EnGeneIC Ltd Profile
EnGeneIC Ltd

@EnGeneIC

Followers
112
Following
5
Media
1
Statuses
7

Lane Cove West, Sydney
Joined October 2016
Don't wanna be here? Send us removal request.
@EnGeneIC
EnGeneIC Ltd
8 years
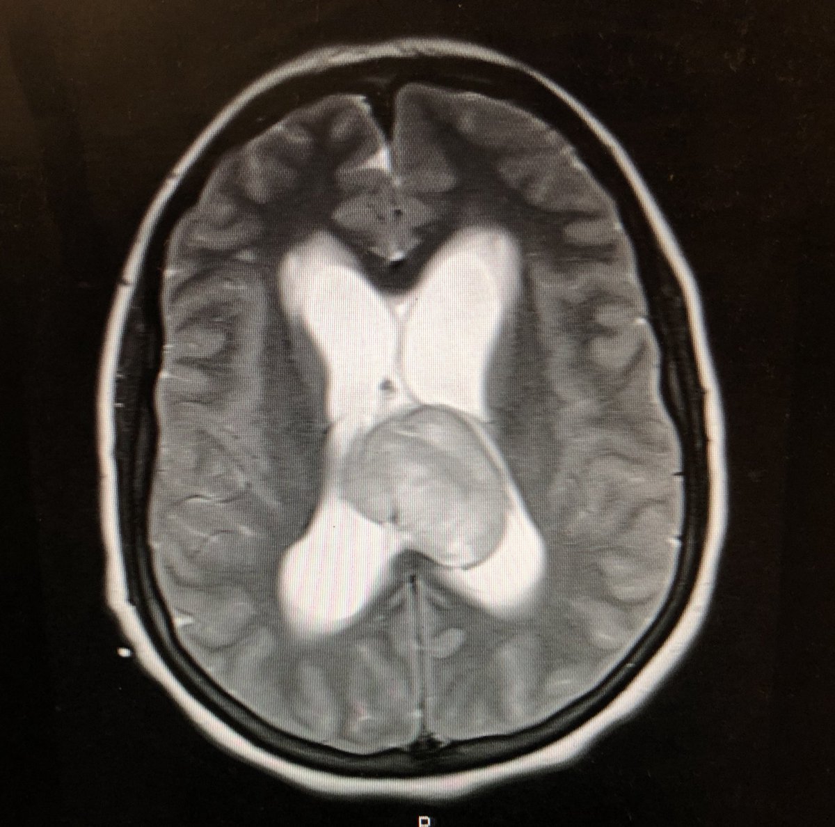
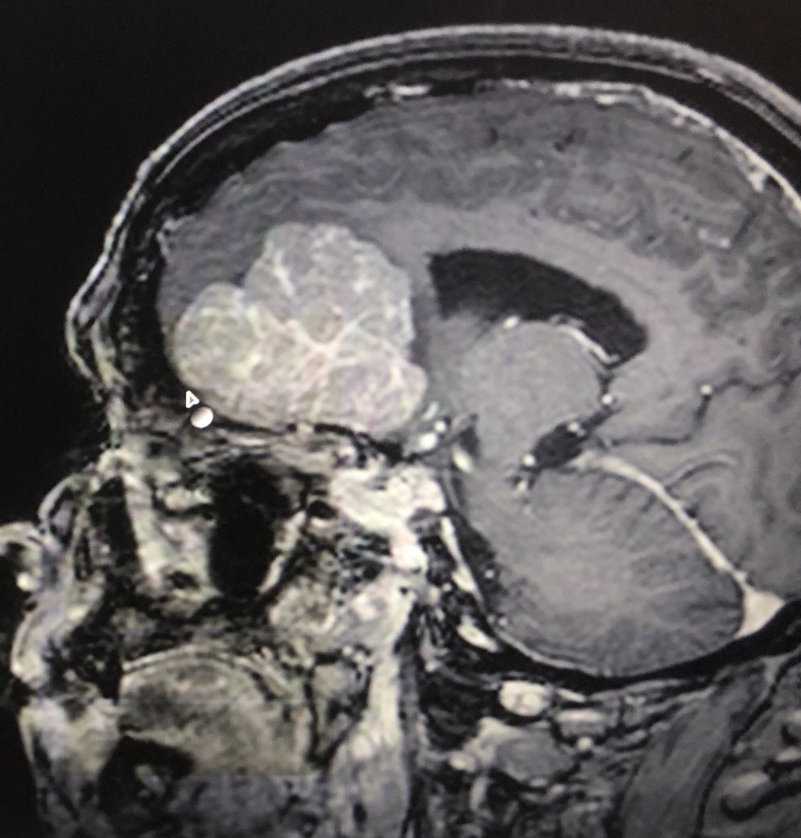
Fabulous to push the boundaries of #glioblastoma treatment with @johnboockvar @lenoxhill @NorthwellHealth and read about positive response of Daniel https://t.co/IK5nsuneIp using #EnGeneIC EDV tech.
0
2
3
@johnboockvar
John Boockvar
8 years
We are currently enrolling #GBM patients for our EnGeneIC Dream Vector (EDVTM) nanocell-based technology, a new way of delivering chemotherapy drugs for the treatment of #braintumors. https://t.co/EUGTQusUoq @LenoxNeurosurg @NorthwellHealth 4 info please contact @ShereseFralin
0
5
11
@johnboockvar
John Boockvar
8 years
Grateful to the entire team @LenoxNeurosurg and @lenoxhill who braved the #cyclonebomb today to help get our #glioma #meningioma and #encephalocele patients treated and also to our clinical trial team for treating two patients with the EnGeneIC EDV for #GBM. Incredible work.
0
4
28
@johnboockvar
John Boockvar
8 years
Congrats to our @LenoxNeurosurg #braintumor research team for treating our first patient in @EnGeneIC EDV trial for #gbm @BrainCancerCure
1
4
24
@johnboockvar
John Boockvar
8 years
We just opened this exciting trial with @EnGeneIC for the treatment of #Glioblastoma. Visit @LenoxNeurosurg for info
0
6
13
@EnGeneIC
EnGeneIC Ltd
9 years
Very excited for our joint CEO @JenEnGene being announced as overall winner - innovation category of #100WOI. TY @FinancialReview & @Westpac
0
0
2