromodulator interactions or how sleep works its magic? Apply to our lab @WashUMedNeuro as a postdoc to bridge cellular & systems neuroscience by decoding biochemical signaling dynamics in the brain! Please RT. #Neuroscience #PostdocOpportunity #BrainResearch
@WashUMedNeuro
WashU Medicine Neuroscience
10 months
🚨Job Alert 🚨 Postdoctoral Research Associate (Chen Lab) @yaochen20’s interdisciplinary lab in the Department of Neuroscience at WashU Medicine seeks a motivated postdoctoral researcher to join the team. Learn more and apply: https://t.co/NSgK8l507y
2
13
36
@Hyun_neuron_10
Jung Ho Hyun
10 months
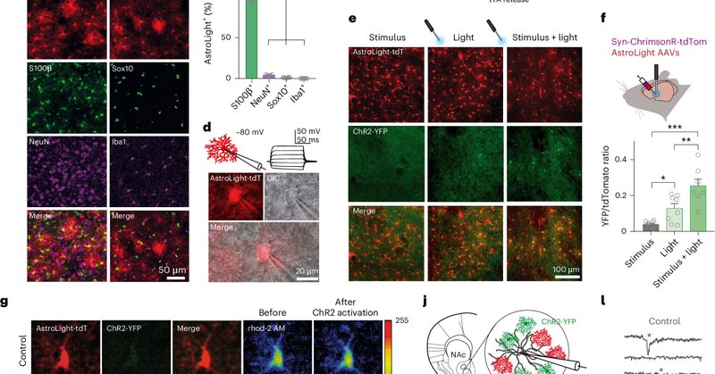
AstroLight: Cal-Light for Astrocytes🔥
@NatureNeuro
Nature Neuroscience
10 months
An #astrocytic ensemble that emerges in the nucleus accumbens upon activity during cue-motivated behaviors and is essential for modulating cue-reward associations @llinas_marta @Irene_ish @crismonteagudo @CSIC @InstitutoCajal https://t.co/PiTQtqFNUG
0
5
26
@tinakim_neuro
tina kim
1 year
Happy to share the lab’s latest research tagging psychedelic-activated neurons in mice. See the post below from first author @jessie_muir for a tweeprint on the work. Thanks to wonderful collaborators @DEOlsonLab @LinTianPhD and to our reviewers/editor! https://t.co/Gt6iGbLWdn
Tweet card summary image
science.org
Psychedelics hold promise as alternate treatments for neuropsychiatric disorders. However, the neural mechanisms by which they drive adaptive behavioral effects remain unclear. We isolated the...
@jessie_muir
Jessie Muir
1 year
Excited to share the Kim Lab’s newest paper in @ScienceMagazine with Sophia Lin (twitterless) and @tinakim_neuro ! We look at circuit mechanisms of psychedelic action underlying therapeutic-like effects in the PFC. https://t.co/zqq96eLRHB
17
29
168
@OneNeuroJHU
OneNeuro Initiative
1 year
Hyungbae Kwon, Ph.D., and colleagues have successfully used optogenetics to artificially reactivate a spatial-memory, prompting shelter-seeking behavior in mice without the original threatening stimuli that were present during the formation of the memory circuit. Their study
1
6
20
@Ih_current
Ingie Hong
1 year
Why are some neurons more selective than others? We report now in @Nature how calcium permeable-AMPA receptors in PV neurons make them less selective to sensory features https://t.co/Y7sXbtE8I3 Long live the geniuses behind this🧠🔍 https://t.co/87BqmXxYje @thainmueller @rhuganir
17
84
339
@Hyungbae_Kwon
Kwon_Lab@JHU
1 year
Although further investigation is needed, the results also suggest that dopamine encodes safety or novelty in the environment, facilitating subsequent spatial learning even in the absence of rewards.
0
0
1
@Hyungbae_Kwon
Kwon_Lab@JHU
1 year
We found that dopamine signals to the nucleus accumbens help form goal-location memories in mice, guiding navigation under threat. This task was made possible by the Cal-Light technique, which enables the tagging and control of individual cognitive modules.
0
0
2
@Hyungbae_Kwon
Kwon_Lab@JHU
1 year
New publication alert! In this paper, we demonstrate causal evidence linking memory to behavior, even in complex, high-level cognitive navigation tasks. Huge congrats to a former postdoc @KanghoonJung, and collaborators @Sethblackshaw and @ruimcosta.
Tweet card summary image
nature.com
Nature Neuroscience - Jung et al. show that shelter experience boosts dopamine release in the nucleus accumbens, generating a goal-location memory. Reactivating a neuronal ensemble developed from...
8
26
121
@tinakim_neuro
tina kim
1 year
Read about the latest circuit tools for studying neuromodulator & neuropeptide signaling in vivo! We describe the use of neurochemical sensors, actuators, and probes in our lab’s first Review @ScienceMagazine https://t.co/GUfZfWPPhr Congrats @jessie_muir & @LatinaNeuroNerd!
@jessie_muir
Jessie Muir
1 year
Check out the Kim lab's latest review out in @ScienceMagazine featuring @LatinaNeuroNerd, @tinakim_neuro and myself! https://t.co/JYnfcQNWUI
7
29
122
@JanakLab
The Janak Lab
1 year
Job openings in Psych&Brain Sciences at JHU!
@ChrisKrupenye
Christopher Krupenye
1 year
We also have a third opening in behavioral neuroscience:
0
1
11
@AllenInstitute
Allen Institute
1 year
President and CEO @ruimcosta will be giving a Presidential Special Lecture at #SfN24! 📆 Sunday, October 6, 5:15–6:30 p.m. 📍 MCP Hall B 💻 Livestreamed via @sfntweets conference platform
2
19
106
@naturemethods
Nature Methods
1 year
WHaloCaMP is a chemigenetic calcium indicator based on HaloTag that can be combined with different rhodamine dyes for multiplexed or FLIM imaging in vivo, as demonstrated in neuronal cultures, brain slices, Drosophila, zebrafish larvae and mouse brain. https://t.co/bL751a2Mg7
1
37
121
@JohnsHopkins
Johns Hopkins University
1 year
Johns Hopkins University achieves its highest-ever position in the U.S. News & World Report rankings coming in at No. 6 for the nation’s best colleges for undergraduates. The @usnews report recognizes Johns Hopkins for its excellence in value, innovation, and undergraduate
6
73
303
@Green_Ahn
Green Ahn
1 year
Thrilled to share our work on novo protein LYTAC(pLYTAC)/EndoTag in @nature! Using de novo protein design, we created endocytosis triggering binding proteins (EndoTags) to degrade extracellular targets and amplify receptor signaling.
Tweet card summary image
nature.com
Nature - Computationally designed genetically encoded proteins can be used to target surface proteins, thereby triggering endocytosis and subsequent intracellular degradation, activating signalling...
7
116
525
@MichaelLinLab
Prof. Michael Lin
1 year
Super-excited to reveal our latest fluorescent voltage indicator, ASAP5, now online @NeuroCellPress! ASAP5 features higher responsivity and kinetics, allowing detection of single synaptic transmission events. The link gives free access until 2024.11.09: https://t.co/9GSeEyq0Fi
9
93
370
@JHUBME
Johns Hopkins BME
1 year
In the 2025 Best Colleges rankings announced today, @usnews has once again named the Johns Hopkins Department of Biomedical Engineering’s undergraduate program as the best BME program in the nation.
Tweet card summary image
bme.jhu.edu
U.S. News and World Report has once again been named the Johns Hopkins Department of Biomedical Engineering’s undergraduate program as the best program in the nation.
0
4
17